扫码关注公众号           扫码咨询技术支持           扫码咨询技术服务
  
客服热线:400-901-9800  客服QQ:4009019800  技术答疑  技术支持  质量反馈  人才招聘  关于我们  联系我们
产品中心-北京博奥森生物技术有限公司
首页 > 产品中心 > 一抗 > 产品信息
Calreticulin Rabbit pAb (bs-25628R)  
订购热线:400-901-9800
订购邮箱:sales@bioss.com.cn
订购QQ:  400-901-9800
技术支持:techsupport@bioss.com.cn
50ul/1180.00元
100ul/1980.00元
200ul/2800.00元
大包装/询价

产品编号 bs-25628R
英文名称 Calreticulin Rabbit pAb
中文名称 钙网蛋白抗体
别    名 CALR1; CRT; HEL-S-99n; RO; SSA; cC1qR; Calregulin; CALR_HUMAN; CALR; CRP55; Endoplasmic reticulum resident protein 60 (ERp60); HACBP; grp60; CRTC; CALR_MOUSE; CALR_RAT; CALBP; Calcium-binding protein 3 (CABP3);   
抗体来源 Rabbit
克隆类型 Polyclonal
克 隆 号
交叉反应 Human,Mouse,Rat
产品应用 WB=1:500-2000
not yet tested in other applications.
optimal dilutions/concentrations should be determined by the end user.
理论分子量 19.6 kDa
检测分子量 55
性    状 Liquid
浓    度 1mg/ml
免 疫 原 KLH conjugated synthetic peptide derived from human Calreticulin: 181-280/417 
亚    型 IgG
纯化方法 affinity purified by Protein A
缓 冲 液 0.01M TBS (pH7.4) with 1% BSA, 0.02% Proclin300 and 50% Glycerol.
保存条件 Shipped at 4℃. Store at -20℃ for one year. Avoid repeated freeze/thaw cycles.
注意事项 This product as supplied is intended for research use only, not for use in human, therapeutic or diagnostic applications.
PubMed PubMed
产品介绍 Calreticulin is a highly conserved chaperone protein which resides primarily in the endoplasmic reticulum, and is involved in a variety of cellular processes, among them, cell adhesion. Additionally, it functions in protein folding quality control and calcium homeostasis. Calreticulin is also found in the nucleus, suggesting that it may have a role in transcription regulation. Systemic lupus erythematosus is associated with increased autoantibody titers against calreticulin. Recurrent mutations in calreticulin have been linked to various neoplasms, including the myeloproliferative type.[provided by RefSeq, May 2020]

Subunit:
Monomer. Component of an EIF2 complex at least composed of CELF1/CUGBP1, CALR, CALR3, EIF2S1, EIF2S2, HSP90B1 and HSPA5. Interacts with PDIA3/ERp57 (By similarity). Interacts with NR3C1 and TRIM21. Interacts with GABARAP.

Subcellular Location:
Endoplasmic reticulum lumen. Cytoplasm, cytosol. Secreted, extracellular space, extracellular matrix. Cell surface.

Similarity:
Belongs to the calreticulin family.

SWISS:
P27797

Gene ID:
811

Database links:

Entrez Gene: 811 Human

Entrez Gene: 12317 Mouse

Entrez Gene: 64202 Rat

SwissProt: P27797 Human

SwissProt: P14211 Mouse

SwissProt: P18418 Rat



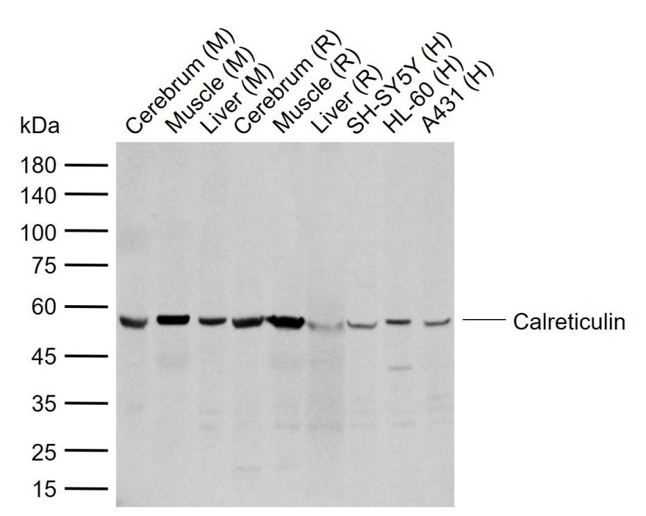
产品图片
Sample: Lane 1: Mouse Cerebrum tissue lysates Lane 2: Mouse Muscle tissue lysates Lane 3: Mouse Liver tissue lysates Lane 4: Rat Cerebrum tissue lysates Lane 5: Rat Muscle tissue lysates Lane 6: Rat Liver tissue lysates Lane 7: Human SH-SY5Y cell lysates Lane 8: Human HL-60 cell lysates Lane 9: Human A431 cell lysates Primary: Anti-Calreticulin (bs-25628R) at 1/1000 dilution Secondary: IRDye800CW Goat Anti-Rabbit IgG at 1/20000 dilution Predicted band size: 19.6 kDa Observed band size: 55 kDa
版权所有 2004-2026 www.bioss.com.cn 北京博奥森生物技术有限公司
通过国际质量管理体系ISO 9001:2015 GB/T 19001-2016    证书编号: 00124Q34771R2M/1100
通过国际医疗器械-质量管理体系ISO 13485:2016 GB/T 42061-2022     证书编号: CQC24QY20047R0M/1100
京ICP备05066980号-1         京公网安备110107000727号