扫码关注公众号           扫码咨询技术支持           扫码咨询技术服务
  
客服热线:400-901-9800  客服QQ:4009019800  技术答疑  技术支持  质量反馈  关于我们  联系我们
产品中心-北京博奥森生物技术有限公司
首页 > 产品中心 > 一抗 > 产品信息
Periostin Recombinant Rabbit mAb (bsm-54036R)  
订购热线:400-901-9800
订购邮箱:sales@bioss.com.cn
订购QQ:  400-901-9800
技术支持:techsupport@bioss.com.cn
25ul/800.00元
50ul/1400.00元
100ul/2500.00元
大包装/询价

产品编号 bsm-54036R
英文名称 Periostin Recombinant Rabbit mAb
中文名称 成骨细胞特异性因子2重组兔单抗
别    名 OSF 2; OSF2; osteoblast specific factor 2(fasciclin I-like); Osteoblast specific factor 2; Osteoblast specific factor; PDLPOSTN; Periodontal ligament specific periostin; Periostin isoform thy2; Periostin isoform thy4; Periostin isoform thy6; Periostin isoform thy8; Periostin osteoblast specific factor; PN; POSTN; POSTN_HUMAN.  
研究领域 肿瘤  心血管  细胞生物  免疫学  信号转导  转录调节因子  细胞粘附分子  血管内皮细胞  肿瘤细胞生物标志物  
抗体来源 Rabbit
克隆类型 Recombinant
克 隆 号 2F7
交叉反应 Human
产品应用 WB=1:500-2000,IHC-P=1:100-500,IHC-F=1:100-500,IF=1:100-500,Flow-Cyt=1:20-50
not yet tested in other applications.
optimal dilutions/concentrations should be determined by the end user.
理论分子量 100 kDa
检测分子量
细胞定位 细胞外基质 分泌型蛋白 
性    状 Liquid
浓    度 1mg/ml
免 疫 原 A synthesized peptide derived from human Periostin: 15-54 
亚    型 IgG
纯化方法 affinity purified by Protein A
缓 冲 液 0.01M TBS (pH7.4) with 1% BSA, 0.02% Proclin300 and 50% Glycerol.
保存条件 Shipped at 4℃. Store at -20℃ for one year. Avoid repeated freeze/thaw cycles.
注意事项 This product as supplied is intended for research use only, not for use in human, therapeutic or diagnostic applications.
PubMed PubMed
产品介绍 Periostin is a disulfide linked 90 kDa, 811 amino acid protein originally isolated as a osteoblast-specific factor that functions as a cell adhesion molecule for preosteoblasts and is thought to be involved in osteoblast recruitment, attachment and spreading. Additionally, periostin expression has previously been shown to be significantly increased by both transforming growth factor beta 1(TGF beta 1) and bone morphogenetic protein (BMP2). Periostin has a typical signal sequence, followed by a cysteine-rich domain, a fourfold repeated domain and a C-terminal domain. The fourfold repeated domain of OSF2 shows homology with the insect protein fasciclin. Periostin mRNA is expressed in the developing mouse embryonic and fetal heart, and that it is localized to the endocardial cushions that ultimately divide the primitive heart tube into a four-chambered heart. Abnormal expression of periostin is also linked to angiogenesis and metastatsis in epithelial tumors.

SWISS:
Q15063

Gene ID:
10631

Database links:

Entrez Gene: 10631 Human

Entrez Gene: 50706 Mouse

Entrez Gene: 361945 Rat

Omim: 608777 Human

SwissProt: Q15063 Human

SwissProt: Q62009 Mouse

Unigene: 136348 Human

Unigene: 721018 Human

Unigene: 236067 Mouse

Unigene: 30516 Rat



产品图片
Western blot analysis of Periostin on human brain tissue lysates. Proteins were transferred to a PVDF membrane and blocked with 5% NFDM/TBST in PBS for 1 hour at room temperature. The primary antibody (bsm-54036R, 1/500) was used in 5% NFDM/TBST at room temperature for 2 hours. Goat Anti-Rabbit IgG - HRP Secondary Antibody at 1:200,000 dilution was used for 1 hour at room temperature. Predicted band size: 93 kDa Observed band size: 80 kDa
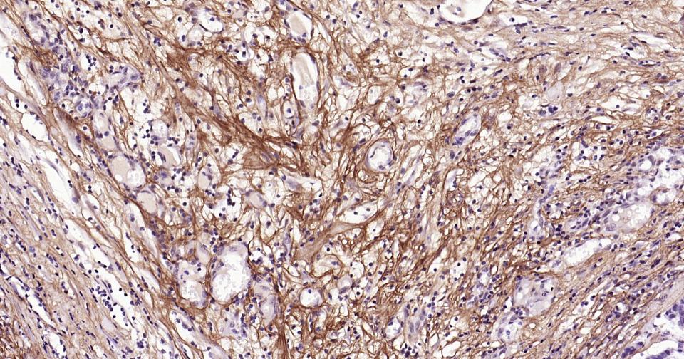
Paraformaldehyde-fixed, paraffin embedded Human Esophagus Cancer; Antigen retrieval by boiling in sodium citrate buffer (pH6.0) for 15 min; Antibody incubation with Periostin Monoclonal Antibody, Unconjugated(bsm-54036R) at 1:200 overnight at 4°C, followed by conjugation to the bs-0295G-HRP and DAB (C-0010) staining.
Paraformaldehyde-fixed, paraffin embedded Human Stomach; Antigen retrieval by boiling in sodium citrate buffer (pH6.0) for 15 min; Antibody incubation with Periostin Monoclonal Antibody, Unconjugated(bsm-54036R) at 1:200 overnight at 4°C, followed by conjugation to the bs-0295G-HRP and DAB (C-0010) staining.
Paraformaldehyde-fixed, paraffin embedded Human Breast; Antigen retrieval by boiling in sodium citrate buffer (pH6.0) for 15 min; Antibody incubation with Periostin Monoclonal Antibody, Unconjugated(bsm-54036R) at 1:200 overnight at 4°C, followed by conjugation to the bs-0295G-HRP and DAB (C-0010) staining.
Paraformaldehyde-fixed, paraffin embedded Human Colon; Antigen retrieval by boiling in sodium citrate buffer (pH6.0) for 15 min; Antibody incubation with Periostin Monoclonal Antibody, Unconjugated(bsm-54036R) at 1:200 overnight at 4°C, followed by conjugation to the bs-0295G-HRP and DAB (C-0010) staining.
Paraformaldehyde-fixed, paraffin embedded Human Lung Cancer; Antigen retrieval by boiling in sodium citrate buffer (pH6.0) for 15 min; Antibody incubation with Periostin Monoclonal Antibody, Unconjugated(bsm-54036R) at 1:200 overnight at 4°C, followed by conjugation to the bs-0295G-HRP and DAB (C-0010) staining.
Flow cytometric analysis of Periostin was done on 293T cells. The cells were fixed, permeabilized and stained with the primary antibody (bsm-54036R, 1/50) (blue). After incubation of the primary antibody at room temperature for an hour, the cells were stained with a Alexa Fluor®488 conjugate-Goat anti-Rabbit IgG Secondary antibody at 1/1,000 dilution for 30 minutes.Unlabelled sample was used as a control (cells without incubation with primary antibody; red).
版权所有 2004-2026 www.bioss.com.cn 北京博奥森生物技术有限公司
通过国际质量管理体系ISO 9001:2015 GB/T 19001-2016    证书编号: 00124Q34771R2M/1100
通过国际医疗器械-质量管理体系ISO 13485:2016 GB/T 42061-2022     证书编号: CQC24QY20047R0M/1100
京ICP备05066980号-1         京公网安备110107000727号