扫码关注公众号           扫码咨询技术支持           扫码咨询技术服务
  
客服热线:400-901-9800  客服QQ:4009019800  技术答疑  技术支持  质量反馈  关于我们  联系我们
产品中心-北京博奥森生物技术有限公司
首页 > 产品中心 > 一抗 > 产品信息
MUC16 Mouse mAb (bsm-43121M)  
订购热线:400-901-9800
订购邮箱:sales@bioss.com.cn
订购QQ:  400-901-9800
技术支持:techsupport@bioss.com.cn
50ul/1180.00元
100ul/1980.00元
200ul/2800.00元
200ug(PBS only)/5600.00元
大包装/询价

产品编号 bsm-43121M
英文名称 MUC16 Mouse mAb
中文名称 卵巢癌抗原单克隆抗体
别    名 CA 125; CA-125; CA125 ovarian cancer antigen; Cancer antigen 125; FLJ14303; MUC16_HUMAN; MUC 16; Mucin 16; MUC-16; Mucin 16 cell surface associated; Mucin16; Ovarian cancer related tumor marker CA125; Ovarian carcinoma antigen CA125; Ovarian cancer-related tumor marker CA125  
研究领域 肿瘤  信号转导  淋巴细胞  b-淋巴细胞  细胞骨架  肿瘤细胞生物标志物  
抗体来源 Mouse
克隆类型 Monoclonal
克 隆 号 5B12
交叉反应 Human
产品应用 WB=1:500-2000,IHC-P=1:100-500,IHC-F=1:100-500,IF=1:100-500,Flow-Cyt=1μg/Test,ICC/IF=1:50-200
not yet tested in other applications.
optimal dilutions/concentrations should be determined by the end user.
理论分子量 200 kDa
检测分子量
细胞定位 细胞膜 分泌型蛋白 
性    状 Liquid
浓    度 1mg/ml
免 疫 原 Recombinant human MUC16 Protein: 12660-12923/14507 
亚    型 IgG
纯化方法 affinity purified by Protein A
缓 冲 液 0.01M TBS (pH7.4) with 1% BSA, 0.02% Proclin300 and 50% Glycerol.
保存条件 Shipped at 4℃. Store at -20℃ for one year. Avoid repeated freeze/thaw cycles.
注意事项 This product as supplied is intended for research use only, not for use in human, therapeutic or diagnostic applications.
PubMed PubMed
产品介绍 MUC16 (CA125) is a serum marker that is used routinely in gynecologic practice to monitor patients with ovarian cancer. It is a mullerian duct differentiation antigen that is overexpressed in epithelial ovarian cancer cells and secreted into the blood, although its expression is not entirely confined to ovarian cancer. Most biochemical studies have concluded that MUC16 is a high molecular mass glycoprotein, although estimates of its size range from 200 to 2000 kDa with smaller “subunits” being described by some investigators.

SWISS:
Q8WXI7

Gene ID:
94025

Database links:

Entrez Gene: 94025 Human

SwissProt: Q8WXI7 Human

Unigene: 432676 Human





产品图片
25 ug total protein per lane of various lysates (see on figure) probed with MUC16 monoclonal antibody, unconjugated (bsm-43121M) at 1:1000 dilution and 4°C overnight incubation. Followed by conjugated secondary antibody incubation at r.t. for 60 min.
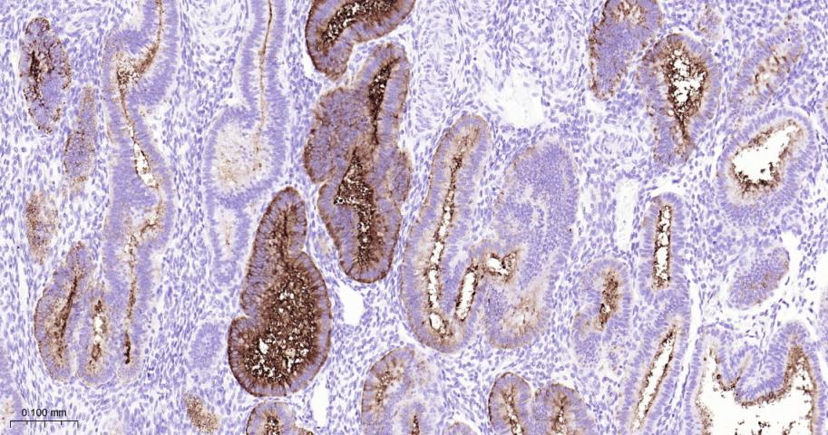
Paraformaldehyde-fixed, paraffin embedded Human Endometrial; Antigen retrieval by boiling in sodium citrate buffer (pH6.0) for 15 min; Antibody incubation with MUC16 Monoclonal Antibody, Unconjugated(bsm-43121M) at 1:200 overnight at 4°C, followed by conjugation to the bs-40296G-HRP and DAB (C-0010) staining.
Paraformaldehyde-fixed, paraffin embedded Human Endometrial Cancer; Antigen retrieval by boiling in sodium citrate buffer (pH6.0) for 15 min; Antibody incubation with MUC16 Monoclonal Antibody, Unconjugated(bsm-43121M) at 1:200 overnight at 4°C, followed by conjugation to the bs-40296G-HRP and DAB (C-0010) staining.
Paraformaldehyde-fixed, paraffin embedded Human Uterus; Antigen retrieval by boiling in sodium citrate buffer (pH6.0) for 15 min; Antibody incubation with MUC16 Monoclonal Antibody, Unconjugated(bsm-43121M) at 1:200 overnight at 4°C, followed by conjugation to the bs-40296G-HRP and DAB (C-0010) staining.
Paraformaldehyde-fixed, paraffin embedded Human Ovarian mucinous Cancer; Antigen retrieval by boiling in sodium citrate buffer (pH6.0) for 15 min; Antibody incubation with MUC16 Monoclonal Antibody, Unconjugated(bsm-43121M) at 1:200 overnight at 4°C, followed by conjugation to the bs-40296G-HRP and DAB (C-0010) staining.
(Negative control)Paraformaldehyde-fixed, paraffin embedded Human Colon; Antigen retrieval by boiling in sodium citrate buffer (pH6.0) for 15 min; Antibody incubation with MUC16 Monoclonal Antibody, Unconjugated(bsm-43121M) at 1:200 overnight at 4°C, followed by conjugation to the bs-40296G-HRP and DAB (C-0010) staining.
4% Paraformaldehyde-fixed OVCAR-3 (H) cell; Triton X-100 at r.t. for 20 min; Antibody incubation with (MUC16) monoclonal Antibody, unconjugated (bsm-43121M) 1:100, 90 min at 37°C; followed by conjugated Goat Anti-Mouse IgG antibody (green, bs-60296G-BF488) at 37°C for 90 min, DAPI (blue, C02-04002) was used to stain the cell nuclei. PBS instead of the primary antibody was used as the blank control.
The OVCAR-3 (H) cells were incubated in 5%BSA to block non-specific protein-protein interactions (30 min at r.t.). Primary Antibody (green): Mouse Anti-MUC16 antibody (bsm-43121M): 1 μg/10^6 cells; Secondary Antibody (white blue): Goat anti-Mouse IgG-BF488 (bs-60296G-BF488): 1 μg/test. Isotype Control (orange): Mouse IgG (bs-0296P). Blank control (black): PBS. Acquisition of 20,000 events was performed.
版权所有 2004-2026 www.bioss.com.cn 北京博奥森生物技术有限公司
通过国际质量管理体系ISO 9001:2015 GB/T 19001-2016    证书编号: 00124Q34771R2M/1100
通过国际医疗器械-质量管理体系ISO 13485:2016 GB/T 42061-2022     证书编号: CQC24QY20047R0M/1100
京ICP备05066980号-1         京公网安备110107000727号