扫码关注公众号           扫码咨询技术支持           扫码咨询技术服务
  
客服热线:400-901-9800  客服QQ:4009019800  技术答疑  技术支持  质量反馈  人才招聘  关于我们  联系我们
产品中心-北京博奥森生物技术有限公司
首页 > 产品中心 > 一抗 > 产品信息
PTP1B Recombinant Rabbit mAb (bsm-60700R)  
订购热线:400-901-9800
订购邮箱:sales@bioss.com.cn
订购QQ:  400-901-9800
技术支持:techsupport@bioss.com.cn
25ul/800.00元
50ul/1400.00元
100ul/2500.00元
大包装/询价

产品编号 bsm-60700R
英文名称 PTP1B Recombinant Rabbit mAb
中文名称 蛋白酪氨酸磷酸酶-1B重组兔单抗
别    名 PTP1B; PTP-1B; PTP-HA2; Ptp; PTN1_HUMAN; PTPN1; Protein-tyrosine phosphatase 1B (PTP-1B); 3.1.3.48; PTN1_MOUSE; Protein-tyrosine phosphatase HA2 (PTP-HA2); PTN1_RAT;   
研究领域 肿瘤  免疫学  信号转导  肿瘤细胞生物标志物  
抗体来源 Rabbit
克隆类型 Recombinant
克 隆 号 R3F5
交叉反应 Human,Mouse,Rat
产品应用 WB=1:500-2000,IHC-P=1:200-500,IHC-F=1:200-500,IF=1:200-500,Flow-Cyt=1:50-100,ICC/IF=1:50-200
not yet tested in other applications.
optimal dilutions/concentrations should be determined by the end user.
理论分子量 50 kDa
检测分子量 50
细胞定位 细胞浆 细胞膜 
性    状 Liquid
浓    度 1mg/ml
免 疫 原 A synthesized peptide derived from human PTPN1: 350-400 
亚    型 IgG
纯化方法 affinity purified by Protein A
缓 冲 液 0.01M TBS (pH7.4) with 1% BSA, 0.02% Proclin300 and 50% Glycerol.
保存条件 Shipped at 4℃. Store at -20℃ for one year. Avoid repeated freeze/thaw cycles.
注意事项 This product as supplied is intended for research use only, not for use in human, therapeutic or diagnostic applications.
PubMed PubMed
产品介绍 The protein encoded by this gene is the founding member of the protein tyrosine phosphatase (PTP) family, which was isolated and identified based on its enzymatic activity and amino acid sequence. PTPs catalyze the hydrolysis of the phosphate monoesters specifically on tyrosine residues. Members of the PTP family share a highly conserved catalytic motif, which is essential for the catalytic activity. PTPs are known to be signaling molecules that regulate a variety of cellular processes including cell growth, differentiation, mitotic cycle, and oncogenic transformation. This PTP has been shown to act as a negative regulator of insulin signaling by dephosphorylating the phosphotryosine residues of insulin receptor kinase. This PTP was also reported to dephosphorylate epidermal growth factor receptor kinase, as well as JAK2 and TYK2 kinases, which implicated the role of this PTP in cell growth control, and cell response to interferon stimulation. Two transcript variants encoding different isoforms have been found for this gene. [provided by RefSeq, Jul 2013]


Function:
Tyrosine-protein phosphatase which acts as a regulator of endoplasmic reticulum unfolded protein response. Mediates dephosphorylation of EIF2AK3/PERK; inactivating the protein kinase activity of EIF2AK3/PERK. May play an important role in CKII- and p60c-src-induced signal transduction cascades. May regulate the EFNA5-EPHA3 signaling pathway which modulates cell reorganization and cell-cell repulsion

Subunit:
Interacts with EPHA3 (phosphorylated); dephosphorylates EPHA3 and may regulate its trafficking and function.

Subcellular Location:
Endoplasmic reticulum membrane; Peripheral membrane protein; Cytoplasmic side. Note=Interacts with EPHA3 at the cell membrane.

Tissue Specificity:
Most abundant in testis. Also found in kidney, spleen, muscle, liver, heart and brain.

Post-translational modifications:
Ser-50 is the major site of phosphorylation as compared to Ser-242 and Ser-243. Activated by phosphorylation at Ser-50. S-nitrosylation of Cys-215 inactivates the enzyme activity. Sulfhydration at Cys-215 following endoplasmic reticulum stress inactivates the enzyme activity, promoting EIF2AK3/PERK activity.

SWISS:
P18031

Gene ID:
5770

Database links:

Entrez Gene: 5770 Human

Entrez Gene: 19246 Mouse

Entrez Gene: 24697 Rat

SwissProt: P18031 Human

SwissProt: P35821 Mouse

SwissProt: P20417 Rat



蛋白酪氨酸磷酸酶1B(PTP1B)是一种胰岛素信号的负性调节因子,与肥胖症和2型糖尿病的发病及发展关系密切。对P-tyr基因敲除小鼠的研究表明,缺失PTP1B小鼠的胰岛素敏感性明显增加,并对肥胖有一定的抵抗作用,而另一些对动物和人体的研究结果却与此相反,发现PTP1B可通过引起胰岛素抵抗、瘦素抵抗及影响脂代谢等而导致肥胖症和2型糖尿病的发生。一些特异性的Ptyr小分子抑制剂已经开发并用于肥胖和糖尿病的治疗中。
产品图片
25 ug total protein per lane of various lysates (see on figure) probed with PTP1B monoclonal antibody, unconjugated (bsm-60700R) at 1:1000 dilution and 4°C overnight incubation. Followed by conjugated secondary antibody incubation at r.t. for 60 min.
Paraformaldehyde-fixed, paraffin embedded Rat Kidney; Antigen retrieval by boiling in sodium citrate buffer (pH6.0) for 15 min; Antibody incubation with PTP1B Monoclonal Antibody, Unconjugated(bsm-60700R) at 1:200 overnight at 4°C, followed by conjugation to the SP Kit(Rabbit, SP-0023) and DAB (C-0010) staining.
Paraformaldehyde-fixed, paraffin embedded Mouse Kidney; Antigen retrieval by boiling in sodium citrate buffer (pH6.0) for 15 min; Antibody incubation with PTP1B Monoclonal Antibody, Unconjugated(bsm-60700R) at 1:200 overnight at 4°C, followed by conjugation to the SP Kit(Rabbit, SP-0023) and DAB (C-0010) staining.
Paraformaldehyde-fixed, paraffin embedded Human Breast Cancer; Antigen retrieval by boiling in sodium citrate buffer (pH6.0) for 15 min; Antibody incubation with PTP1B Monoclonal Antibody, Unconjugated(bsm-60700R) at 1:200 overnight at 4°C, followed by conjugation to the SP Kit(Rabbit, SP-0023) and DAB (C-0010) staining.
Paraformaldehyde-fixed, paraffin embedded Human Colon Cancer; Antigen retrieval by boiling in sodium citrate buffer (pH6.0) for 15 min; Antibody incubation with PTP1B Monoclonal Antibody, Unconjugated(bsm-60700R) at 1:200 overnight at 4°C, followed by conjugation to the SP Kit(Rabbit, SP-0023) and DAB (C-0010) staining.
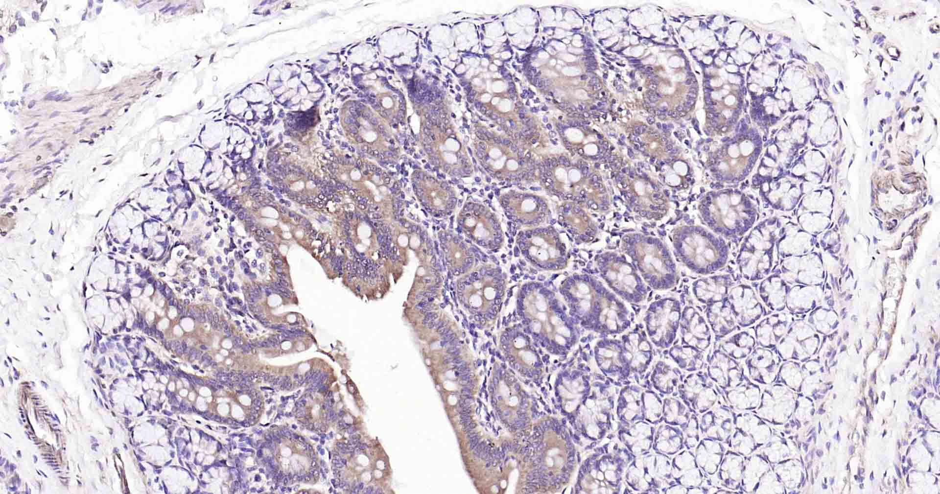
Paraformaldehyde-fixed, paraffin embedded Human Colon; Antigen retrieval by boiling in sodium citrate buffer (pH6.0) for 15 min; Antibody incubation with PTP1B Monoclonal Antibody, Unconjugated(bsm-60700R) at 1:200 overnight at 4°C, followed by conjugation to the SP Kit(Rabbit, SP-0023) and DAB (C-0010) staining.
Paraformaldehyde-fixed, paraffin embedded Rat Colon; Antigen retrieval by boiling in sodium citrate buffer (pH6.0) for 15 min; Antibody incubation with PTP1B Monoclonal Antibody, Unconjugated(bsm-60700R) at 1:200 overnight at 4°C, followed by conjugation to the SP Kit(Rabbit, SP-0023) and DAB (C-0010) staining.
Paraformaldehyde-fixed, paraffin embedded Mouse Colon; Antigen retrieval by boiling in sodium citrate buffer (pH6.0) for 15 min; Antibody incubation with PTP1B Monoclonal Antibody, Unconjugated(bsm-60700R) at 1:200 overnight at 4°C, followed by conjugation to the SP Kit(Rabbit, SP-0023) and DAB (C-0010) staining.
版权所有 2004-2026 www.bioss.com.cn 北京博奥森生物技术有限公司
通过国际质量管理体系ISO 9001:2015 GB/T 19001-2016    证书编号: 00124Q34771R2M/1100
通过国际医疗器械-质量管理体系ISO 13485:2016 GB/T 42061-2022     证书编号: CQC24QY20047R0M/1100
京ICP备05066980号-1         京公网安备110107000727号