扫码关注公众号           扫码咨询技术支持           扫码咨询技术服务
  
客服热线:400-901-9800  客服QQ:4009019800  技术答疑  技术支持  质量反馈  人才招聘  关于我们  联系我们
产品中心-北京博奥森生物技术有限公司
首页 > 产品中心 > 一抗 > 产品信息
CRTC1 Rabbit pAb (bs-25641R)  
订购热线:400-901-9800
订购邮箱:sales@bioss.com.cn
订购QQ:  400-901-9800
技术支持:techsupport@bioss.com.cn
50ul/1180.00元
100ul/1980.00元
200ul/2800.00元
大包装/询价

产品编号 bs-25641R
英文名称 CRTC1 Rabbit pAb
中文名称 环腺苷酸应答元件结合蛋白转录共激活因子TORC1抗体
别    名 MAML2; MECT1; Mam-2; TORC-1; TORC1; WAMTP1; mKIAA0616; CRTC1_HUMAN; CRTC1; Mucoepidermoid carcinoma translocated protein 1; Transducer of regulated cAMP response element-binding protein 1 (TORC-1 | Transducer of CREB protein 1); KIAA0616; CRTC1_MOUSE; Mucoepidermoid carcinoma translocated protein 1 homolog; CRTC1_RAT;   
抗体来源 Rabbit
克隆类型 Polyclonal
克 隆 号
交叉反应 Human,Mouse,Rat (predicted: Pig,Cow,Dog,Horse)
产品应用 WB=1:500-2000,IHC-P=1:100-500,IHC-F=1:100-500,IF=1:100-500
not yet tested in other applications.
optimal dilutions/concentrations should be determined by the end user.
理论分子量 67 kDa
检测分子量 78
细胞定位 细胞核 细胞浆 
性    状 Liquid
浓    度 1mg/ml
免 疫 原 KLH conjugated synthetic peptide derived from mouse CRTC1: 401-500/630 
亚    型 IgG
纯化方法 affinity purified by Protein A
缓 冲 液 0.01M TBS (pH7.4) with 1% BSA, 0.02% Proclin300 and 50% Glycerol.
保存条件 Shipped at 4℃. Store at -20℃ for one year. Avoid repeated freeze/thaw cycles.
注意事项 This product as supplied is intended for research use only, not for use in human, therapeutic or diagnostic applications.
PubMed PubMed
产品介绍 which activates transcription through both consensus and variant cAMP response element (CRE) sites. MECT1 does not appear to modulate CREB1 DNA-binding activity but enhances the interaction of CREB1 with TAF4/TAFII-130. MECT1 translocates with MAML2 (MasterMind-Like Protein 2) to yield a fusion oncogene: t(11;19) (q21;p13). This translocation occurs in mucoepidermoid carcinomas, benign Warthin tumors and clear cell hidradenomas. The novel fusion product that results disrupts the Notch signaling pathway. The fusion protein consists of the N-terminus of MECT1 joined to the C-terminus of MAML2. The reciprocal fusion protein consisting of the N-terminus of MAML2 joined to the C-terminus of MECT1 has been detected in a small number of mucoepidermoid carcinomas. Multiple isoforms have been reported for the MECT1 protein.

Function:
Transcriptional coactivator for CREB1 which activates transcription through both consensus and variant cAMP response element (CRE) sites. Acts as a coactivator, in the SIK/TORC signaling pathway, being active when dephosphorylated and acts independently of CREB1 'Ser-133' phosphorylation. Enhances the interaction of CREB1 with TAF4. Regulates the expression of specific CREB-activated genes such as the steroidogenic gene, StAR. Potent coactivator of PGC1alpha and inducer of mitochondrial biogenesis in muscle cells. Also coactivator for TAX activation of the human T-cell leukemia virus type 1 (HTLV-1) long terminal repeats (LTR). In the hippocampus, involved in late-phase long-term potentiation (L-LTP) maintenance at the Schaffer collateral-CA1 synapses. May be required for dendritic growth of developing cortical neurons (By similarity).

Subunit:
Binds, as a tetramer, through its N-terminal region, with the bZIP domain of CREB1. 'Arg-314' in the bZIP domain of CREB1 is essential for this interaction. Interaction, via its C-terminal, with TAF4, enhances recruitment of TAF4 to CREB1. Binds HTLV1 Tax.

Subcellular Location:
Cytoplasm. Nucleus. Note=Cytoplasmic when phosphorylated by SIK or AMPK and when sequestered by 14-3-3 proteins (By similarity). Translocated to the nucleus on Ser-151 dephosphorylation, instigated by a number of factors including calcium ion and cAMP levels.

Tissue Specificity:
Highly expressed in adult and fetal brain. Located to specific regions such as the prefrontal cortex and cerebellum. Very low expression in other tissues such as heart, spleen, lung, skeletal muscle, salivary gland, ovary and kidney.

Post-translational modifications:
Phosphorylation/dephosphorylation states of Ser-151 are required for regulating transduction of CREB activity. TORCs are inactive when phosphorylated, and active when dephosphorylated at this site. This primary site of phosphorylation is mediated by SIKs (SIK1 and SIK2), is regulated by cAMP and calcium levels and is dependent on the phosphorylation of SIKs by LKB1 (By similarity). Phosphorylated upon DNA damage, probably by ATM or ATR

DISEASE:
Note=A chromosomal aberration involving CRTC1 is found in mucoepidermoid carcinomas, benign Warthin tumors and clear cell hidradenomas. Translocation t(11;19)(q21;p13) with MAML2. The fusion protein consists of the N-terminus of CRTC1 joined to the C-terminus of MAML2. The reciprocal fusion protein consisting of the N-terminus of MAML2 joined to the C-terminus of CRTC1 has been detected in a small number of mucoepidermoid carcinomas.

Similarity:
Belongs to the TORC family.

SWISS:
Q68ED7

Gene ID:
382056

Database links:

Entrez Gene: 23373?/span>Human

Entrez Gene: 382056?/span>Mouse

Entrez Gene: 684527?/span>Rat

Omim: 607536?/span>Human

SwissProt: Q6UUV9?/span>Human

SwissProt: Q68ED7?/span>Mouse

SwissProt: Q157S1?/span>Rat

Unigene: 371096?/span>Human

Unigene: 428214?/span>Human

Unigene: 227767?/span>Mouse

Unigene: 208248?/span>Rat



产品图片
25 ug total protein per lane of various lysates (see on figure) probed with CRTC1 polyclonal antibody, unconjugated (bs-25641R) at 1:1000 dilution and 4°C overnight incubation. Followed by conjugated secondary antibody incubation at r.t. for 60 min.
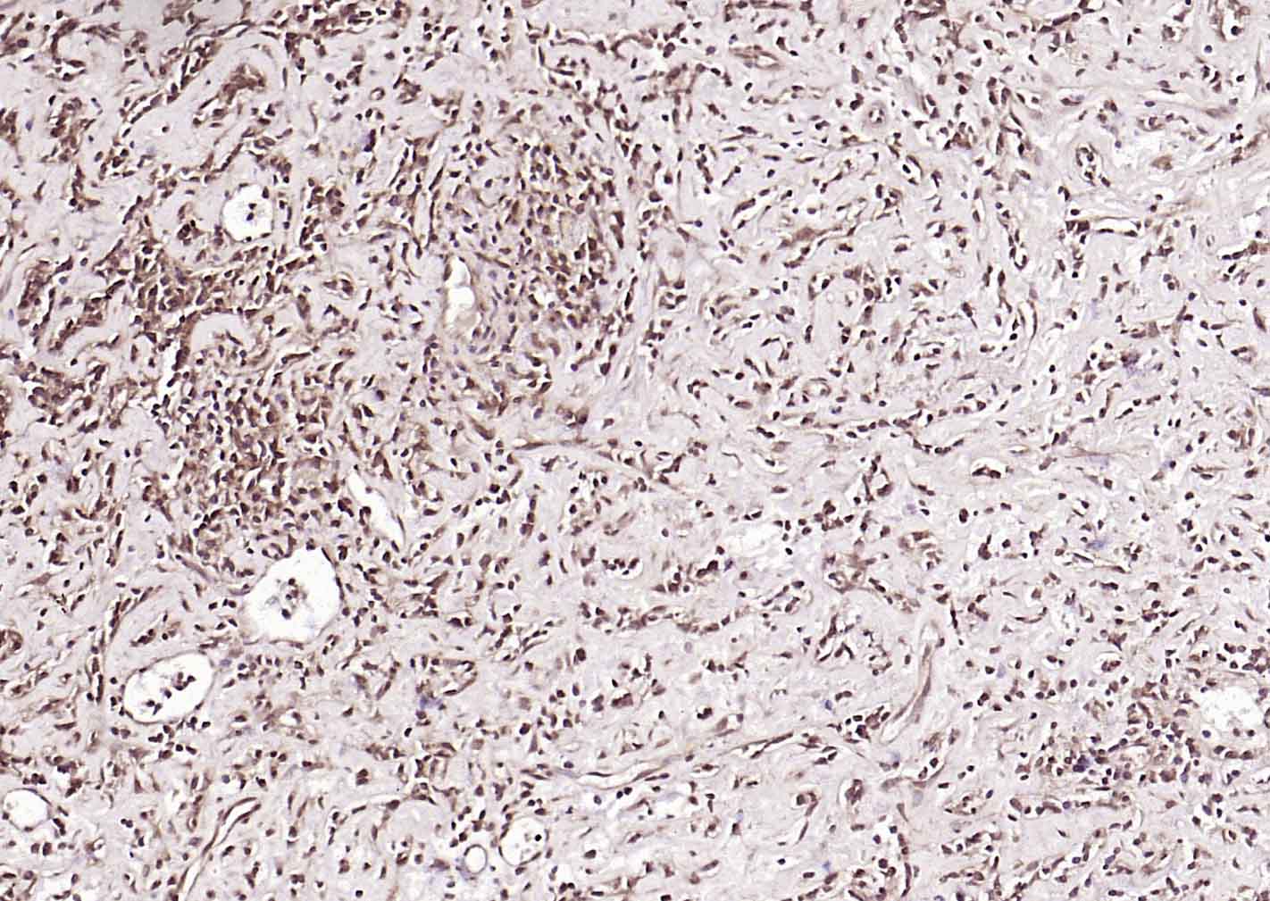
Paraformaldehyde-fixed, paraffin embedded (Human ovarian cancer); Antigen retrieval by boiling in sodium citrate buffer (pH6.0) for 15min; Block endogenous peroxidase by 3% hydrogen peroxide for 20 minutes; Blocking buffer (normal goat serum) at 37°C for 30min; Incubation with (CRTC1 ) Polyclonal Antibody, Unconjugated (bs-25641R) at 1:200 overnight at 4°C, followed by operating according to SP Kit(Rabbit) (sp-0023) instructionsand DAB staining.
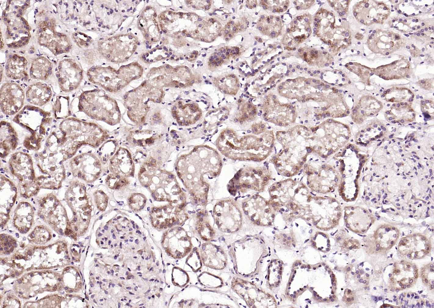
Paraformaldehyde-fixed, paraffin embedded (human kidney); Antigen retrieval by boiling in sodium citrate buffer (pH6.0) for 15min; Block endogenous peroxidase by 3% hydrogen peroxide for 20 minutes; Blocking buffer (normal goat serum) at 37°C for 30min; Incubation with (CRTC1 ) Polyclonal Antibody, Unconjugated (bs-25641R) at 1:200 overnight at 4°C, followed by operating according to SP Kit(Rabbit) (sp-0023) instructionsand DAB staining.
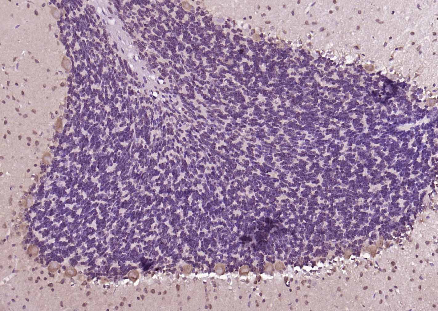
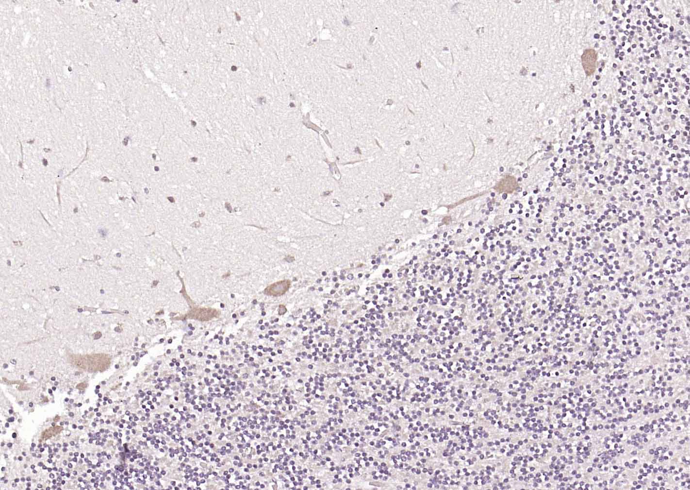
Paraformaldehyde-fixed, paraffin embedded (rat cerebellum); Antigen retrieval by boiling in sodium citrate buffer (pH6.0) for 15min; Block endogenous peroxidase by 3% hydrogen peroxide for 20 minutes; Blocking buffer (normal goat serum) at 37°C for 30min; Incubation with (CRTC1 ) Polyclonal Antibody, Unconjugated (bs-25641R) at 1:200 overnight at 4°C, followed by operating according to SP Kit(Rabbit) (sp-0023) instructionsand DAB staining.
Paraformaldehyde-fixed, paraffin embedded (human cerebellum); Antigen retrieval by boiling in sodium citrate buffer (pH6.0) for 15min; Block endogenous peroxidase by 3% hydrogen peroxide for 20 minutes; Blocking buffer (normal goat serum) at 37°C for 30min; Incubation with (CRTC1 ) Polyclonal Antibody, Unconjugated (bs-25641R) at 1:200 overnight at 4°C, followed by operating according to SP Kit(Rabbit) (sp-0023) instructionsand DAB staining.
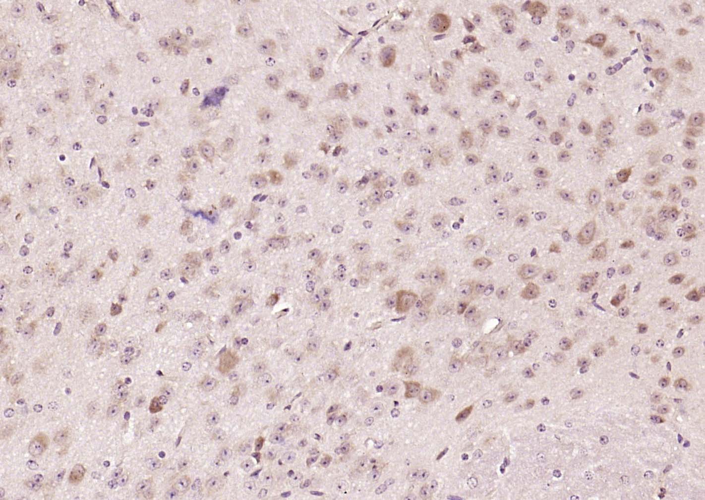
Paraformaldehyde-fixed, paraffin embedded (human brain); Antigen retrieval by boiling in sodium citrate buffer (pH6.0) for 15min; Block endogenous peroxidase by 3% hydrogen peroxide for 20 minutes; Blocking buffer (normal goat serum) at 37°C for 30min; Incubation with (CRTC1 ) Polyclonal Antibody, Unconjugated (bs-25641R) at 1:200 overnight at 4°C, followed by operating according to SP Kit(Rabbit) (sp-0023) instructionsand DAB staining.
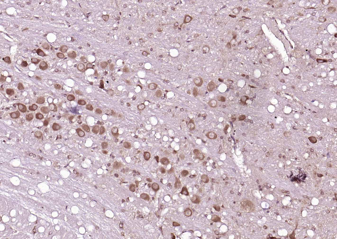
Paraformaldehyde-fixed, paraffin embedded (rat brain); Antigen retrieval by boiling in sodium citrate buffer (pH6.0) for 15min; Block endogenous peroxidase by 3% hydrogen peroxide for 20 minutes; Blocking buffer (normal goat serum) at 37°C for 30min; Incubation with (CRTC1 ) Polyclonal Antibody, Unconjugated (bs-25641R) at 1:200 overnight at 4°C, followed by operating according to SP Kit(Rabbit) (sp-0023) instructionsand DAB staining.
Paraformaldehyde-fixed, paraffin embedded (Mouse brain); Antigen retrieval by boiling in sodium citrate buffer (pH6.0) for 15min; Block endogenous peroxidase by 3% hydrogen peroxide for 20 minutes; Blocking buffer (normal goat serum) at 37°C for 30min; Incubation with (CRTC1 ) Polyclonal Antibody, Unconjugated (bs-25641R) at 1:200 overnight at 4°C, followed by operating according to SP Kit(Rabbit) (sp-0023) instructionsand DAB staining.
版权所有 2004-2026 www.bioss.com.cn 北京博奥森生物技术有限公司
通过国际质量管理体系ISO 9001:2015 GB/T 19001-2016    证书编号: 00124Q34771R2M/1100
通过国际医疗器械-质量管理体系ISO 13485:2016 GB/T 42061-2022     证书编号: CQC24QY20047R0M/1100
京ICP备05066980号-1         京公网安备110107000727号