扫码关注公众号           扫码咨询技术支持           扫码咨询技术服务
  
客服热线:400-901-9800  客服QQ:4009019800  技术答疑  技术支持  质量反馈  关于我们  联系我们
产品中心-北京博奥森生物技术有限公司
首页 > 产品中心 > 一抗 > 产品信息
Di-Methyl-Histone H3 (Lys56) Recombinant Rabbit mAb (bsm-60116R)  
订购热线:400-901-9800
订购邮箱:sales@bioss.com.cn
订购QQ:  400-901-9800
技术支持:techsupport@bioss.com.cn
25ul/800.00元
50ul/1400.00元
100ul/2500.00元
大包装/询价

产品编号 bsm-60116R
英文名称 Di-Methyl-Histone H3 (Lys56) Recombinant Rabbit mAb
中文名称
产品类型 甲基化抗体 重组兔单抗 
抗体来源 Rabbit
克隆类型 Recombinant
克 隆 号 G6A12
交叉反应 Human,Mouse,Rat
产品应用 WB=1:500-2000,IHC-P=1:100-500,IHC-F=1:100-500,IF=1:100-500,ICC/IF=1:100-500
not yet tested in other applications.
optimal dilutions/concentrations should be determined by the end user.
理论分子量 kDa
检测分子量
细胞定位 细胞核 
性    状 Liquid
浓    度 1mg/ml
亚    型 IgG
纯化方法 affinity purified by Protein A
缓 冲 液 0.01M TBS (pH7.4) with 1% BSA, 0.02% Proclin300 and 50% Glycerol.
保存条件 Shipped at 4℃. Store at -20℃ for one year. Avoid repeated freeze/thaw cycles.
注意事项 This product as supplied is intended for research use only, not for use in human, therapeutic or diagnostic applications.
PubMed PubMed
产品介绍 组蛋白翻译后修饰(PTMs)是表观遗传学调控染色质结构的关键机制,被称为“组蛋白密码”。组蛋白上的翻译后修饰包括乙酰化,甲基化,磷酸化和近年发现的一些新型酰化修饰。这些组蛋白修饰直接影响染色质和转录因子或其他表观调控子的结合,改变基因组的稳定性和基因转录等。组蛋白甲基化通常发生在核心组蛋白的赖氨酸和精氨酸残基。组蛋白甲基化既可以促进也可以抑制基因转录,这取决于组蛋白甲基化是发生在赖氨酸还是发生在精氨酸上以及甲基化基团的个数(赖氨酸可以发生一、二、三甲基化,精氨酸可发生单、对称与非对称二甲化)。组蛋白赖氨酸甲基化通常发生在组蛋白H3第4,9,27,36,79和组蛋白H4的第20位赖氨酸上;精氨酸甲基化通常发生在组蛋白H3的第2,8,17,26和组蛋白H4第3位精氨酸上。蛋白甲基化酶(HMT)和组蛋白去甲基化酶(HDM)是甲基化修饰主要的调控因子。
产品图片
Blocking buffer: 5% NFDM/TBST Primary ab dilution: 1:2000 Primary ab incubation condition: 2 hours at room temperature Secondary ab: Goat Anti-Rabbit IgG H&L (HRP) Lysate: HeLa, N2a, BRL, Mouse liver, Mouse kidney, rH3 Protein loading quantity: 20 μg Exposure time: 60 s Predicted MW: 17 kDa Observed MW: 17 kDa
Tissue: Human lung adenocarcinoma Section type: Formalin fixed & Paraffin -embedded section Retrieval method: High temperature and high pressure Retrieval buffer: Tris/EDTA buffer, pH 9.0 Primary ab dilution: 1:500 Primary ab incubation condition: 1 hour at room temperature Secondary ab: SP Kit(Rabbit) (sp-0023) Counter stain: Hematoxylin (Blue) Comment: Color brown is the positive signal for bsm-60116R
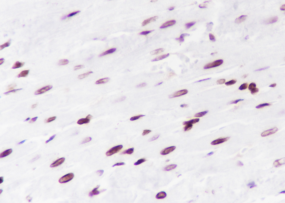
Tissue: Rat heart Section type: Formalin fixed & Paraffin -embedded section Retrieval method: High temperature and high pressure Retrieval buffer: Tris/EDTA buffer, pH 9.0 Primary ab dilution: 1:500 Primary ab incubation condition: 1 hour at room temperature Secondary ab: SP Kit(Rabbit) (sp-0023) Counter stain: Hematoxylin (Blue) Comment: Color brown is the positive signal for bsm-60116R
Tissue: Mouse liver Section type: Formalin fixed & Paraffin -embedded section Retrieval method: High temperature and high pressure Retrieval buffer: Tris/EDTA buffer, pH 9.0 Primary ab dilution: 1:500 Primary ab incubation condition: 1 hour at room temperature Secondary ab: SP Kit(Rabbit) (sp-0023) Counter stain: Hematoxylin (Blue) Comment: Color brown is the positive signal for bsm-60116R
Cell line: HeLa Fixative: 4% Paraformaldehyde Permeabilization: 0.1% TritonX-100 Primary ab dilution: 1:50 Primary incubation condition: 4°C overnight Secondary ab: Goat Anti-Rabbit IgG Nuclear counter stain: DAPI (Blue) Counter stain: Tubulin (Red) Comment: Color green is the positive signal for bsm-60116R
版权所有 2004-2026 www.bioss.com.cn 北京博奥森生物技术有限公司
通过国际质量管理体系ISO 9001:2015 GB/T 19001-2016    证书编号: 00124Q34771R2M/1100
通过国际医疗器械-质量管理体系ISO 13485:2016 GB/T 42061-2022     证书编号: CQC24QY20047R0M/1100
京ICP备05066980号-1         京公网安备110107000727号