扫码关注公众号           扫码咨询技术支持           扫码咨询技术服务
  
客服热线:400-901-9800  客服QQ:4009019800  技术答疑  技术支持  质量反馈  关于我们  联系我们
产品中心-北京博奥森生物技术有限公司
首页 > 产品中心 > 一抗 > 产品信息
UHRF1 Rabbit pAb (bs-25668R)  
订购热线:400-901-9800
订购邮箱:sales@bioss.com.cn
订购QQ:  400-901-9800
技术支持:techsupport@bioss.com.cn
50ul/1180.00元
100ul/1980.00元
200ul/2800.00元
大包装/询价

产品编号 bs-25668R
英文名称 UHRF1 Rabbit pAb
中文名称 核蛋白95抗体
别    名 UHRF1_HUMAN; E3 ubiquitin-protein ligase UHRF1; ICBP90; NP95; RNF106; TDRD22; hUHRF1; huNp95; EC:2.3.2.27; Inverted CCAAT box-binding protein of 90 kDa; Nuclear protein 95; Nuclear zinc finger protein Np95(HuNp95; hNp95); RING finger protein 106; RING-type E3 ubiquitin transferase UHRF1; ubiquitin like with PHD and ring finger domains 1;  
抗体来源 Rabbit
克隆类型 Polyclonal
克 隆 号
交叉反应 Mouse (predicted: Human,Rat,Dog)
产品应用 IHC-P=1:100-500,IHC-F=1:100-500,IF=1:100-500
not yet tested in other applications.
optimal dilutions/concentrations should be determined by the end user.
理论分子量 90 kDa
检测分子量
细胞定位 细胞核 
性    状 Liquid
浓    度 1mg/ml
免 疫 原 KLH conjugated synthetic peptide derived from human UHRF1: 21-120/793 
亚    型 IgG
纯化方法 affinity purified by Protein A
缓 冲 液 0.01M TBS (pH7.4) with 1% BSA, 0.02% Proclin300 and 50% Glycerol.
保存条件 Shipped at 4℃. Store at -20℃ for one year. Avoid repeated freeze/thaw cycles.
注意事项 This product as supplied is intended for research use only, not for use in human, therapeutic or diagnostic applications.
PubMed PubMed
产品介绍 This gene encodes a member of a subfamily of RING-finger type E3 ubiquitin ligases. The protein binds to specific DNA sequences, and recruits a histone deacetylase to regulate gene expression. Its expression peaks at late G1 phase and continues during G2 and M phases of the cell cycle. It plays a major role in the G1/S transition by regulating topoisomerase IIalpha and retinoblastoma gene expression, and functions in the p53-dependent DNA damage checkpoint. It is regarded as a hub protein for the integration of epigenetic information. This gene is up-regulated in various cancers, and it is therefore considered to be a therapeutic target. Multiple transcript variants encoding different isoforms have been found for this gene. A related pseudogene exists on chromosome 12. [provided by RefSeq, Feb 2014]

Function:
Putative E3 ubiquitin-protein ligase. May participate in methylation-dependent transcriptional regulation. Binds to inverted 5'-CCAAT-3' box 2 in the TOP2A promoter, and activates TOP2A expression. Important for G1/S transition. May be involved in DNA repair and chromosomal stability.

Subunit:
Interacts with histones H3, H1 and H2B (By similarity). Interacts with HDAC1, but not with HDAC2. Interacts with UHRF1BP1. Binds methylated CpG containing oligonucleotides.

Subcellular Location:
Nucleus.

Tissue Specificity:
Expressed in thymus, bone marrow, testis, lung and heart. Overexpressed in breast cancer.

Post-translational modifications:
Phosphorylated on serine residues. Phosphorylation may enhance DNA-binding activity. Ubiquitinated; which leads to proteasomal degradation. Polyubiquitination may be stimulated by DNA damage.

Similarity:
Contains 1 PHD-type zinc finger. Contains 2 RING-type zinc fingers. Contains 1 ubiquitin-like domain. Contains 1 YDG domain.

Gene ID:
29128

UHRF1是一种核蛋白,通过DNA解螺旋酶而识别甲基化位点,UHRF1与一些组蛋白的结合事件对于维持正确的表观遗传学控制具有非常重要的意义。
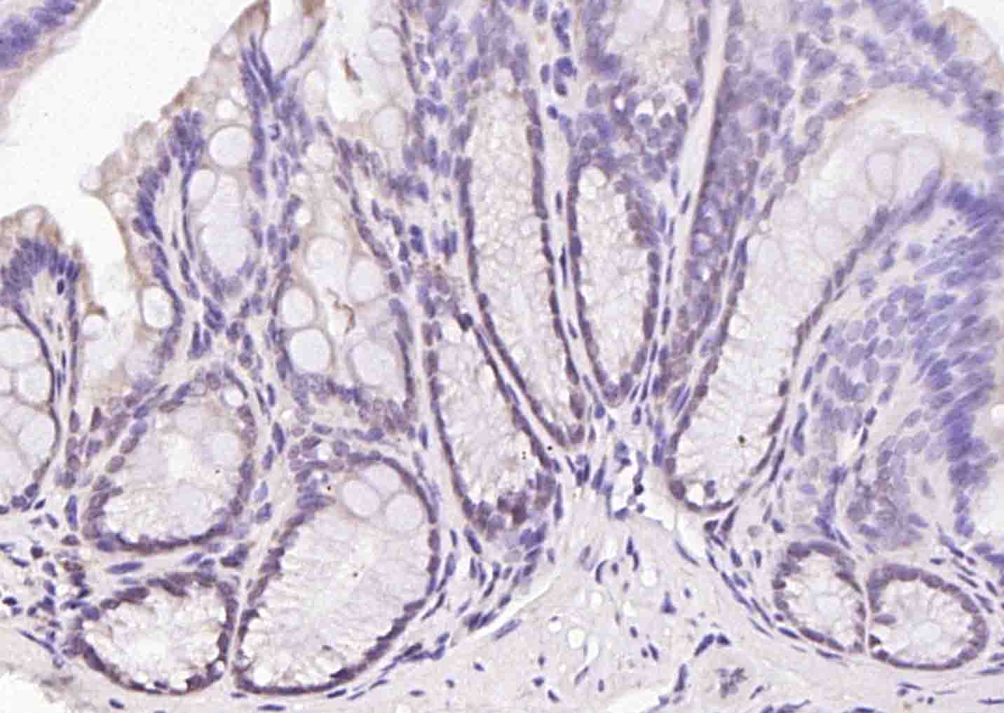
产品图片
Paraformaldehyde-fixed, paraffin embedded (mouse colon); Antigen retrieval by boiling in sodium citrate buffer (pH6.0) for 15min; Block endogenous peroxidase by 3% hydrogen peroxide for 20 minutes; Blocking buffer (normal goat serum) at 37°C for 30min; Incubation with (UHRF1) Polyclonal Antibody, Unconjugated (bs-25668R) at 1:200 overnight at 4°C, followed by operating according to SP Kit(Rabbit) (sp-0023) instructionsand DAB staining.
版权所有 2004-2026 www.bioss.com.cn 北京博奥森生物技术有限公司
通过国际质量管理体系ISO 9001:2015 GB/T 19001-2016    证书编号: 00124Q34771R2M/1100
通过国际医疗器械-质量管理体系ISO 13485:2016 GB/T 42061-2022     证书编号: CQC24QY20047R0M/1100
京ICP备05066980号-1         京公网安备110107000727号