扫码关注公众号           扫码咨询技术支持           扫码咨询技术服务
  
客服热线:400-901-9800  客服QQ:4009019800  技术答疑  技术支持  质量反馈  关于我们  联系我们
产品中心-北京博奥森生物技术有限公司
首页 > 产品中心 > 一抗 > 产品信息
Peripherin Rabbit pAb (bs-42004R)  
订购热线:400-901-9800
订购邮箱:sales@bioss.com.cn
订购QQ:  400-901-9800
技术支持:techsupport@bioss.com.cn
50ul/1180.00元
100ul/1980.00元
200ul/2800.00元
大包装/询价

产品编号 bs-42004R
英文名称 Peripherin Rabbit pAb
中文名称 外周蛋白抗体
别    名 NEF 4; NEF4; NEF-4; Neurofilament 4; PRPH; PRPH1; PRPH 1; NEF 4; Neurofilament 4(57kD); Perf; PERI_HUMAN.  
研究领域 免疫学  神经生物学  信号转导  细胞粘附分子  
抗体来源 Rabbit
克隆类型 Polyclonal
克 隆 号
交叉反应 Human,Mouse,Rat
产品应用 WB=1:500-2000,IHC-P=1:400-800,IHC-F=1:400-800,IF=1:100-500,ELISA=1:5000-10000
not yet tested in other applications.
optimal dilutions/concentrations should be determined by the end user.
理论分子量 54 kDa
检测分子量
性    状 Liquid
浓    度 1mg/ml
免 疫 原 Recombinant human Peripherin protein: 1-470/470 
亚    型 IgG
纯化方法 affinity purified by Protein A
缓 冲 液 0.01M TBS (pH7.4) with 1% BSA, 0.02% Proclin300 and 50% Glycerol.
保存条件 Shipped at 4℃. Store at -20℃ for one year. Avoid repeated freeze/thaw cycles.
注意事项 This product as supplied is intended for research use only, not for use in human, therapeutic or diagnostic applications.
PubMed PubMed
产品介绍 This gene encodes a cytoskeletal protein found in neurons of the peripheral nervous system. The encoded protein is a type III intermediate filament protein with homology to other cytoskeletal proteins such as desmin, and is a different protein that the peripherin found in photoreceptors. Mutations in this gene have been associated with susceptibility to amyotrophic lateral sclerosis. [provided by RefSeq].

SWISS:
P41219

Gene ID:
5630

Database links:

Entrez Gene: 5630 Human

Entrez Gene: 19132 Mouse

Entrez Gene: 24688 Rat

Omim: 170710 Human

SwissProt: P41219 Human

SwissProt: P15331 Mouse

SwissProt: P21807 Rat

Unigene: 37044 Human

Unigene: 2477 Mouse

Unigene: 11086 Rat



产品图片
Sample: Lane 1: Mouse Cerebrum tissue lysates Lane 2: Mouse Spinal cord tissue lysates Primary: Anti-Peripherin (bs-42004R) at 1/1000 dilution Secondary: IRDye800CW Goat Anti-Rabbit IgG at 1/20000 dilution Predicted band size: 54 kDa Observed band size: 58 kDa
Paraformaldehyde-fixed, paraffin embedded (mouse colon); Antigen retrieval by boiling in sodium citrate buffer (pH6.0) for 15min; Block endogenous peroxidase by 3% hydrogen peroxide for 20 minutes; Blocking buffer (normal goat serum) at 37°C for 30min; Antibody incubation with (Peripherin) Polyclonal Antibody, Unconjugated (bs-42004R) at 1:200 overnight at 4°C, followed by operating according to SP Kit(Rabbit) (sp-0023) instructionsand DAB staining.
Paraformaldehyde-fixed, paraffin embedded (human colon carcinoma); Antigen retrieval by boiling in sodium citrate buffer (pH6.0) for 15min; Block endogenous peroxidase by 3% hydrogen peroxide for 20 minutes; Blocking buffer (normal goat serum) at 37°C for 30min; Antibody incubation with (Peripherin) Polyclonal Antibody, Unconjugated (bs-42004R) at 1:200 overnight at 4°C, followed by operating according to SP Kit(Rabbit) (sp-0023) instructionsand DAB staining.
Paraformaldehyde-fixed, paraffin embedded (rat colon); Antigen retrieval by boiling in sodium citrate buffer (pH6.0) for 15min; Block endogenous peroxidase by 3% hydrogen peroxide for 20 minutes; Blocking buffer (normal goat serum) at 37°C for 30min; Antibody incubation with (Peripherin) Polyclonal Antibody, Unconjugated (bs-42004R) at 1:200 overnight at 4°C, followed by operating according to SP Kit(Rabbit) (sp-0023) instructionsand DAB staining.
Paraformaldehyde-fixed, paraffin embedded (mouse spinal cord); Antigen retrieval by boiling in sodium citrate buffer (pH6.0) for 15min; Block endogenous peroxidase by 3% hydrogen peroxide for 20 minutes; Blocking buffer (normal goat serum) at 37°C for 30min; Antibody incubation with (Peripherin) Polyclonal Antibody, Unconjugated (bs-42004R) at 1:200 overnight at 4°C, followed by operating according to SP Kit(Rabbit) (sp-0023) instructionsand DAB staining.
Paraformaldehyde-fixed, paraffin embedded (rat spinal cord); Antigen retrieval by boiling in sodium citrate buffer (pH6.0) for 15min; Block endogenous peroxidase by 3% hydrogen peroxide for 20 minutes; Blocking buffer (normal goat serum) at 37°C for 30min; Antibody incubation with (Peripherin) Polyclonal Antibody, Unconjugated (bs-42004R) at 1:200 overnight at 4°C, followed by operating according to SP Kit(Rabbit) (sp-0023) instructionsand DAB staining.
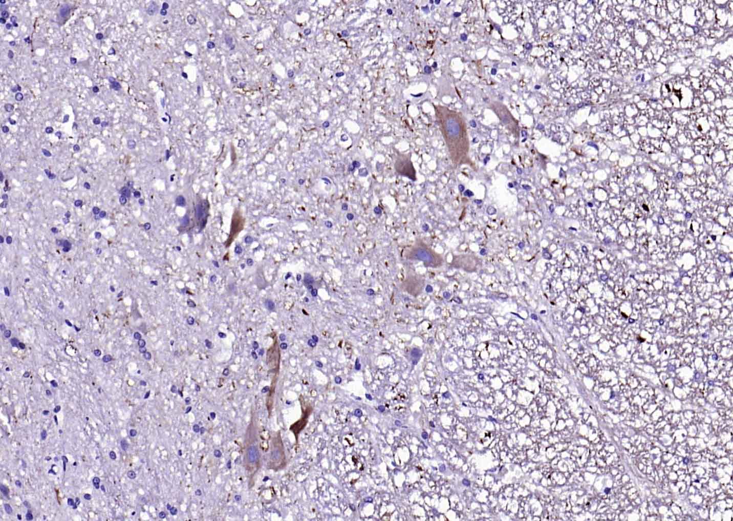
Paraformaldehyde-fixed, paraffin embedded (rat brain); Antigen retrieval by boiling in sodium citrate buffer (pH6.0) for 15min; Block endogenous peroxidase by 3% hydrogen peroxide for 20 minutes; Blocking buffer (normal goat serum) at 37°C for 30min; Antibody incubation with (Peripherin) Polyclonal Antibody, Unconjugated (bs-42004R) at 1:200 overnight at 4°C, followed by operating according to SP Kit(Rabbit) (sp-0023) instructionsand DAB staining.
Measured by its binding ability in a indirect ELISA. Immobilized Human Peripherin protein, His Tag (Cat. bs-42004P) at 2 μg/mL (100 μL/well) can bind  Rabbit Anti-Human Peripherin Antibody, the EC50 is 124.3 ng/mL.
版权所有 2004-2026 www.bioss.com.cn 北京博奥森生物技术有限公司
通过国际质量管理体系ISO 9001:2015 GB/T 19001-2016    证书编号: 00124Q34771R2M/1100
通过国际医疗器械-质量管理体系ISO 13485:2016 GB/T 42061-2022     证书编号: CQC24QY20047R0M/1100
京ICP备05066980号-1         京公网安备110107000727号