扫码关注公众号           扫码咨询技术支持           扫码咨询技术服务
  
客服热线:400-901-9800  客服QQ:4009019800  技术答疑  技术支持  质量反馈  关于我们  联系我们
产品中心-北京博奥森生物技术有限公司
首页 > 产品中心 > 一抗 > 产品信息
CD63 Mouse mAb (bsm-43117M)  
订购热线:400-901-9800
订购邮箱:sales@bioss.com.cn
订购QQ:  400-901-9800
技术支持:techsupport@bioss.com.cn
50ul/1180.00元
100ul/1980.00元
大包装/询价

产品编号 bsm-43117M
英文名称 CD63 Mouse mAb
中文名称 黑色素瘤相关抗原单克隆抗体
别    名 Lysosomal associated membrane protein 3; CD63 antigen; CD63 antigen melanoma 1 antigen; CD63 molecule; granulophysin; LAMP 3; LAMP3; lysosome associated membrane glycoprotein 3; CD 63; CD63 antigen(melanoma 1 antigen); CD63_HUMAN; gp55; granulophysin; LAMP-3; LIMP; Lysosomal-associated membrane protein 3; Melanoma-associated antigen ME491; NGA; Ocular melanoma-associated antigen; PTLGP40; Tetraspanin-30; Tspan-30; Mast cell antigen AD1; ME491; melanoma 1 antigen; Melanoma associated antigen ME491; Melanoma associated antigen MLA1; MGC72893; MLA 1; MLA1; ocular melanoma associated antigen; OMA81H; Tetraspanin 30; Tspan 30; TSPAN30; Tumor biomarkers; Platelets markers.  
研究领域 肿瘤  心血管  免疫学  细胞类型标志物  
抗体来源 Mouse
克隆类型 Monoclonal
克 隆 号 7E1
交叉反应 Human
产品应用 IHC-P=1:100-500,IHC-F=1:100-500,IF=1:100-500,ELISA=1:5000-10000
not yet tested in other applications.
optimal dilutions/concentrations should be determined by the end user.
理论分子量 26 kDa
检测分子量 30-50
细胞定位 细胞浆 细胞膜 
性    状 Liquid
浓    度 1mg/ml
免 疫 原 Recombinant human CD63 protein: 103-203/238 
亚    型 IgG
纯化方法 affinity purified by Protein A
缓 冲 液 0.01M TBS (pH7.4) with 1% BSA, 0.02% Proclin300 and 50% Glycerol.
保存条件 Shipped at 4℃. Store at -20℃ for one year. Avoid repeated freeze/thaw cycles.
注意事项 This product as supplied is intended for research use only, not for use in human, therapeutic or diagnostic applications.
PubMed PubMed
产品介绍 The protein encoded by this gene is a member of the transmembrane 4 superfamily, also known as the tetraspanin family. Most of these members are cell-surface proteins that are characterized by the presence of four hydrophobic domains. The proteins mediate signal transduction events that play a role in the regulation of cell development, activation, growth and motility. The encoded protein is a cell surface glycoprotein that is known to complex with integrins. It may function as a blood platelet activation marker. Deficiency of this protein is associated with Hermansky-Pudlak syndrome. Also this gene has been associated with tumor progression. Alternative splicing results in multiple transcript variants encoding different protein isoforms. [provided by RefSeq, Apr 2012]

SWISS:
P08962

Gene ID:
967

Database links:

Entrez Gene: 967 Human

Omim: 155740 Human

SwissProt: P08962 Human

Unigene: 445570 Human



产品图片
Paraformaldehyde-fixed, paraffin embedded Human Spleen; Antigen retrieval by boiling in sodium citrate buffer (pH6.0) for 15 min; Antibody incubation with CD63 Monoclonal Antibody, Unconjugated(bsm-43117M) at 1:100 overnight at 4°C, followed by conjugation to the bs-40296G-HRP and DAB (C-0010) staining.
Paraformaldehyde-fixed, paraffin embedded Human Skeletal muscle; Antigen retrieval by boiling in sodium citrate buffer (pH6.0) for 15 min; Antibody incubation with CD63 Monoclonal Antibody, Unconjugated(bsm-43117M) at 1:100 overnight at 4°C, followed by conjugation to the bs-40296G-HRP and DAB (C-0010) staining.
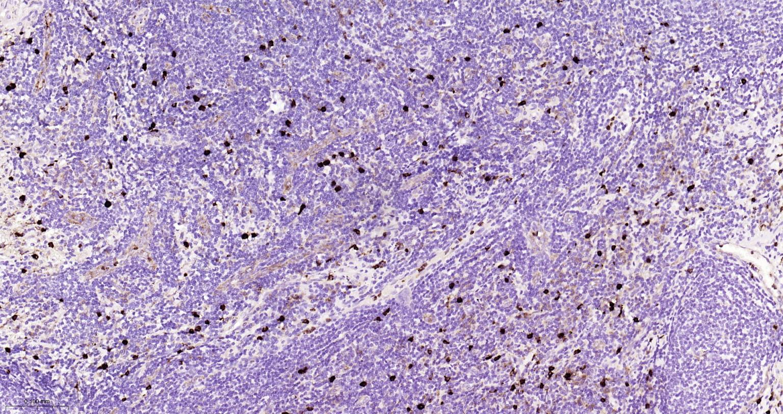
Paraformaldehyde-fixed, paraffin embedded Human Tonsil; Antigen retrieval by boiling in sodium citrate buffer (pH6.0) for 15 min; Antibody incubation with CD63 Monoclonal Antibody, Unconjugated(bsm-43117M) at 1:100 overnight at 4°C, followed by conjugation to the bs-40296G-HRP and DAB (C-0010) staining.
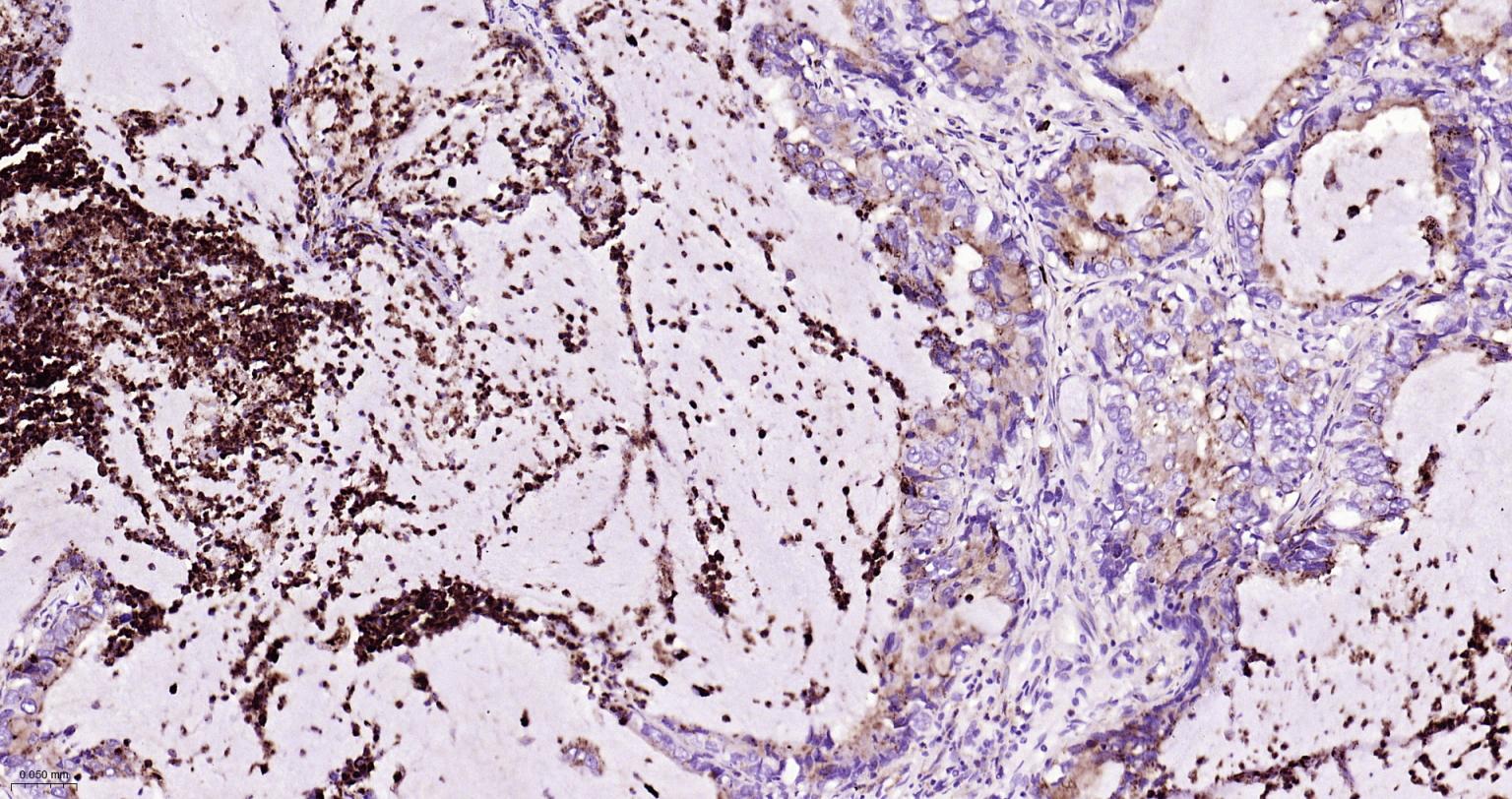
Paraformaldehyde-fixed, paraffin embedded Human Colon Cancer; Antigen retrieval by boiling in sodium citrate buffer (pH6.0) for 15 min; Antibody incubation with CD63 Monoclonal Antibody, Unconjugated(bsm-43117M) at 1:100 overnight at 4°C, followed by conjugation to the bs-40296G-HRP and DAB (C-0010) staining.
Paraformaldehyde-fixed, paraffin embedded Human melanoma; Antigen retrieval by boiling in sodium citrate buffer (pH6.0) for 15 min; Antibody incubation with CD63 Monoclonal Antibody, Unconjugated(bsm-43117M) at 1:100 overnight at 4°C, followed by conjugation to the bs-40296G-HRP and DAB (C-0010) staining.
Paraformaldehyde-fixed, paraffin embedded Human Lung Cancer; Antigen retrieval by boiling in sodium citrate buffer (pH6.0) for 15 min; Antibody incubation with CD63 Monoclonal Antibody, Unconjugated(bsm-43117M) at 1:100 overnight at 4°C, followed by conjugation to the bs-40296G-HRP and DAB (C-0010) staining.
Paraformaldehyde-fixed, paraffin embedded Human Colon; Antigen retrieval by boiling in sodium citrate buffer (pH6.0) for 15 min; The section was incubated with CD63 Monoclonal Antibody, Unconjugated (bsm-43117M) at 1:200 overnight at 4°C. Followed by conjugated Goat Anti-Mouse IgG antibody (green, bs-0296G-BF488), DAPI (blue, C02-04002) was used to stain the cell nuclei.
版权所有 2004-2026 www.bioss.com.cn 北京博奥森生物技术有限公司
通过国际质量管理体系ISO 9001:2015 GB/T 19001-2016    证书编号: 00124Q34771R2M/1100
通过国际医疗器械-质量管理体系ISO 13485:2016 GB/T 42061-2022     证书编号: CQC24QY20047R0M/1100
京ICP备05066980号-1         京公网安备110107000727号