扫码关注公众号           扫码咨询技术支持           扫码咨询技术服务
  
客服热线:400-901-9800  客服QQ:4009019800  技术答疑  技术支持  质量反馈  关于我们  联系我们
产品中心-北京博奥森生物技术有限公司
首页 > 产品中心 > 一抗 > 产品信息
Mucin-1 Mouse mAb (bsm-41732M)  
订购热线:400-901-9800
订购邮箱:sales@bioss.com.cn
订购QQ:  400-901-9800
技术支持:techsupport@bioss.com.cn
100ug/3600.00元
200ug(PBS only)/5600.00元
大包装/询价

产品编号 bsm-41732M
英文名称 Mucin-1 Mouse mAb
中文名称 粘蛋白-1单克隆抗体
别    名 Breast carcinoma associated antigen DF3; Breast carcinoma associated antigen DF3; Breast carcinoma-associated antigen DF3; CA 15 3; CA 15-3; CA15 3; CA15 3 antigen; CA15.3; Cancer antigen 15-3; Carcinoma associated mucin; Carcinoma associated mucin; Carcinoma-associated mucin; CD 227; CD227; CD227; CD227 antigen; DF3 antigen; DF3 antigen; EMA; EMA; Episialin; Episialin; Epithelial membrane antigen; Epithelial membrane antigen; Epithelial mucin tandem repeat sequence; H23 antigen; H23 antigen; H23AG; H23AG; HGNC:7508; KL 6; KL-6; KL6; Krebs von den Lungen-6; MAM 6; MAM6; MUC 1; MUC 1; MUC-1; MUC-1/SEC; MUC-1/X; MUC1; MUC1-alpha; MUC1-beta; MUC1-CT; MUC1-NT; MUC1/ZD; MUC1_HUMAN; Mucin 1; Mucin 1 precursor; Mucin 1 transmembrane; Mucin-1 subunit beta; Mucin1; Mucin1; Peanut reactive urinary mucin; Peanut reactive urinary mucin; Peanut-reactive urinary mucin; PEM; PEMT; PEMT; Polymorphic epithelial mucin; Polymorphic epithelial mucin; PUM; PUM; Tumor associated epithelial membrane antigen; Tumor associated epithelial membrane antigen; Tumor associated epithelial mucin; Tumor associated mucin; Tumor associated mucin; Tumor-associated epithelial membrane antigen; Tumor-associated mucin.  
研究领域 肿瘤  细胞生物  t-淋巴细胞  上皮细胞  
抗体来源 Mouse
克隆类型 Monoclonal
克 隆 号 6C9
交叉反应 Human
产品应用 IHC-P=1:100-500,IHC-F=1:400-800,IF=1:100-500
not yet tested in other applications.
optimal dilutions/concentrations should be determined by the end user.
理论分子量 138 kDa
检测分子量
细胞定位 细胞核 细胞浆 细胞膜 分泌型蛋白 
性    状 Liquid
免 疫 原 Recombinant Human Mucin-1 Protein: 921-1158/1255 
亚    型 IgG1
纯化方法 affinity purified by Protein A
缓 冲 液 0.01M PBS (pH7.4).
保存条件 Shipped at 4℃. Store at -20℃ for one year. Avoid repeated freeze/thaw cycles.
注意事项 This product as supplied is intended for research use only, not for use in human, therapeutic or diagnostic applications.
PubMed PubMed
产品介绍 MUC1 is a large cell surface mucin glycoprotein expressed by most glandular and ductal epithelial cells and some hematopoietic cell lineages. It is expressed on most secretory epithelium, including mammary gland and some hematopoietic cells. It is expressed abundantly in lactating mammary glands and overexpressed abundantly in >90% breast carcinomas and metastases. Transgenic MUC1 has been shown to associate with all four cebB receptors and localize with erbB1 (EGFR) in lactating glands. The MUC1 gene contains seven exons and produces several different alternatively spliced variants. The major expressed form of MUC1 uses all seven exons and is a type 1 transmembrane protein with a large extracellular tandem repeat domain. The tandem repeat domain is highly O glycosylated and alterations in glycosylation have been shown in epithelial cancer cells.

SWISS:
P15941

Gene ID:
4582

Database links:

Entrez Gene: 4582 Human

Entrez Gene: 17829 Mouse

Omim: 158340 Human

SwissProt: P15941 Human

SwissProt: Q02496 Mouse

Unigene: 89603 Human

Unigene: 16193 Mouse



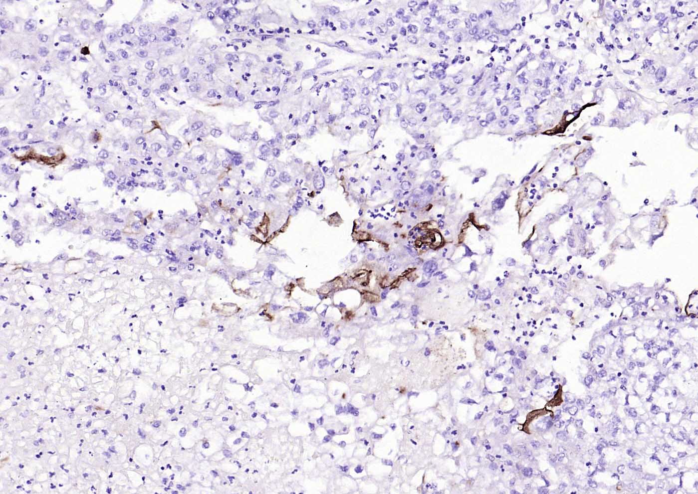
产品图片
Paraformaldehyde-fixed, paraffin embedded (human endometrial carcinoma); Antigen retrieval by boiling in sodium citrate buffer (pH6.0) for 15min; Block endogenous peroxidase by 3% hydrogen peroxide for 20 minutes; Blocking buffer (normal goat serum) at 37°C for 30min; Incubation with (Mucin-1) Monoclonal Antibody, Unconjugated (bsm-41732M) at 1:200 overnight at 4°C, followed by operating according to SP Kit(Mouse)(sp-0024) instructionsand DAB staining.
Paraformaldehyde-fixed, paraffin embedded (human breast carcinoma); Antigen retrieval by boiling in sodium citrate buffer (pH6.0) for 15min; Block endogenous peroxidase by 3% hydrogen peroxide for 20 minutes; Blocking buffer (normal goat serum) at 37°C for 30min; Incubation with (Mucin-1) Monoclonal Antibody, Unconjugated (bsm-41732M) at 1:200 overnight at 4°C, followed by operating according to SP Kit(Mouse)(sp-0024) instructionsand DAB staining.
Paraformaldehyde-fixed, paraffin embedded (human kidney); Antigen retrieval by boiling in sodium citrate buffer (pH6.0) for 15min; Block endogenous peroxidase by 3% hydrogen peroxide for 20 minutes; Blocking buffer (normal goat serum) at 37°C for 30min; Incubation with (Mucin-1) Monoclonal Antibody, Unconjugated (bsm-41732M) at 1:200 overnight at 4°C, followed by operating according to SP Kit(Mouse)(sp-0024) instructionsand DAB staining.
Paraformaldehyde-fixed, paraffin embedded (human lung carcinoma); Antigen retrieval by boiling in sodium citrate buffer (pH6.0) for 15min; Block endogenous peroxidase by 3% hydrogen peroxide for 20 minutes; Blocking buffer (normal goat serum) at 37°C for 30min; Incubation with (Mucin-1) Monoclonal Antibody, Unconjugated (bsm-41732M) at 1:200 overnight at 4°C, followed by operating according to SP Kit(Mouse)(sp-0024) instructionsand DAB staining.
版权所有 2004-2026 www.bioss.com.cn 北京博奥森生物技术有限公司
通过国际质量管理体系ISO 9001:2015 GB/T 19001-2016    证书编号: 00124Q34771R2M/1100
通过国际医疗器械-质量管理体系ISO 13485:2016 GB/T 42061-2022     证书编号: CQC24QY20047R0M/1100
京ICP备05066980号-1         京公网安备110107000727号