扫码关注公众号           扫码咨询技术支持           扫码咨询技术服务
  
客服热线:400-901-9800  客服QQ:4009019800  技术答疑  技术支持  质量反馈  人才招聘  关于我们  联系我们
产品中心-北京博奥森生物技术有限公司
首页 > 产品中心 > 一抗 > 产品信息
Cytokeratin 20 Mouse mAb (bsm-34154M)  
订购热线:400-901-9800
订购邮箱:sales@bioss.com.cn
订购QQ:  400-901-9800
技术支持:techsupport@bioss.com.cn
50ul/1180.00元
100ul/1980.00元
大包装/询价

产品编号 bsm-34154M
英文名称 Cytokeratin 20 Mouse mAb
中文名称 细胞角蛋白20抗体
别    名 CD20; CK-20; CK20; K20; KRT21; 9030623C06Rik; K1C20_HUMAN; KRT20; Cytokeratin-20 (CK-20); Keratin-20 (K20); Protein IT; K1C20_MOUSE; K1C20_RAT; Cytokeratin-21 (CK-21);   
抗体来源 Mouse
克隆类型 Monoclonal
克 隆 号 18F9
交叉反应 Human,Mouse,Rat
产品应用 IHC-P=1:100-500,IHC-F=1:100-500,IF=1:100-500
not yet tested in other applications.
optimal dilutions/concentrations should be determined by the end user.
理论分子量 48 kDa
细胞定位 细胞浆 
性    状 Liquid
浓    度 1mg/ml
免 疫 原 KLH conjugated synthetic peptide derived from human CK20 
亚    型 IgG2b,k
纯化方法 affinity purified by Protein A
缓 冲 液 Liquid in PBS containing 50% Glycerol, 0.5% BSA and 0.02% Proclin300.
保存条件 Shipped at 4℃. Store at -20℃ for one year. Avoid repeated freeze/thaw cycles.
注意事项 This product as supplied is intended for research use only, not for use in human, therapeutic or diagnostic applications.
PubMed PubMed
产品介绍 Cytokeratin 20 is a type I keratin which is primarily expressed in gastric and intestinal epithelium, urothelium, and Merkel-cells. The keratins are intermediate filament proteins responsible for the structural integrity of epithelial cells and are subdivided into cytokeratins and hair keratins. The type I cytokeratins consist of acidic proteins which are arranged in pairs of heterotypic keratin chains. Their genes are clustered in a region of chromosome 17q12-q21. Cytokeratin 20 is a major cellular protein of mature enterocytes and goblet cells and is specifically expressed in the gastric and intestinal mucosa. It is also expressed in adenocarcinomas of the colon, stomach, pancreas and the bile system and is present in mucinous ovarian tumors, transitional-cell and Merkel-cell carcinomas. Notably, the squamous cell carcinomas and adenocarcinomas of the breast, lung, and endometrium, non-mucinous tumors of the ovary, and small cell carcinomas lack cytokeratin 20.

Function:
Plays a significant role in maintaining keratin filament organization in intestinal epithelia. When phosphorylated, plays a role in the secretion of mucin in the small intestine (By similarity).

Subunit:
Heterotetramer of two type I and two type II keratins. Associates with KRT8.

Subcellular Location:
Cytoplasm.

Tissue Specificity:
Expressed predominantly in the intestinal epithelium. Expressed in luminal cells of colonic mucosa. Also expressed in the Merkel cells of keratinized oral mucosa; specifically at the tips of some rete ridges of the gingival mucosa, in the basal layer of the palatal mucosa and in the taste buds of lingual mucosa.

Post-translational modifications:
Hyperphosphorylation at Ser-13 occurs during the early stages of apoptosis but becomes less prominent during the later stages. Phosphorylation at Ser-13 also increases in response to stress brought on by cell injury (By similarity). Proteolytically cleaved by caspases during apoptosis. Cleavage occurs at Asp-228.

Similarity:
Belongs to the intermediate filament family.

SWISS:
P35900

Gene ID:
54474

Database links:

Entrez Gene: 54474 Human

Entrez Gene: 66809 Mouse

Entrez Gene: 286912 Rat

Omim: 608218 Human

SwissProt: P35900 Human

SwissProt: Q9D312 Mouse

SwissProt: P25030 Rat

Unigene: 84905 Human

Unigene: 28042 Mouse

Unigene: 9887 Rat



结构蛋白(Structural Proteins)
CK-20细胞角蛋白-20主要用于肿瘤方面的研究,近年来大多用于消化系统恶性肿瘤的鉴别,主要在胞浆。
产品图片
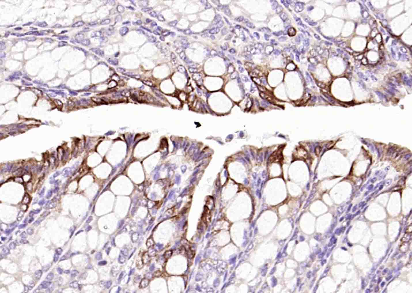
Paraformaldehyde-fixed, paraffin embedded (human rectal carcinoma); Antigen retrieval by boiling in sodium citrate buffer (pH6.0) for 15min; Block endogenous peroxidase by 3% hydrogen peroxide for 20 minutes; Blocking buffer (normal goat serum) at 37°C for 30min; Incubation with (Cytokeratin 20 ) Monoclonal Antibody, Unconjugated (bsm-34154M) at 1:100 overnight at 4°C, followed by operating according to SP Kit(Mouse)(sp-0024) instructionsand DAB staining.
Paraformaldehyde-fixed, paraffin embedded (Mouse small intestine); Antigen retrieval by boiling in sodium citrate buffer (pH6.0) for 15min; Block endogenous peroxidase by 3% hydrogen peroxide for 20 minutes; Blocking buffer (normal goat serum) at 37°C for 30min; Incubation with (Cytokeratin 20 ) Monoclonal Antibody, Unconjugated (bsm-34154M) at 1:100 overnight at 4°C, followed by operating according to SP Kit(Mouse)(sp-0024) instructionsand DAB staining.
Paraformaldehyde-fixed, paraffin embedded (human colon); Antigen retrieval by boiling in sodium citrate buffer (pH6.0) for 15min; Block endogenous peroxidase by 3% hydrogen peroxide for 20 minutes; Blocking buffer (normal goat serum) at 37°C for 30min; Incubation with (Cytokeratin 20 ) Monoclonal Antibody, Unconjugated (bsm-34154M) at 1:100 overnight at 4°C, followed by operating according to SP Kit(Mouse)(sp-0024) instructionsand DAB staining.
Paraformaldehyde-fixed, paraffin embedded (rat colon); Antigen retrieval by boiling in sodium citrate buffer (pH6.0) for 15min; Block endogenous peroxidase by 3% hydrogen peroxide for 20 minutes; Blocking buffer (normal goat serum) at 37°C for 30min; Incubation with (Cytokeratin 20 ) Monoclonal Antibody, Unconjugated (bsm-34154M) at 1:100 overnight at 4°C, followed by operating according to SP Kit(Mouse)(sp-0024) instructionsand DAB staining.
Paraformaldehyde-fixed, paraffin embedded (mouse colon ); Antigen retrieval by boiling in sodium citrate buffer (pH6.0) for 15min; Block endogenous peroxidase by 3% hydrogen peroxide for 20 minutes; Blocking buffer (normal goat serum) at 37°C for 30min; Incubation with (Cytokeratin 20 ) Monoclonal Antibody, Unconjugated (bsm-34154M) at 1:100 overnight at 4°C, followed by operating according to SP Kit(Mouse)(sp-0024) instructionsand DAB staining.
Paraformaldehyde-fixed, paraffin embedded (human colon carcinoma); Antigen retrieval by boiling in sodium citrate buffer (pH6.0) for 15min; Block endogenous peroxidase by 3% hydrogen peroxide for 20 minutes; Blocking buffer (normal goat serum) at 37°C for 30min; Incubation with (Cytokeratin 20 ) Monoclonal Antibody, Unconjugated (bsm-34154M) at 1:100 overnight at 4°C, followed by operating according to SP Kit(Mouse)(sp-0024) instructionsand DAB staining.
Paraformaldehyde-fixed, paraffin embedded (rat intestine); Antigen retrieval by boiling in sodium citrate buffer (pH6.0) for 15min; Block endogenous peroxidase by 3% hydrogen peroxide for 20 minutes; Blocking buffer (normal goat serum) at 37°C for 30min; Incubation with (Cytokeratin 20 ) Monoclonal Antibody, Unconjugated (bsm-34154M) at 1:100 overnight at 4°C, followed by operating according to SP Kit(Mouse)(sp-0024) instructionsand DAB staining.
Paraformaldehyde-fixed, paraffin embedded Human Colon; Antigen retrieval by boiling in sodium citrate buffer (pH6.0) for 15 min; The section was incubated with Anti-Cytokeratin 20 Monoclonal Antibody, Unconjugated (bsm-34154M) at 1:200 overnight at 4°C. Followed by conjugated Goat Anti-Mouse IgG antibody (green, bs-0296G-BF488), DAPI (blue, C02-04002) was used to stain the cell nuclei.
Paraformaldehyde-fixed, paraffin embedded Mouse Colon; Antigen retrieval by boiling in sodium citrate buffer (pH6.0) for 15 min; The section was incubated with Anti-Cytokeratin 20 Monoclonal Antibody, Unconjugated (bsm-34154M) at 1:200 overnight at 4°C. Followed by conjugated Goat Anti-Mouse IgG antibody (green, bs-0296G-BF488), DAPI (blue, C02-04002) was used to stain the cell nuclei.
Paraformaldehyde-fixed, paraffin embedded Rat Colon; Antigen retrieval by boiling in sodium citrate buffer (pH6.0) for 15 min; The section was incubated with Anti-Cytokeratin 20 Monoclonal Antibody, Unconjugated (bsm-34154M) at 1:200 overnight at 4°C. Followed by conjugated Goat Anti-Mouse IgG antibody (green, bs-0296G-BF488), DAPI (blue, C02-04002) was used to stain the cell nuclei.
版权所有 2004-2026 www.bioss.com.cn 北京博奥森生物技术有限公司
通过国际质量管理体系ISO 9001:2015 GB/T 19001-2016    证书编号: 00124Q34771R2M/1100
通过国际医疗器械-质量管理体系ISO 13485:2016 GB/T 42061-2022     证书编号: CQC24QY20047R0M/1100
京ICP备05066980号-1         京公网安备110107000727号