扫码关注公众号           扫码咨询技术支持           扫码咨询技术服务
  
客服热线:400-901-9800  客服QQ:4009019800  技术答疑  技术支持  质量反馈  人才招聘  关于我们  联系我们
产品中心-北京博奥森生物技术有限公司
首页 > 产品中心 > 一抗 > 产品信息
Acetyl-Histone H4 (Lys16) Rabbit pAb (bs-60036R)  
订购热线:400-901-9800
订购邮箱:sales@bioss.com.cn
订购QQ:  400-901-9800
技术支持:techsupport@bioss.com.cn
50ul/1580.00元
100ul/2500.00元
大包装/询价

产品编号 bs-60036R
英文名称 Acetyl-Histone H4 (Lys16) Rabbit pAb
中文名称 乙酰化组蛋白H4K16抗体
别    名 H4C1 | Histone H4 (acetyl-K16); H4K16Ac; ac-Histone H4; acetyl-Histone H4; ac-H4; H4C1 | Histone H4 (acetyl-Lys16); H4-16; H4/p; H4C1; H4C11; H4C12; H4C13; H4C14; H4C15; H4C2; H4C3; H4C4; H4C5; H4C6; H4C8; H4C9; HIST4H4; H4/o; H4C16; HIST2H4B; H4/m; H4FM;  
产品类型 乙酰化抗体 
抗体来源 Rabbit
克隆类型 Polyclonal
克 隆 号
交叉反应 Human,Mouse,Rat,Rice
产品应用 WB=1:500-2000,IHC-P=1:100-500,IHC-F=1:100-500,IF=1:100-500,ICC/IF=1:50-200,ChIP=1:25
not yet tested in other applications.
optimal dilutions/concentrations should be determined by the end user.
检测分子量 11
细胞定位 细胞核 
性    状 Liquid
浓    度 1mg/ml
亚    型 IgG
纯化方法 Antigen affinity purification
缓 冲 液 0.01M TBS (pH7.4) with 1% BSA, 0.02% Proclin300 and 50% Glycerol.
保存条件 Shipped at 4℃. Store at -20℃ for one year. Avoid repeated freeze/thaw cycles.
注意事项 This product as supplied is intended for research use only, not for use in human, therapeutic or diagnostic applications.
PubMed PubMed
产品介绍 组蛋白翻译后修饰(PTMs)是表观遗传学调控染色质结构的关键机制,被称为“组蛋白密码”。组蛋白上的PTMs包括乙酰化、甲基化、磷酸化和新的酰化直接影响染色质对转录因子的可及性和其他表观遗传调控,改变基因组的稳定性,基因转录等。组蛋白乙酰化主要发生在核心组蛋白氨基末端的多个赖氨酸残基上,以响应各种刺激,在基因表达调控、DNA损伤修复、染色质动力学等方面发挥重要作用。大多数情况下,组蛋白H2A主要在Lys5、9、15和36位处发生乙酰化修饰。 H2B主要在Lys5、12、15、16和20位处发生乙酰化修饰。组蛋白H3主要在Lys4、9、14、18、23、27、56和79位处发生乙酰化修饰。组蛋白H4主要在Lys5、8、12、16和20位处发生乙酰化修饰。组蛋白乙酰转移酶(HATs)和组蛋白去乙酰化酶(HDACs)是主要的调节因子。
产品图片
Blocking buffer: 5% NFDM/TBST Primary ab dilution: 1:400 Primary ab incubation condition: 2 hours at room temperature Secondary ab: Goat Anti-Rabbit IgG H&L (HRP) Lysate: Rice Protein loading quantity: 20 μg Exposure time: 30 s Predicted MW: 11 kDa Observed MW: 11 kDa
Blocking buffer: 5% NFDM/TBST Primary ab dilution: 1:2000 Primary ab incubation condition: 2 hours at room temperature Secondary ab: Goat Anti-Rabbit IgG H&L (HRP) Lysate: (-) HeLa, (+) HeLa+Sodium butyrate (30mM, 4hr) Protein loading quantity: 20 μg Exposure time: 30 s Predicted MW: 11 kDa Observed MW: 11 kDa
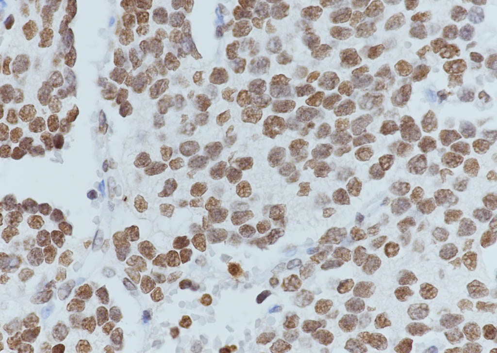
Tissue: Human neuroblastoma Section type: Formalin fixed & Paraffin -embedded section Retrieval method: High temperature and high pressure Retrieval buffer: Tris/EDTA buffer, pH 9.0 Primary ab dilution: 1:200 Primary ab incubation condition: 1 hour at room temperature Secondary ab: SP Kit(Rabbit) (sp-0023) Counter stain: Hematoxylin (Blue) Comment: Color brown is the positive signal for bs-60036R
Cell line: HeLa Fixative: 4% Paraformaldehyde Permeabilization: 0.1% TritonX-100 Primary ab dilution: 1:200 Primary incubation condition: 4°C overnight Secondary ab: Goat Anti-Rabbit IgG Nuclear counter stain: DAPI (Blue) Counter stain: Tubulin (Red) Comment: Color green is the positive signal for bs-60036R
版权所有 2004-2026 www.bioss.com.cn 北京博奥森生物技术有限公司
通过国际质量管理体系ISO 9001:2015 GB/T 19001-2016    证书编号: 00124Q34771R2M/1100
通过国际医疗器械-质量管理体系ISO 13485:2016 GB/T 42061-2022     证书编号: CQC24QY20047R0M/1100
京ICP备05066980号-1         京公网安备110107000727号