扫码关注公众号           扫码咨询技术支持           扫码咨询技术服务
  
客服热线:400-901-9800  客服QQ:4009019800  技术答疑  技术支持  质量反馈  人才招聘  关于我们  联系我们
产品中心-北京博奥森生物技术有限公司
首页 > 产品中心 > 试剂盒 > 产品信息
Human Cytokeratin 7 Ready-To-Use IHC Kit (IHC0112H)  
订购热线:400-901-9800
订购邮箱:sales@bioss.com.cn
订购QQ:  400-901-9800
技术支持:techsupport@bioss.com.cn
50T/3200.00元
大包装/询价

产品编号 IHC0112H
英文名称 Human Cytokeratin 7 Ready-To-Use IHC Kit
中文名称 人细胞角蛋白7单克隆即用型免疫组化试剂盒
别    名 Cytokeratin 7; CK 7; K7; Keratin 7; Keratin,type II cytoskeletal 7; KRT7; SCL; K2C7_HUMAN.  
克 隆 号
种    属 Human
应用范围 Immunohistochemistry
适用样品基质 FFPE tissue
保存条件 Please store components at the temperatures indicated on the individual tube labels. The kit is stable for 6 months from the date of receipt.
注意事项 This product as supplied is intended for research use only, not for use in human, therapeutic or diagnostic applications.
产品介绍

产品组分及规格

编号

组分

规格

浓度

储存

1

PBS缓冲液干粉

2 L×2

20x

室温

2

抗原修复缓冲液

20 ml

100x

2-8

3

内源性过氧化物酶阻断剂

3 ml

RTU

2-8

4

封闭工作液

3 ml

RTU

2-8

5

一抗Human Cytokeratin 7 Mouse mAb

6 ml

RTU

2-8

6

二抗HRP-Goat anti-Mouse IgG pAb

6 ml

RTU

2-8

7

DAB kit20×)显色液

0.3 ml

RTU

-20℃

8

DAB kit20×)稀释液

0.3 ml

RTU

-20

9

复染试剂

5 ml

RTU

室温

10

封片剂

5 ml

RTU

室温

11

对照人子宫内膜癌

1

RTU

室温

12

说明书

1


背景

Human cytokeratin 7 (K7), a 54-kDa type II (or basic) keratin expressed either alone or paired with cytokeratin 19 in simple epithelia, mesothelium, urothelium, and pseudostratified epithelium. Expression of cytokeratin 7 in the gastric foveolar, intestinal, and stratified squamous epithelia is extremely low or undetectable. Cytokeratins form the intracellular cytoskeletal network that maintains the integrity and stability of cells and tissues. In addition, most carcinomas express cytokeratin 7. The coordinated expression of this keratin with cytokeratin 20 is commonly used as a diagnostic marker for a variety of carcinomas.


石蜡包埋组织的免疫组织化学方案

1. 脱蜡水化

石蜡切片置于新鲜二甲苯中浸泡脱蜡3次,每次15 min;依次置于不同浓度(100%95%90%80%70%)乙醇浸泡5 min,再置于蒸馏水洗涤5 min,重复3次。

2. 抗原修复

沸水浴修复:将100×抗原修复缓冲液(试剂2用蒸馏水稀释成抗原修复缓冲液,放入修复盒中并提前加热至95-100℃(注意盖好以防液体蒸发),然后将切片放入修复盒中,在沸水浴环境中保持外沸状态15 min,室温自然冷却;用PBS缓冲液(试剂1,将干粉溶解在2L蒸馏水中)清洗5 min,重复3次。

3. 阻断内源性过氧化物酶

用吸水纸吸去玻片上多余的液体,用免疫组化笔在组织周围画圈,加入2-4内源性过氧化物酶阻断剂(试剂3,室温下置于湿盒中孵育15 min,用PBS洗涤5 min,重复3次。

4. 血清封闭

用吸水纸吸去玻片上多余的液体,加入2-4封闭工作液(试剂4,置于湿盒内37℃封闭20 min,以减少非特异性染色。

5. 一抗孵育

用吸水纸吸去玻片上多余的液体,加入2-4Cytokeratin 7鼠单抗工作液(试剂5,置于湿盒中,4℃孵育过夜或37℃孵育1-2 h

6. 复温

4℃孵育过夜后,室温下复温15 min (若在室温下孵育一抗,则直接进入下一步清洗);用PBS洗涤5 min,重复3次。

7. 二抗孵育

用吸水纸吸玻片上多余的液体,加入2-4HRP标记羊抗鼠IgG工作液(试剂6,置于湿盒中,37℃孵育1-2 h;用PBS洗涤5 min,重复3

8. 显色

用吸水纸吸去玻片上多余的液体,在每张切片上滴加约50 μL新配制的DAB工作液(试剂7:试剂8:PBS=1:1:18,作用3-5 min。显微镜下观察结果,达到合适的显色强度后,用蒸馏水冲洗切片以终止反应,用蒸馏水冲洗5 min,重复3次。

9. 复染

滴加适量复染试剂(试剂9复染3-5 min,蒸馏水冲洗5 min,滴加盐酸酒精分化约30 s,蒸馏水洗涤5 min,重复2次。

10. 脱水封片

将玻片依次置于不同浓度(70%80%90%95%100%)乙醇,各5 min;然后置于新鲜二甲苯中浸泡脱蜡3,每次15 min。用吸水纸吸去多余的二甲苯,滴加适量封片剂(试剂10在组织上,将盖玻片盖在组织上,避免产生气泡。


注意事项

1. 建议检测时进行阴性及阳性对照,以提高实验的可靠性。

2. 本品中的配套试剂,请不要用其他生产商产品替换使用。

3. DAB为致癌物质,请采取必要的防范措施。

4. PBS洗涤液(试剂1)配制后在4℃可保存一周;抗原修复液(试剂2)及显色剂(试剂78)的工作液需每次实验时现用现配。

*5. 发表论文时引用本产品的写作建议 "IHC0112H, Bioss Antibodies"。引用示例: “Human tissue sections using Human Cytokeratin 7 IHC Kit (IHC0112H, Bioss Antibodies) were stained for Cytokeratin 7 according to the manufacturer's instructions.”

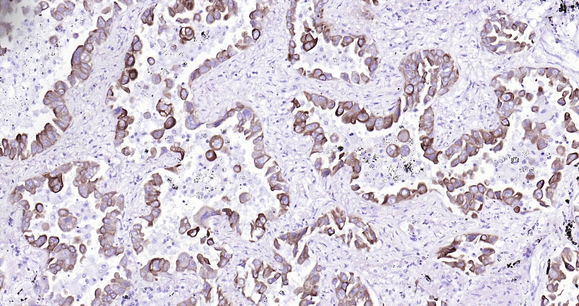
产品图片
Immunohistochemical analysis of paraffin embedded human endometrial carcinoma tissue slide using IHC0112H (Human Cytokeratin 7 IHC Kit).
Immunohistochemical analysis of paraffin embedded human lung carcinoma tissue slide using IHC0112H (Human Cytokeratin 7 IHC Kit).
版权所有 2004-2026 www.bioss.com.cn 北京博奥森生物技术有限公司
通过国际质量管理体系ISO 9001:2015 GB/T 19001-2016    证书编号: 00124Q34771R2M/1100
通过国际医疗器械-质量管理体系ISO 13485:2016 GB/T 42061-2022     证书编号: CQC24QY20047R0M/1100
京ICP备05066980号-1         京公网安备110107000727号