扫码关注公众号           扫码咨询技术支持           扫码咨询技术服务
  
客服热线:400-901-9800  客服QQ:4009019800  技术答疑  技术支持  质量反馈  关于我们  联系我们
产品中心-北京博奥森生物技术有限公司
首页 > 产品中心 > 一抗 > 产品信息
Pan Actin Recombinant Rabbit mAb (bsm-60349R)  
订购热线:400-901-9800
订购邮箱:sales@bioss.com.cn
订购QQ:  400-901-9800
技术支持:techsupport@bioss.com.cn
25ul/800.00元
50ul/1400.00元
100ul/2500.00元
大包装/询价

产品编号 bsm-60349R
英文名称 Pan Actin Recombinant Rabbit mAb
中文名称 泛肌动蛋白重组兔单抗
别    名 pan(alpha) actin; pan-actin; ACTC_HUMAN; Actin, alpha cardiac muscle 1; ACTC1(ACTC); ACTB_HUMAN; Actin, cytoplasmic 1; ACTB; ACTS_HUMAN; Actin, alpha skeletal muscle; ACTA1(ACTA); ACTG_HUMAN; Actin, cytoplasmic 2; ACTG1(ACTG); ACTA_HUMAN; Actin, aortic smooth muscle; ACTA2(ACTSA, ACTVS); ACTH_HUMAN; Actin, gamma-enteric smooth muscle; ACTG2(ACTA3, ACTL3, ACTSG);  
研究领域 心血管  发育生物学  信号转导  干细胞  细胞骨架  
抗体来源 Rabbit
克隆类型 Recombinant
克 隆 号 F3C6
交叉反应 Human,Mouse,Rat
产品应用 WB=1:500-1000,IHC-P=1:100-500,IHC-F=1:100-500,IF=1:100-500,Flow-Cyt=1:50-100,ICC/IF=1:50-200
not yet tested in other applications.
optimal dilutions/concentrations should be determined by the end user.
理论分子量 42 kDa
检测分子量 42
细胞定位 细胞膜 
性    状 Liquid
浓    度 1mg/ml
亚    型 IgG
纯化方法 affinity purified by Protein A
缓 冲 液 0.01M TBS (pH7.4) with 1% BSA, 0.02% Proclin300 and 50% Glycerol.
保存条件 Shipped at 4℃. Store at -20℃ for one year. Avoid repeated freeze/thaw cycles.
注意事项 This product as supplied is intended for research use only, not for use in human, therapeutic or diagnostic applications.
PubMed PubMed
产品介绍

Actins are highly conserved proteins that are involved in various types of cell motility and are ubiquitously expressed in all eukaryotic cells.In vertebrates 3 main groups of actin isoforms, alpha, beta and gamma have been identified. The alpha actins are found in muscle tissues and are a major constituent of the contractile apparatus. The beta and gamma actins coexist in most cell types as components of the cytoskeleton and as mediators of internal cell motility. Actin proteins have very high homology. 

The immunogen for this product is based on the ACTC1 protein but this antibody will also recognize: ACTB, ACTA1, ACTG1, ACTA2, ACTG2. 



Subcellular Location:
Cytoskeleton.

肌动蛋白是高度保守的蛋白,参与各种类型的细胞运动,并在所有真核细胞中普遍表达。在脊椎动物中,已鉴定出三大类肌动蛋白亚型,即α,β和γ。α肌动蛋白存在于肌肉组织中,是收缩装置的主要组成部分。β和γ肌动蛋白在大多数细胞类型中作为细胞骨架的成分和内部细胞运动的介质共存。
产品图片
Blocking buffer: 5% NFDM/TBST Primary ab dilution: 1:1000 Primary ab incubation condition: 2 hours at room temperature Secondary ab: Goat Anti-Rabbit IgG H&L (HRP) Lysate: HeLa, Jurkat, HEK293, NIH/3T3, C2C12, Mouse brain, Rat brain Protein loading quantity: 20 μg Exposure time: 60 s Predicted MW: 42 kDa Observed MW: 42 kDa
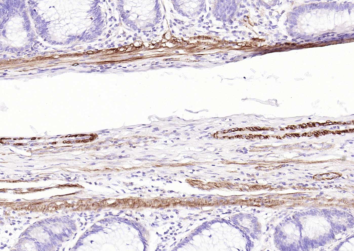
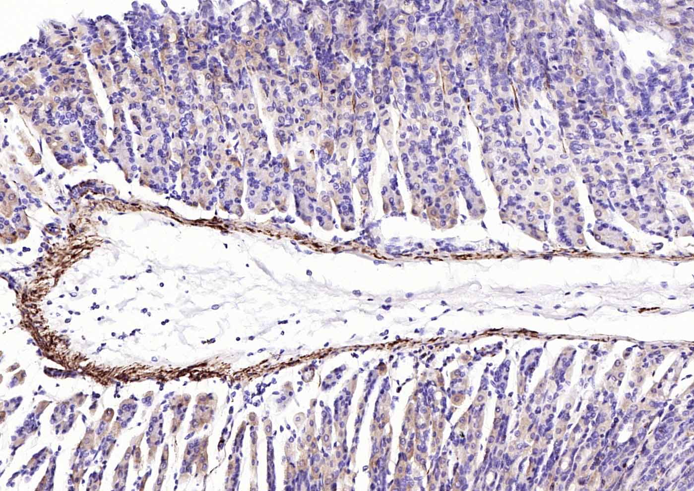
Paraformaldehyde-fixed, paraffin embedded (mouse stomach); Antigen retrieval by boiling in sodium citrate buffer (pH6.0) for 15min; Block endogenous peroxidase by 3% hydrogen peroxide for 20 minutes; Blocking buffer (normal goat serum) at 37°C for 30min; Incubation with (Pan Actin) Monoclonal Antibody, Unconjugated (bsm-60349R) at 1:200 overnight at 4°C, followed by operating according to SP Kit(Rabbit) (sp-0023) instructionsand DAB staining.
Paraformaldehyde-fixed, paraffin embedded (human heart); Antigen retrieval by boiling in sodium citrate buffer (pH6.0) for 15min; Block endogenous peroxidase by 3% hydrogen peroxide for 20 minutes; Blocking buffer (normal goat serum) at 37°C for 30min; Incubation with (Pan Actin) Monoclonal Antibody, Unconjugated (bsm-60349R) at 1:200 overnight at 4°C, followed by operating according to SP Kit(Rabbit) (sp-0023) instructionsand DAB staining.
Paraformaldehyde-fixed, paraffin embedded (human stomach); Antigen retrieval by boiling in sodium citrate buffer (pH6.0) for 15min; Block endogenous peroxidase by 3% hydrogen peroxide for 20 minutes; Blocking buffer (normal goat serum) at 37°C for 30min; Incubation with (Pan Actin) Monoclonal Antibody, Unconjugated (bsm-60349R) at 1:200 overnight at 4°C, followed by operating according to SP Kit(Rabbit) (sp-0023) instructionsand DAB staining.
Paraformaldehyde-fixed, paraffin embedded (human colon ); Antigen retrieval by boiling in sodium citrate buffer (pH6.0) for 15min; Block endogenous peroxidase by 3% hydrogen peroxide for 20 minutes; Blocking buffer (normal goat serum) at 37°C for 30min; Incubation with (Pan Actin) Monoclonal Antibody, Unconjugated (bsm-60349R) at 1:200 overnight at 4°C, followed by operating according to SP Kit(Rabbit) (sp-0023) instructionsand DAB staining.
Paraformaldehyde-fixed, paraffin embedded (human colon carcinoma); Antigen retrieval by boiling in sodium citrate buffer (pH6.0) for 15min; Block endogenous peroxidase by 3% hydrogen peroxide for 20 minutes; Blocking buffer (normal goat serum) at 37°C for 30min; Incubation with (Pan Actin) Monoclonal Antibody, Unconjugated (bsm-60349R) at 1:200 overnight at 4°C, followed by operating according to SP Kit(Rabbit) (sp-0023) instructionsand DAB staining.
Paraformaldehyde-fixed, paraffin embedded (rat stomach); Antigen retrieval by boiling in sodium citrate buffer (pH6.0) for 15min; Block endogenous peroxidase by 3% hydrogen peroxide for 20 minutes; Blocking buffer (normal goat serum) at 37°C for 30min; Incubation with (Pan Actin) Monoclonal Antibody, Unconjugated (bsm-60349R) at 1:200 overnight at 4°C, followed by operating according to SP Kit(Rabbit) (sp-0023) instructionsand DAB staining.
Cell line: NIH/3T3 Fixative: 4% Paraformaldehyde Permeabilization: 0.1% TritonX-100 Primary ab dilution: 1:50 Primary incubation condition: 4°C overnight Secondary ab: Goat Anti-Rabbit IgG Nuclear counter stain: DAPI (Blue) Comment: Color green is the positive signal for bsm-60349R
Cell line: A431 Fixative: 100% Ice-cold methanol Permeabilization: 0.1% TritonX-100 Primary ab dilution: 1:50 Primary incubation condition: 4°C overnight Secondary ab: Goat Anti-Rabbit IgG Nuclear counter stain: DAPI (Blue) Comment: Color green is the positive signal for bsm-60349R
Cell line: HeLa Fixative: 100% Ice-cold methanol Permeabilization: 0.1% TritonX-100 Primary ab dilution: 1:50 Primary incubation condition: 4°C overnight Secondary ab: Goat Anti-Rabbit IgG Nuclear counter stain: DAPI (Blue) Comment: Color green is the positive signal for bsm-60349R
Cell line: Jurkat Fixative: 4% Paraformaldehyde Permeabilization: 90% Methanol Primary ab dilution: 1:100 Secondary ab: Goat anti Rabbit IgG Unlabelled control: The cell without incubation with primary antibody and secondary antibody (Black line). Isotype control: Rabbit monoclonal IgG (Blue line). Comment: Line red is the positive signal for bsm-60349R
版权所有 2004-2026 www.bioss.com.cn 北京博奥森生物技术有限公司
通过国际质量管理体系ISO 9001:2015 GB/T 19001-2016    证书编号: 00124Q34771R2M/1100
通过国际医疗器械-质量管理体系ISO 13485:2016 GB/T 42061-2022     证书编号: CQC24QY20047R0M/1100
京ICP备05066980号-1         京公网安备110107000727号