扫码关注公众号           扫码咨询技术支持           扫码咨询技术服务
  
客服热线:400-901-9800  客服QQ:4009019800  技术答疑  技术支持  质量反馈  关于我们  联系我们
产品中心-北京博奥森生物技术有限公司
首页 > 产品中心 > 一抗 > 产品信息
STRAP Recombinant Mouse mAb (bsm-60469M)  
订购热线:400-901-9800
订购邮箱:sales@bioss.com.cn
订购QQ:  400-901-9800
技术支持:techsupport@bioss.com.cn
25ul/800.00元
50ul/1400.00元
100ul/2500.00元
大包装/询价

产品编号 bsm-60469M
英文名称 STRAP Recombinant Mouse mAb
中文名称 丝氨酸/苏氨酸激酶受体相关蛋白单克隆抗体
别    名 MAP activator with WD repeats; MAWD; PTWD; serine/threonine kinase receptor associated protein; STRAP; UNR-interacting protein; UNRIP; WD 40 repeat protein PT WD; STRAP_HUMAN.  
研究领域 肿瘤  免疫学  染色质和核信号  转录调节因子  激酶和磷酸酶  
抗体来源 Mouse
克隆类型 Recombinant
克 隆 号 F5B7
交叉反应 Human
产品应用 WB=1:500-2000,IHC-P=1:100-500,IHC-F=1:100-500,IF=1:100-500,ICC/IF=1:50-200
not yet tested in other applications.
optimal dilutions/concentrations should be determined by the end user.
理论分子量 38 kDa
检测分子量
细胞定位 细胞核 细胞浆 
性    状 Liquid
浓    度 1mg/ml
免 疫 原 KLH conjugated synthetic peptide derived from human STRAP 
亚    型 IgG1, Kappa
纯化方法 affinity purified by Protein G
缓 冲 液 0.01M TBS (pH7.4) with 1% BSA, 0.02% Proclin300 and 50% Glycerol.
保存条件 Shipped at 4℃. Store at -20℃ for one year. Avoid repeated freeze/thaw cycles.
注意事项 This product as supplied is intended for research use only, not for use in human, therapeutic or diagnostic applications.
PubMed PubMed
产品介绍 Enables RNA binding activity. Involved in maintenance of gastrointestinal epithelium; negative regulation of transforming growth factor beta receptor signaling pathway; and spliceosomal snRNP assembly. Located in cytosol. Part of SMN complex. Implicated in adenocarcinoma; colorectal carcinoma; large cell carcinoma; lung carcinoma; and squamous cell neoplasm. [provided by Alliance of Genome Resources, Apr 2022]

SWISS:
Q9Y3F4

Gene ID:
11171

SMN复合物在小核核糖核蛋白(snRNPs)的组装中起催化作用,snRNPs是剪接体的组成部分。因此,在细胞前mRNAs的拼接中起着重要的作用。大多数剪接体snRNP包含一组共同的Sm蛋白质SNRPB、SNRPD1、SNRPD2、SNRPD3、SNRPE、SNRPF和SNRPG,它们在小核RNA的Sm位点上组装成七聚体蛋白环,形成核心snRNP。在细胞质中,Sm蛋白SNRPD1、SNRPD2、SNRPE、SNRPF和SNRPG被控制核心snRNP组装的伴侣CLNS1A捕获在非活性的6S pICln Sm复合物中。CLNS1A的SMN复合物从捕获的Sm蛋白中解离并将其转移到SMN-Sm复合物触发核心snRNPs的组装并将其转运到细胞核。条带在SMN复合体的细胞分布中起作用。负调节TGF-β信号,但通过增强其自身磷酸化和显著减少PDPK1与14-3-3蛋白的结合来正调节PDPK1激酶活性。
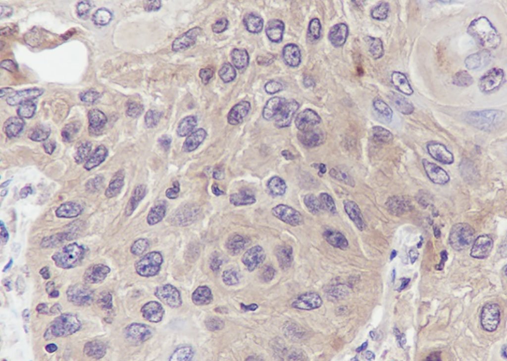
产品图片
Blocking buffer: 5% NFDM/TBST Primary ab dilution: 1:5000 Primary ab incubation condition: room temperature 2h Secondary ab: Goat Anti-Mouse IgG H&L (HRP) Lysate: 1: HeLa, 2: 293 Protein loading quantity: 20 μg Exposure time: 30 s Predicted MW: 38 kDa Observed MW: 38 kDa
Tissue: Human-lung-squamous-carcinoma Section type: Formalin fixed & Paraffin -embedded section Retrieval method: High temperature and high pressure Retrieval buffer: Tris/EDTA buffer, pH 9.0 Primary ab dilution: 1:100 Primary ab incubation condition: 1 hour at room temperature Secondary ab: SP Kit(Mouse)(sp-0024) Counter stain: Hematoxylin (Blue) Comment: Color brown is the positive signal for bsm-60469M
Tissue: Human colon Section type: Formalin fixed & Paraffin -embedded section Retrieval method: High temperature and high pressure Retrieval buffer: Tris/EDTA buffer, pH 9.0 Primary ab dilution: 1:100 Primary ab incubation condition: 1 hour at room temperature Secondary ab: SP Kit(Mouse)(sp-0024) Counter stain: Hematoxylin (Blue) Comment: Color brown is the positive signal for bsm-60469M
版权所有 2004-2026 www.bioss.com.cn 北京博奥森生物技术有限公司
通过国际质量管理体系ISO 9001:2015 GB/T 19001-2016    证书编号: 00124Q34771R2M/1100
通过国际医疗器械-质量管理体系ISO 13485:2016 GB/T 42061-2022     证书编号: CQC24QY20047R0M/1100
京ICP备05066980号-1         京公网安备110107000727号