扫码关注公众号           扫码咨询技术支持           扫码咨询技术服务
  
客服热线:400-901-9800  客服QQ:4009019800  技术答疑  技术支持  质量反馈  人才招聘  关于我们  联系我们
产品中心-北京博奥森生物技术有限公司
首页 > 产品中心 > 一抗 > 产品信息
Cytokeratin 14 Mouse mAb (bsm-34152M)  
订购热线:400-901-9800
订购邮箱:sales@bioss.com.cn
订购QQ:  400-901-9800
技术支持:techsupport@bioss.com.cn
50ul/1180.00元
100ul/1980.00元
大包装/询价

产品编号 bsm-34152M
英文名称 Cytokeratin 14 Mouse mAb
中文名称 细胞角蛋白14t单克隆抗体
别    名 CK14; EBS1; EBS1A; EBS1B; EBS1C; EBS1D; EBS3; EBS4; K14; NFJ; CK-14; Krt-1.14; Krt1-14; K1C14_HUMAN; KRT14; Cytokeratin-14 (CK-14); Keratin-14 (K14); K1C14_MOUSE;   
抗体来源 Mouse
克隆类型 Monoclonal
克 隆 号 5H13
交叉反应 Human,Mouse,Rat
产品应用 IHC-P=1:100-200,IHC-F=1:100-200,IF=1:100-200
not yet tested in other applications.
optimal dilutions/concentrations should be determined by the end user.
理论分子量 52 kDa
细胞定位 细胞核 细胞浆 
性    状 Liquid
浓    度 1mg/ml
免 疫 原 KLH conjugated synthetic peptide derived from human CK14 
亚    型
纯化方法 affinity purified by Protein A
缓 冲 液 Liquid in PBS containing 50% Glycerol, 0.5% BSA and 0.02% Proclin300.
保存条件 Shipped at 4℃. Store at -20℃ for one year. Avoid repeated freeze/thaw cycles.
注意事项 This product as supplied is intended for research use only, not for use in human, therapeutic or diagnostic applications.
PubMed PubMed
产品介绍 This gene encodes a member of the keratin family, the most diverse group of intermediate filaments. This gene product, a type I keratin, is usually found as a heterotetramer with two keratin 5 molecules, a type II keratin. Together they form the cytoskeleton of epithelial cells. Mutations in the genes for these keratins are associated with epidermolysis bullosa simplex. At least one pseudogene has been identified at 17p12-p11. [provided by RefSeq].

Function:
The nonhelical tail domain is involved in promoting KRT5-KRT14 filaments to self-organize into large bundles and enhances the mechanical properties involved in resilience of keratin intermediate filaments in vitro.

Subunit:
Heterotetramer of two type I and two type II keratins. keratin-14 associates with keratin-5. Interacts with TRADD and with keratin filaments. Associates with other type I keratins.

Subcellular Location:
Cytoplasm. Nucleus. Note=Expressed in both as a filamentous pattern.

Tissue Specificity:
Detected in the basal layer, lowered within the more apically located layers specifically in the stratum spinosum, stratum granulosum but is not detected in stratum corneum. Strongly expressed in the outer root sheath of anagen follicles but not in the germinative matrix, inner root sheath or hair. Found in keratinocytes surrounding the club hair during telogen.

Post-translational modifications:
A disulfide bond is formed between rather than within filaments and promotes the formation of a keratin filament cage around the nucleus.

DISEASE:
Epidermolysis bullosa simplex, Dowling-Meara type (DM-EBS) [MIM:131760]: A severe form of intraepidermal epidermolysis bullosa characterized by generalized herpetiform blistering, milia formation, dystrophic nails, and mucous membrane involvement. Note=The disease is caused by mutations affecting the gene represented in this entry. Epidermolysis bullosa simplex, Weber-Cockayne type (WC-EBS) [MIM:131800]: A form of intraepidermal epidermolysis bullosa characterized by blistering limited to palmar and plantar areas of the skin. Note=The disease is caused by mutations affecting the gene represented in this entry. Epidermolysis bullosa simplex, Koebner type (K-EBS) [MIM:131900]: A form of intraepidermal epidermolysis bullosa characterized by generalized skin blistering. The phenotype is not fundamentally distinct from the Dowling-Meara type, although it is less severe. Note=The disease is caused by mutations affecting the gene represented in this entry. Epidermolysis bullosa simplex, autosomal recessive (AREBS) [MIM:601001]: An intraepidermal epidermolysis bullosa characterized by localized blistering on the dorsal, lateral and plantar surfaces of the feet. Note=The disease is caused by mutations affecting the gene represented in this entry. Naegeli-Franceschetti-Jadassohn syndrome (NFJS) [MIM:161000]: A rare autosomal dominant form of ectodermal dysplasia. The cardinal features are absence of dermatoglyphics (fingerprints), reticular cutaneous hyperpigmentation (starting at about the age of 2 years without a preceding inflammatory stage), palmoplantar keratoderma, hypohidrosis with diminished sweat gland function and discomfort provoked by heat, nail dystrophy, and tooth enamel defects. Note=The disease is caused by mutations affecting the gene represented in this entry. Dermatopathia pigmentosa reticularis (DPR) [MIM:125595]: A rare ectodermal dysplasia characterized by lifelong persistent reticulate hyperpigmentation, non-cicatricial alopecia, and nail dystrophy. Variable features include adermatoglyphia, hypohidrosis or hyperhidrosis, and palmoplantar hyperkeratosis. Note=The disease is caused by mutations affecting the gene represented in this entry.

Similarity:
Belongs to the intermediate filament family.

SWISS:
P02533

Gene ID:
3861

Database links:

Entrez Gene: 3861 Human

Entrez Gene: 16664 Mouse

Omim: 148066 Human

SwissProt: P02533 Human

SwissProt: Q61781 Mouse

Unigene: 654380 Human

Unigene: 439898 Mouse



CK14属于酸性角蛋白。在乳腺腺体和导管肌上皮细胞、唾液腺腺泡和导管的肌上皮细胞以及鳞状上皮的基底细胞中阳性表达。大多数鳞状细胞癌表达阳性,并且阳性表达的频率与其分化程度无明显关系。主要用于鳞状细胞癌的判断,尤其用于低分化鳞癌判断中。
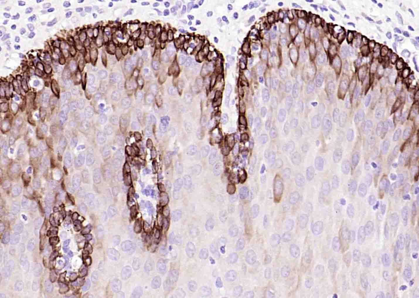
产品图片
Paraformaldehyde-fixed, paraffin embedded (Human esophageal); Antigen retrieval by boiling in sodium citrate buffer (pH6.0) for 15min; Block endogenous peroxidase by 3% hydrogen peroxide for 20 minutes; Blocking buffer (normal goat serum) at 37°C for 30min; Incubation with (Cytokeratin 14) Monoclonal Antibody, Unconjugated (bsm-34152M) at 1:100 overnight at 4°C, followed by operating according to SP Kit(Mouse)(sp-0024) instructionsand DAB staining.
Paraformaldehyde-fixed, paraffin embedded (human tonsil ); Antigen retrieval by boiling in sodium citrate buffer (pH6.0) for 15min; Block endogenous peroxidase by 3% hydrogen peroxide for 20 minutes; Blocking buffer (normal goat serum) at 37°C for 30min; Incubation with (Cytokeratin 14) Monoclonal Antibody, Unconjugated (bsm-34152M) at 1:100 overnight at 4°C, followed by operating according to SP Kit(Mouse)(sp-0024) instructionsand DAB staining.
Paraformaldehyde-fixed, paraffin embedded (Human esophageal cancer); Antigen retrieval by boiling in sodium citrate buffer (pH6.0) for 15min; Block endogenous peroxidase by 3% hydrogen peroxide for 20 minutes; Blocking buffer (normal goat serum) at 37°C for 30min; Incubation with (Cytokeratin 14) Monoclonal Antibody, Unconjugated (bsm-34152M) at 1:100 overnight at 4°C, followed by operating according to SP Kit(Mouse)(sp-0024) instructionsand DAB staining.
Paraformaldehyde-fixed, paraffin embedded (Mouse esophageal); Antigen retrieval by boiling in sodium citrate buffer (pH6.0) for 15min; Block endogenous peroxidase by 3% hydrogen peroxide for 20 minutes; Blocking buffer (normal goat serum) at 37°C for 30min; Incubation with (Cytokeratin 14) Monoclonal Antibody, Unconjugated (bsm-34152M) at 1:100 overnight at 4°C, followed by operating according to SP Kit(Mouse)(sp-0024) instructionsand DAB staining.
Paraformaldehyde-fixed, paraffin embedded (Human prostate); Antigen retrieval by boiling in sodium citrate buffer (pH6.0) for 15min; Block endogenous peroxidase by 3% hydrogen peroxide for 20 minutes; Blocking buffer (normal goat serum) at 37°C for 30min; Incubation with (Cytokeratin 14) Monoclonal Antibody, Unconjugated (bsm-34152M) at 1:100 overnight at 4°C, followed by operating according to SP Kit(Mouse)(sp-0024) instructionsand DAB staining.
Paraformaldehyde-fixed, paraffin embedded (mouse skin ); Antigen retrieval by boiling in sodium citrate buffer (pH6.0) for 15min; Block endogenous peroxidase by 3% hydrogen peroxide for 20 minutes; Blocking buffer (normal goat serum) at 37°C for 30min; Incubation with (Cytokeratin 14) Monoclonal Antibody, Unconjugated (bsm-34152M) at 1:100 overnight at 4°C, followed by operating according to SP Kit(Mouse)(sp-0024) instructionsand DAB staining.
Paraformaldehyde-fixed, paraffin embedded (rat skin ); Antigen retrieval by boiling in sodium citrate buffer (pH6.0) for 15min; Block endogenous peroxidase by 3% hydrogen peroxide for 20 minutes; Blocking buffer (normal goat serum) at 37°C for 30min; Incubation with (Cytokeratin 14) Monoclonal Antibody, Unconjugated (bsm-34152M) at 1:100 overnight at 4°C, followed by operating according to SP Kit(Mouse)(sp-0024) instructionsand DAB staining.
版权所有 2004-2026 www.bioss.com.cn 北京博奥森生物技术有限公司
通过国际质量管理体系ISO 9001:2015 GB/T 19001-2016    证书编号: 00124Q34771R2M/1100
通过国际医疗器械-质量管理体系ISO 13485:2016 GB/T 42061-2022     证书编号: CQC24QY20047R0M/1100
京ICP备05066980号-1         京公网安备110107000727号