扫码关注公众号           扫码咨询技术支持           扫码咨询技术服务
  
客服热线:400-901-9800  客服QQ:4009019800  技术答疑  技术支持  质量反馈  关于我们  联系我们
产品中心-北京博奥森生物技术有限公司
首页 > 产品中心 > 一抗 > 产品信息
UCHL1+3 Rabbit pAb (bs-25699R)  
订购热线:400-901-9800
订购邮箱:sales@bioss.com.cn
订购QQ:  400-901-9800
技术支持:techsupport@bioss.com.cn
50ul/1180.00元
100ul/1980.00元
200ul/2800.00元
大包装/询价

产品编号 bs-25699R
英文名称 UCHL1+3 Rabbit pAb
中文名称 泛素硫酯酶L1+3抗体
别    名 Epididymis luminal protein 117; Epididymis secretory protein Li 53; HEL 117; HEL S 53; NDGOA; Neuron cytoplasmic protein 9.5; OTTHUMP00000218137; OTTHUMP00000218139; OTTHUMP00000218140; OTTHUMP00000218141; Park 5; PARK5; PGP 9.5; PGP9.5; PGP95; Protein gene product 9.5; Ubiquitin C terminal esterase L1; Ubiquitin C terminal hydrolase; Ubiquitin C terminal hydrolase L1; Ubiquitin carboxyl terminal esterase L1; Ubiquitin carboxyl terminal hydrolase isozyme L1; Ubiquitin carboxyl-terminal hydrolase isozyme L1; Ubiquitin thioesterase L1; Ubiquitin thiolesterase; Ubiquitin thiolesterase L1; UCH-L1; UCHL1; UCHL1_HUMAN.  
抗体来源 Rabbit
克隆类型 Polyclonal
克 隆 号
交叉反应 Human,Mouse (predicted: Rat,Rabbit,Pig,Sheep,Cow,Dog,Horse)
产品应用 IHC-P=1:100-500,IHC-F=1:100-500,IF=1:100-500,ICC/IF=1:50-1:200
not yet tested in other applications.
optimal dilutions/concentrations should be determined by the end user.
理论分子量 25 kDa
检测分子量
细胞定位 细胞浆 细胞膜 
性    状 Liquid
浓    度 1mg/ml
免 疫 原 KLH conjugated synthetic peptide derived from human UCHL1: 101-210/223 
亚    型
纯化方法 affinity purified by Protein A
缓 冲 液 0.01M TBS (pH7.4) with 1% BSA, 0.02% Proclin300 and 50% Glycerol.
保存条件 Shipped at 4℃. Store at -20℃ for one year. Avoid repeated freeze/thaw cycles.
注意事项 This product as supplied is intended for research use only, not for use in human, therapeutic or diagnostic applications.
PubMed PubMed
产品介绍 catalyzes the hydrolysis of ubiquitin carboxy-terminal thiolesters to form ubiquitin and a thiol; may play a role in neuropathic pain [RGD].
Found in neuronal cell bodies and processes throughout the neocortex (at protein level). Expressed in neurons and cells of the diffuse neuroendocrine system and their tumors. Weakly expressed in ovary. Down-regulated in brains from Parkinson disease and Alzheimer disease patients.

Function:
Ubiquitin-protein hydrolase involved both in the processing of ubiquitin precursors and of ubiquitinated proteins. This enzyme is a thiol protease that recognizes and hydrolyzes a peptide bond at the C-terminal glycine of ubiquitin. Also binds to free monoubiquitin and may prevent its degradation in lysosomes. The homodimer may have ATP-independent ubiquitin ligase activity.

Subunit:
Monomer. Homodimer. Interacts with SNCA (By similarity). Interacts with COPS5.

Subcellular Location:
Cytoplasm. Endoplasmic reticulum membrane. About 30% of total UCHL1 is associated with membranes in brain.

Tissue Specificity:
Found in neuronal cell bodies and processes throughout the neocortex (at protein level). Expressed in neurons and cells of the diffuse neuroendocrine system and their tumors. Weakly expressed in ovary. Down-regulated in brains from Parkinson disease and Alzheimer disease patients.

Post-translational modifications:
O-glycosylated.

DISEASE:
Defects in UCHL1 are the cause of Parkinson disease type 5 (PARK5) [MIM:613643]; also known as Parkinson disease autosomal dominant 5. PARK5 is a complex neurodegenerative disorder with manifestations ranging from typical Parkinson disease to dementia with Lewy bodies. Clinical features include parkinsonian symptoms (resting tremor, rigidity, postural instability and bradykinesia), dementia, diffuse Lewy body pathology, autonomic dysfunction, hallucinations and paranoia.

Similarity:
Belongs to the peptidase C12 family.

Database links:

Entrez Gene: 7345 Human

Entrez Gene: 22223 Mouse

Entrez Gene: 396637 Pig

Entrez Gene: 29545 Rat

SwissProt: P09936 Human

SwissProt: Q9R0P9 Mouse

SwissProt: Q6SEG5 Pig

SwissProt: Q00981 Rat



该抗原是一种神经特异性蛋白,广泛分布于中枢与外周神经系统的神经元和神经纤维、神经内分泌细胞、肾小管段、睾丸精原细胞、Leydig细胞、卵细胞以及妊娠与非妊娠黄体内的某些细胞。用于标记神经元,对研究几种人慢性神经变性性疾病中广泛存在的细胞包涵体特征较有意义。
产品图片
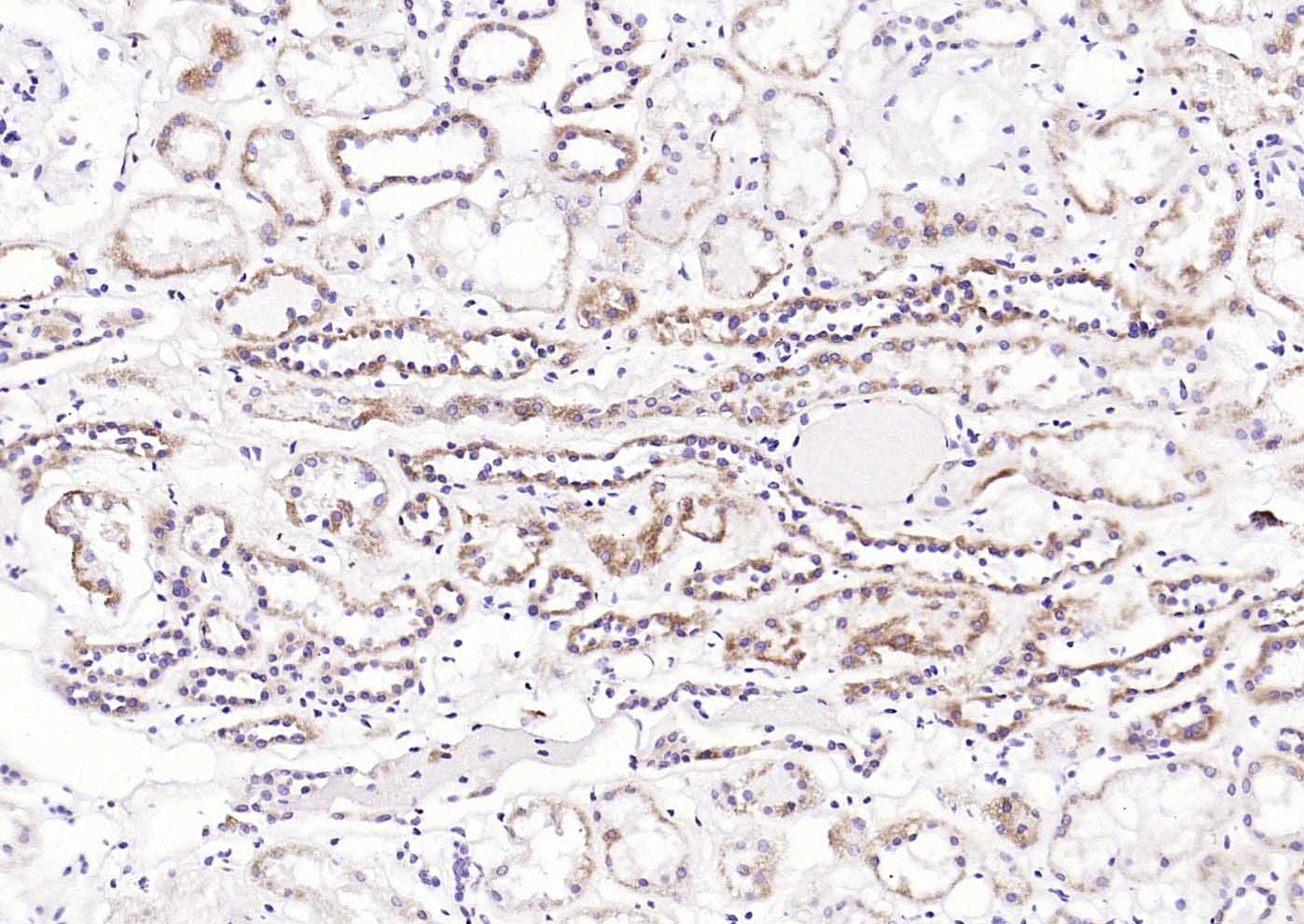
Paraformaldehyde-fixed, paraffin embedded (mouse kidney); Antigen retrieval by boiling in sodium citrate buffer (pH6.0) for 15min; Block endogenous peroxidase by 3% hydrogen peroxide for 20 minutes; Blocking buffer (normal goat serum) at 37°C for 30min; Incubation with (UCHL1+3 ) Polyclonal Antibody, Unconjugated (bs-25699R) at 1:200 overnight at 4°C, followed by operating according to SP Kit(Rabbit) (sp-0023) instructionsand DAB staining.
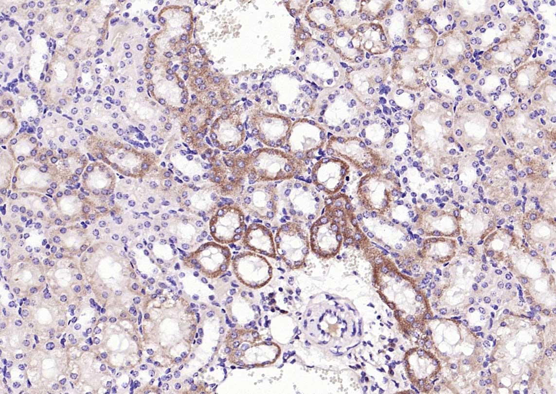
Paraformaldehyde-fixed, paraffin embedded (human kidney); Antigen retrieval by boiling in sodium citrate buffer (pH6.0) for 15min; Block endogenous peroxidase by 3% hydrogen peroxide for 20 minutes; Blocking buffer (normal goat serum) at 37°C for 30min; Incubation with (UCHL1+3 ) Polyclonal Antibody, Unconjugated (bs-25699R) at 1:200 overnight at 4°C, followed by operating according to SP Kit(Rabbit) (sp-0023) instructionsand DAB staining.
4% Paraformaldehyde-fixed SH-SY5Y (H) cell; Triton X-100 at r.t. for 20 min; Antibody incubation with (PGP9.5) polyclonal Antibody, unconjugated (bs-25699R) 1:100, 90 min at 37°C; followed by conjugated Goat Anti-Rabbit IgG antibody (green, bs-40295G-FITC) at 37°C for 90 min, DAPI (blue, C02-04002) was used to stain the cell nuclei. PBS instead of the primary antibody was used as the blank control.
版权所有 2004-2026 www.bioss.com.cn 北京博奥森生物技术有限公司
通过国际质量管理体系ISO 9001:2015 GB/T 19001-2016    证书编号: 00124Q34771R2M/1100
通过国际医疗器械-质量管理体系ISO 13485:2016 GB/T 42061-2022     证书编号: CQC24QY20047R0M/1100
京ICP备05066980号-1         京公网安备110107000727号