扫码关注公众号           扫码咨询技术支持           扫码咨询技术服务
  
客服热线:400-901-9800  客服QQ:4009019800  技术答疑  技术支持  质量反馈  关于我们  联系我们
产品中心-北京博奥森生物技术有限公司
首页 > 产品中心 > 一抗 > 产品信息
PHF2 Rabbit pAb (bs-43571R)  
订购热线:400-901-9800
订购邮箱:sales@bioss.com.cn
订购QQ:  400-901-9800
技术支持:techsupport@bioss.com.cn
50ul/1180.00元
100ul/1980.00元
200ul/2800.00元
大包装/询价

产品编号 bs-43571R
英文名称 PHF2 Rabbit pAb
中文名称 PHF2蛋白抗体
别    名 PHF2_HUMAN; Lysine-specific demethylase PHF2; GRC5; CENP-35; KDM7C; JHDM1E; KIAA0662; EC:1.14.11.-; PHD finger protein 2;  
抗体来源 Rabbit
克隆类型 Polyclonal
克 隆 号
交叉反应 Human,Mouse,Rat (predicted: Rabbit,Pig,Sheep,Cow,Dog,Horse)
产品应用 WB=1:500-2000,IHC-P=1:100-500,IHC-F=1:100-500,IF=1:100-500
not yet tested in other applications.
optimal dilutions/concentrations should be determined by the end user.
理论分子量 121 kDa
检测分子量
细胞定位 细胞核 
性    状 Liquid
浓    度 1mg/ml
免 疫 原 Recombinant human PHF2 protein: 551-762/1096 
亚    型 IgG
纯化方法 affinity purified by Protein A
缓 冲 液 0.01M TBS (pH7.4) with 1% BSA, 0.02% Proclin300 and 50% Glycerol.
保存条件 Shipped at 4℃. Store at -20℃ for one year. Avoid repeated freeze/thaw cycles.
注意事项 This product as supplied is intended for research use only, not for use in human, therapeutic or diagnostic applications.
PubMed PubMed
产品介绍 This gene encodes a protein which contains a zinc finger-like PHD (plant homeodomain) finger, distinct from other classes of zinc finger motifs, and a hydrophobic and highly conserved domain. The PHD finger shows the typical Cys4-His-Cys3 arrangement. PHD finger genes are thought to belong to a diverse group of transcriptional regulators possibly affecting eukaryotic gene expression by influencing chromatin structure. [provided by RefSeq, Jul 2008]

Function:
Lysine demethylase that demethylates both histones and non-histone proteins. Enzymatically inactive by itself, and becomes active following phosphorylation by PKA: forms a complex with ARID5B and mediates demethylation of methylated ARID5B. Demethylation of ARID5B leads to target the PHF2-ARID5B complex to target promoters, where PHF2 mediates demethylation of dimethylated 'Lys-9' of histone H3 (H3K9me2), followed by transcription activation of target genes. The PHF2-ARID5B complex acts as a coactivator of HNF4A in liver. PHF2 is recruited to trimethylated 'Lys-4' of histone H3 (H3K4me3) at rDNA promoters and promotes expression of rDNA.

Subunit:
Component of the PHF2-ARID5B complex, at least composedof PHF2 and ARID5B. Interacts with HNF4A and NR1H4.

Subcellular Location:
Nucleus, nucleolus.

Tissue Specificity:
Widely expressed, including in liver (at protein level).

Post-translational modifications:
Phosphorylated by PKA on specific serine residues, leading to the formation of an active lysine demethylase complex.

Similarity:
Belongs to the JHDM1 histone demethylase family. JHDM1D subfamily. Contains 1 JmjC domain. Contains 1 PHD-type zinc finger.

SWISS:
O75151

Gene ID:
5253

Database links:

Entrez Gene: 5253 Human

Entrez Gene: 18676 Mouse

Entrez Gene: 306814 Rat

SwissProt: O75151 Human

SwissProt: Q9WTU0 Mouse



产品图片
Sample: Lane 1: Recombinant human PHF2 protein, C-His(bs-43571P) Primary: Anti-PHF2 (bs-43571R) at 1/1000 dilution Secondary: IRDye800CW Goat Anti-Rabbit IgG at 1/20000 dilution Predicted band size: 121 kDa Observed band size: 34 kDa
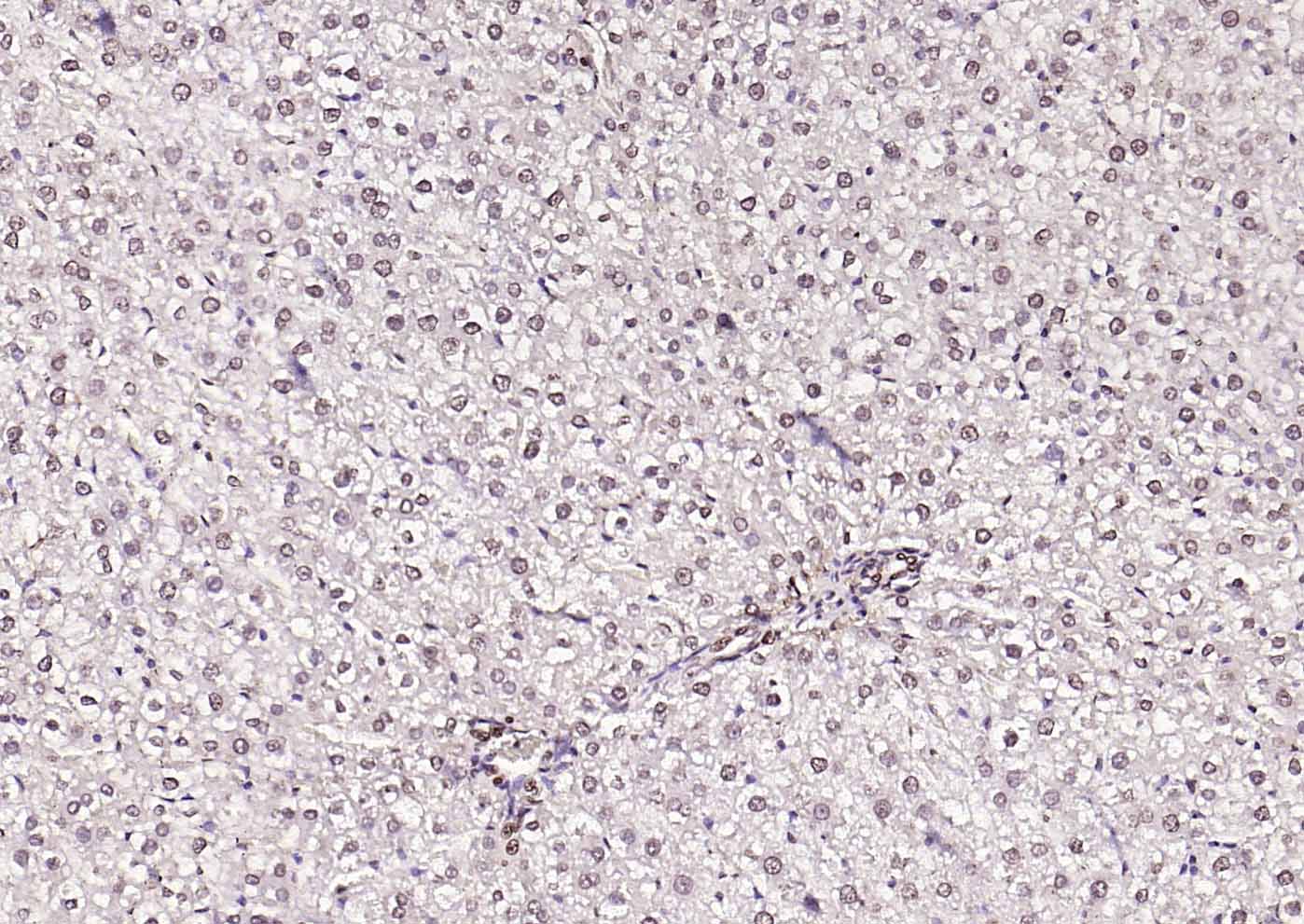
Paraformaldehyde-fixed, paraffin embedded (mouse liver); Antigen retrieval by boiling in sodium citrate buffer (pH6.0) for 15min; Block endogenous peroxidase by 3% hydrogen peroxide for 20 minutes; Blocking buffer (normal goat serum) at 37°C for 30min; Incubation with (PHF2) Polyclonal Antibody, Unconjugated (bs-43571R) at 1:200 overnight at 4°C, followed by operating according to SP Kit(Rabbit) (sp-0023) instructionsand DAB staining.
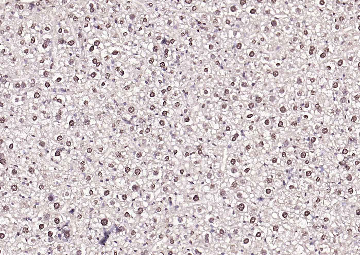
Paraformaldehyde-fixed, paraffin embedded (rat liver); Antigen retrieval by boiling in sodium citrate buffer (pH6.0) for 15min; Block endogenous peroxidase by 3% hydrogen peroxide for 20 minutes; Blocking buffer (normal goat serum) at 37°C for 30min; Incubation with (PHF2) Polyclonal Antibody, Unconjugated (bs-43571R) at 1:200 overnight at 4°C, followed by operating according to SP Kit(Rabbit) (sp-0023) instructionsand DAB staining.
版权所有 2004-2026 www.bioss.com.cn 北京博奥森生物技术有限公司
通过国际质量管理体系ISO 9001:2015 GB/T 19001-2016    证书编号: 00124Q34771R2M/1100
通过国际医疗器械-质量管理体系ISO 13485:2016 GB/T 42061-2022     证书编号: CQC24QY20047R0M/1100
京ICP备05066980号-1         京公网安备110107000727号