扫码关注公众号           扫码咨询技术支持           扫码咨询技术服务
  
客服热线:400-901-9800  客服QQ:4009019800  技术答疑  技术支持  质量反馈  人才招聘  关于我们  联系我们
产品中心-北京博奥森生物技术有限公司
首页 > 产品中心 > 一抗 > 产品信息
NCK1 Recombinant Rabbit mAb (bsm-54207R)  
订购热线:400-901-9800
订购邮箱:sales@bioss.com.cn
订购QQ:  400-901-9800
技术支持:techsupport@bioss.com.cn
50ul/1400.00元
100ul/2500.00元
大包装/询价

产品编号 bsm-54207R
英文名称 NCK1 Recombinant Rabbit mAb
中文名称 NCK衔接蛋白1重组兔单抗
别    名 NCK; NCKalpha; nck-1; 6330586M15Rik; D230010O13Rik; NCK1_HUMAN; NCK1; Cytoplasmic protein NCK1; NCK adapter protein 1 (Nck-1); SH2/SH3 adapter protein NCK-alpha; NCK1_MOUSE; NCK adaptor protein 1  
研究领域 细胞生物  神经生物学  信号转导  
抗体来源 Rabbit
克隆类型 Recombinant
克 隆 号 7C2
交叉反应 Human,Mouse,Rat
产品应用 WB=1:500-2000,IHC-P=1:100-500,IHC-F=1:100-500,IF=1:100-500,Flow-Cyt=1:50-100,ICC/IF=1:50-200
not yet tested in other applications.
optimal dilutions/concentrations should be determined by the end user.
理论分子量 25kDa
检测分子量 47
细胞定位 细胞核 细胞浆 
性    状 Liquid
浓    度 1mg/ml
免 疫 原 KLH conjugated synthetic peptide derived from human NCK1 
亚    型 IgG
纯化方法 affinity purified by Protein A
缓 冲 液 1*TBS (pH7.4), 0.05% BSA, 40% Glycerol. Preservative: 0.02% Proclin300.
保存条件 Shipped at 4℃. Store at -20℃ for one year. Avoid repeated freeze/thaw cycles.
注意事项 This product as supplied is intended for research use only, not for use in human, therapeutic or diagnostic applications.
PubMed PubMed
产品介绍 Nck is a highly conserved, oncogenic protein. It is a common target for the action of different surface receptors, encoding one SH2 and three SH3 domains, the Src homology motifs found in nonreceptor tyrosine kinases, Ras GTPase activating protein, phosphatidylinositol 3 kinase, and phospholipase Cg. Nck is widely expressed in various tissues and in cell lines from human, murine, and rat origins. Nck is phosphorylated on tyrosine, serine, and threonine residues in response to stimulation of EGF and PDGF in A431 and NIH 3T3 cells respectively. Like other SH2 containing proteins, Nck is associated with tyrosine autophosphorylated EGF or PDGF receptors via its SH2 domain. Overexpression of Nck leads to transformation of NIH 3T3 cells.

SWISS:
P16333

Gene ID:
4690

产品图片
25 ug total protein per lane of various lysates (see on figure) probed with NCK1 monoclonal antibody, unconjugated (bsm-54207R) at 1:1000 dilution and 4°C overnight incubation. Followed by conjugated secondary antibody incubation at r.t. for 60 min.
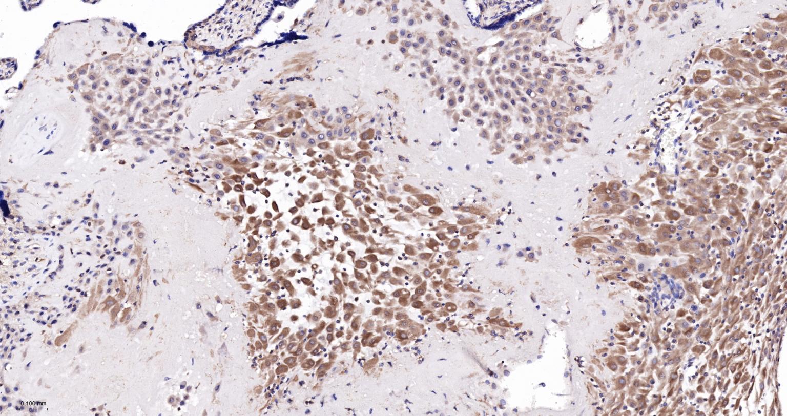
Paraformaldehyde-fixed, paraffin embedded Human placenta; Antigen retrieval by boiling in sodium citrate buffer (pH6.0) for 15 min; The section was incubated with NCK1 Monoclonal Antibody, Unconjugated (bsm-54207R) at 1:200 overnight at 4°C, followed by conjugation to the bs-0295G-HRP and DAB (C-0010) staining.
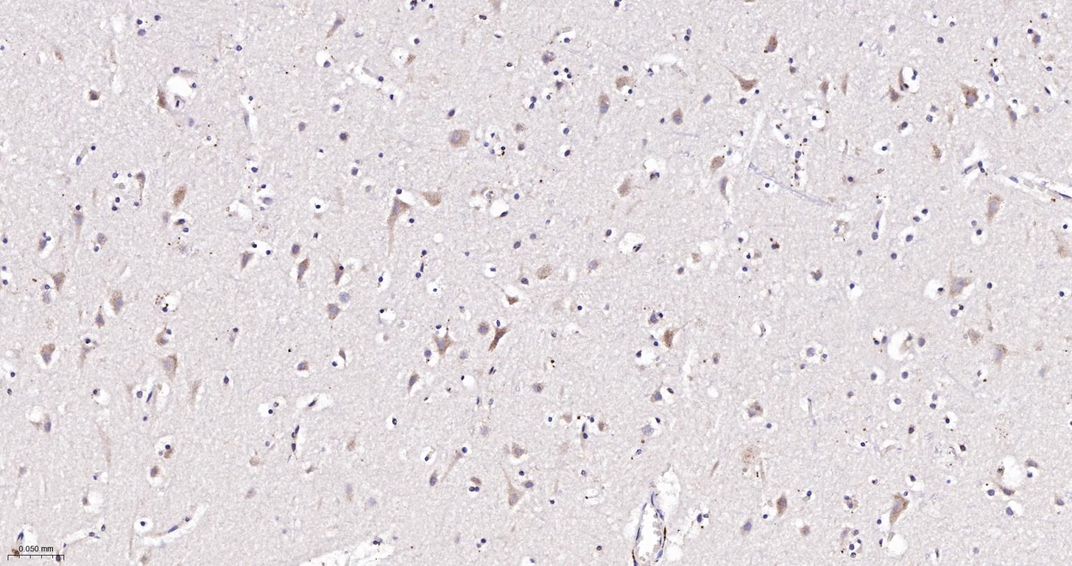
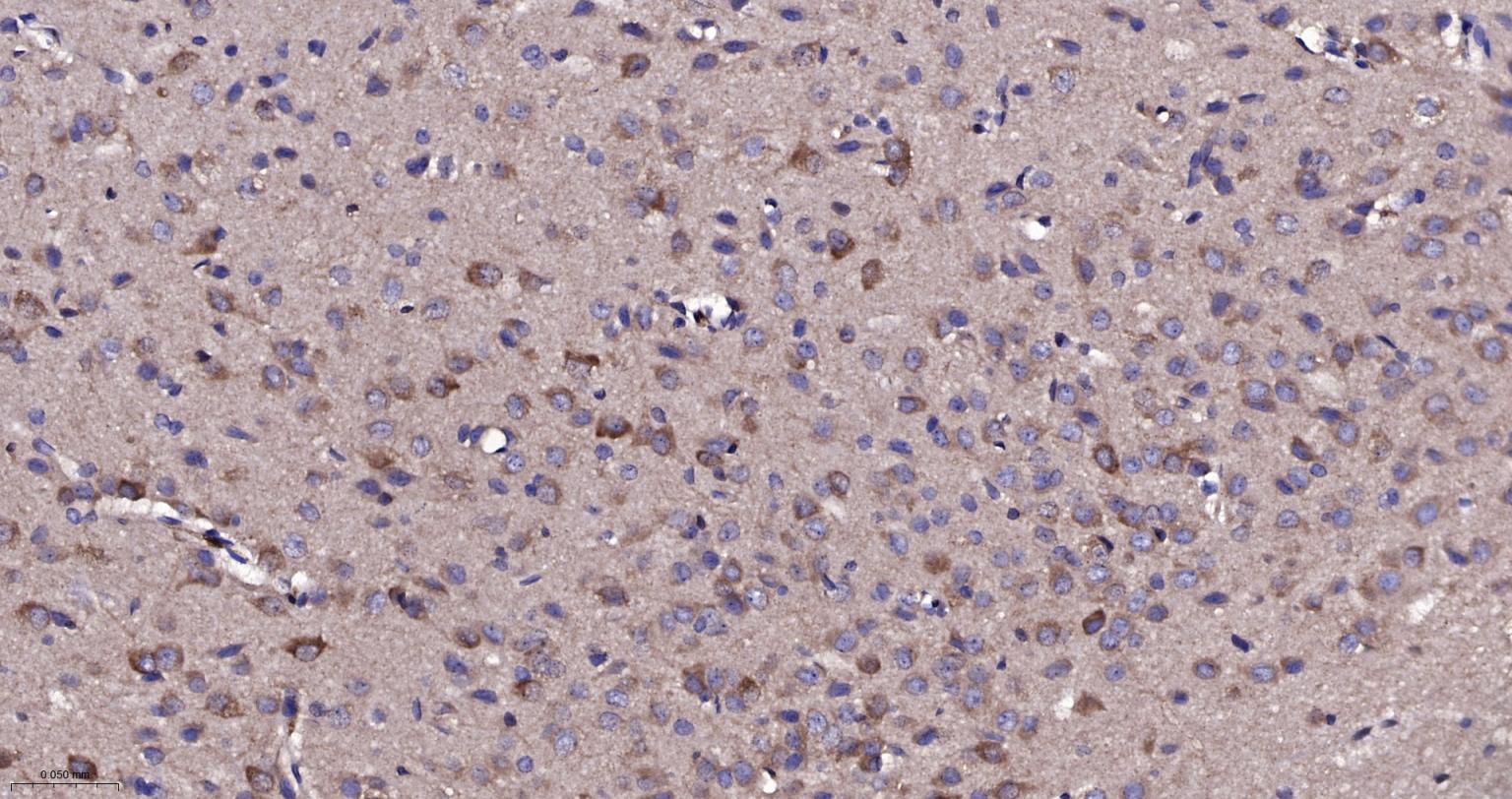
Paraformaldehyde-fixed, paraffin embedded Human Cerebrum; Antigen retrieval by boiling in sodium citrate buffer (pH6.0) for 15 min; The section was incubated with NCK1 Monoclonal Antibody, Unconjugated (bsm-54207R) at 1:200 overnight at 4°C, followed by conjugation to the bs-0295G-HRP and DAB (C-0010) staining.
Paraformaldehyde-fixed, paraffin embedded Rat Cerebrum; Antigen retrieval by boiling in sodium citrate buffer (pH6.0) for 15 min; The section was incubated with NCK1 Monoclonal Antibody, Unconjugated (bsm-54207R) at 1:200 overnight at 4°C, followed by conjugation to the bs-0295G-HRP and DAB (C-0010) staining.
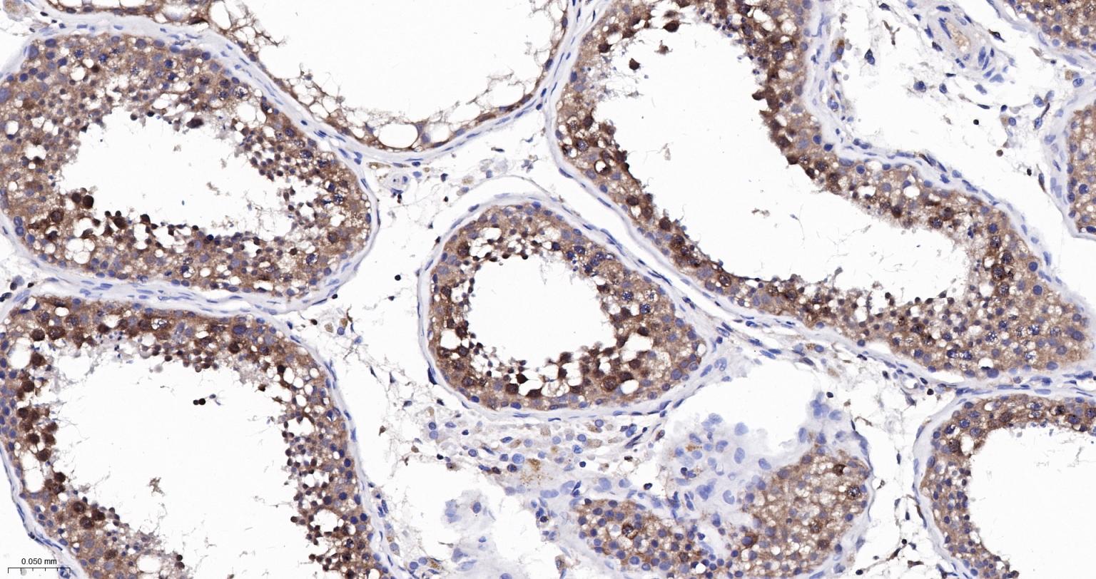
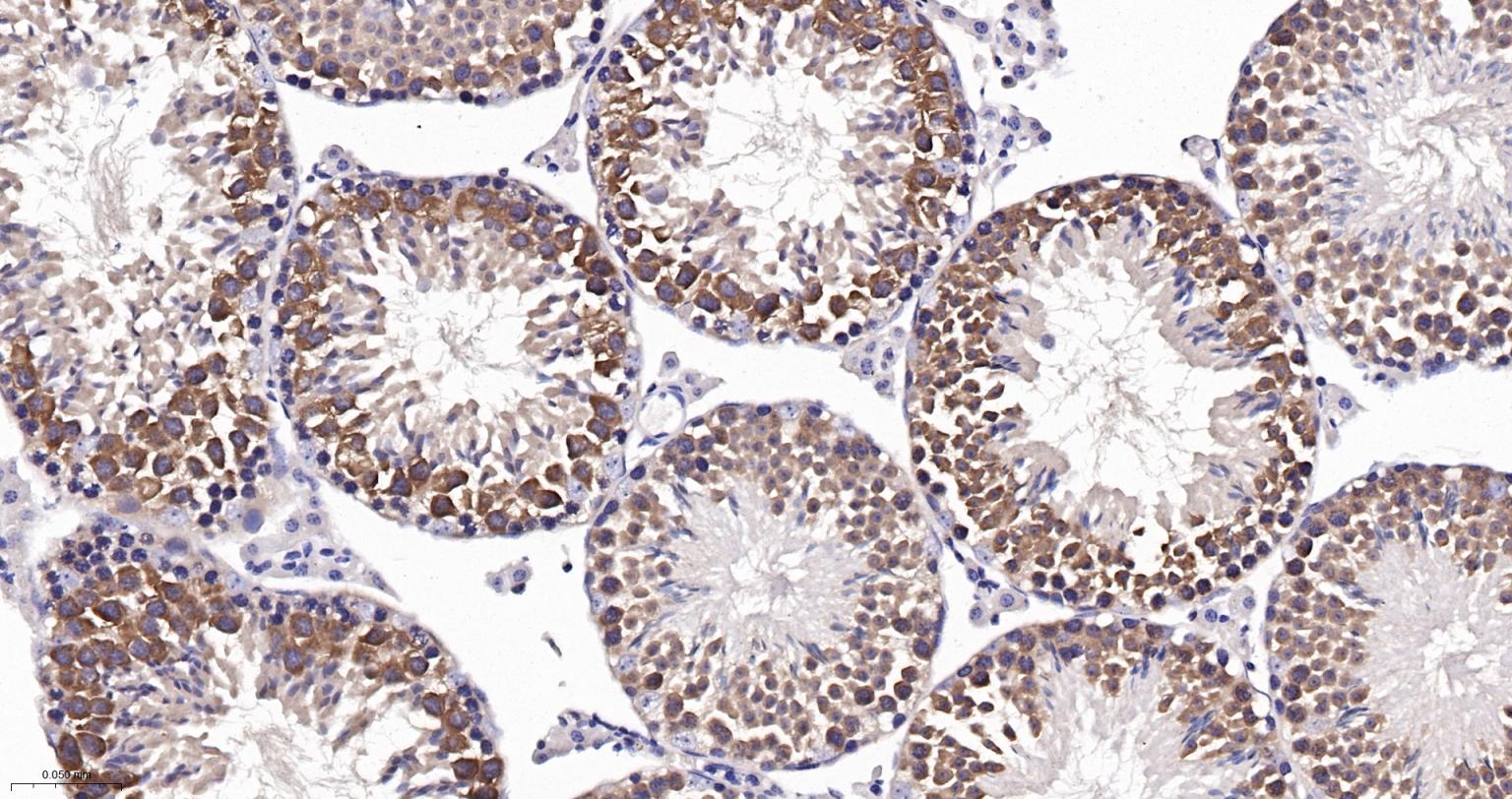
Paraformaldehyde-fixed, paraffin embedded Human Testicles; Antigen retrieval by boiling in sodium citrate buffer (pH6.0) for 15 min; The section was incubated with NCK1 Monoclonal Antibody, Unconjugated (bsm-54207R) at 1:200 overnight at 4°C, followed by conjugation to the bs-0295G-HRP and DAB (C-0010) staining.
Paraformaldehyde-fixed, paraffin embedded Rat Testicles; Antigen retrieval by boiling in sodium citrate buffer (pH6.0) for 15 min; The section was incubated with NCK1 Monoclonal Antibody, Unconjugated (bsm-54207R) at 1:200 overnight at 4°C, followed by conjugation to the bs-0295G-HRP and DAB (C-0010) staining.
Paraformaldehyde-fixed, paraffin embedded Mouse Testicles; Antigen retrieval by boiling in sodium citrate buffer (pH6.0) for 15 min; The section was incubated with NCK1 Monoclonal Antibody, Unconjugated (bsm-54207R) at 1:200 overnight at 4°C, followed by conjugation to the bs-0295G-HRP and DAB (C-0010) staining.
The Hela (H) cells were fixed with 4% PFA (10 min at r.t.) and then permeabilized with 90% ice-cold methanol for 20 min at -20℃,the cells then were incubated in 5%BSA to block non-specific protein-protein interactions (30 min at r.t.), followed by secondary antibody incubation for 40 min at room temperature. Primary Antibody (green):Rabbit Anti-NCK1 antibody (bsm-54207R,1:100); Isotype Control (orange): Rabbit IgG (bs-0295P). Blank control (black): PBS. Acquisition of 20,000 events was performed.
版权所有 2004-2026 www.bioss.com.cn 北京博奥森生物技术有限公司
通过国际质量管理体系ISO 9001:2015 GB/T 19001-2016    证书编号: 00124Q34771R2M/1100
通过国际医疗器械-质量管理体系ISO 13485:2016 GB/T 42061-2022     证书编号: CQC24QY20047R0M/1100
京ICP备05066980号-1         京公网安备110107000727号