扫码关注公众号           扫码咨询技术支持           扫码咨询技术服务
  
客服热线:400-901-9800  客服QQ:4009019800  技术答疑  技术支持  质量反馈  人才招聘  关于我们  联系我们
产品中心-北京博奥森生物技术有限公司
首页 > 产品中心 > 试剂盒 > 产品信息
CD20 Ready-To-Use IHC Kit (IHC0125)  
订购热线:400-901-9800
订购邮箱:sales@bioss.com.cn
订购QQ:  400-901-9800
技术支持:techsupport@bioss.com.cn
50T/3200.00元
大包装/询价

产品编号 IHC0125
英文名称 CD20 Ready-To-Use IHC Kit
中文名称 CD20即用型免疫组化试剂盒
克 隆 号
性    状 Liquid
种    属 Human,Mouse,Rat
应用范围 Immunohistochemistry
适用样品基质 FFPE tissue
描述 IHC0125 is a ready-to-use IHC kit for staining of CD20. The kit provides all reagents, from antigen retrieval to cover slip mounting, that require little to no diluting or handling prior to use. Simply apply the reagents to your sample slide according to the protocol and you're steps away from obtaining high-quality IHC data.
注意事项 This product as supplied is intended for research use only, not for use in human, therapeutic or diagnostic applications.
产品介绍 CD20 is a non glycosylated protein with a molecular weight of 35 or 37 kDa depending on the degree of phosphorylation. Although not a member of the tetraspanin superfamily of cell surface receptors, it crosses the cell membrane four times. The CD20 antigen is present on human pre B lymphocytes and on B lymphocytes at all stages of maturation, except on plasma cells. Low level expression of the CD20 antigen has been detected on normal T lymphocytes. The CD20 molecule is involved in regulation of B cell differentiation, presumably via its reported function as a Ca++ channel subunit.

SWISS:
P11836

Gene ID:
931

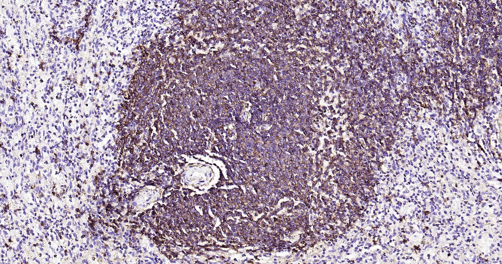
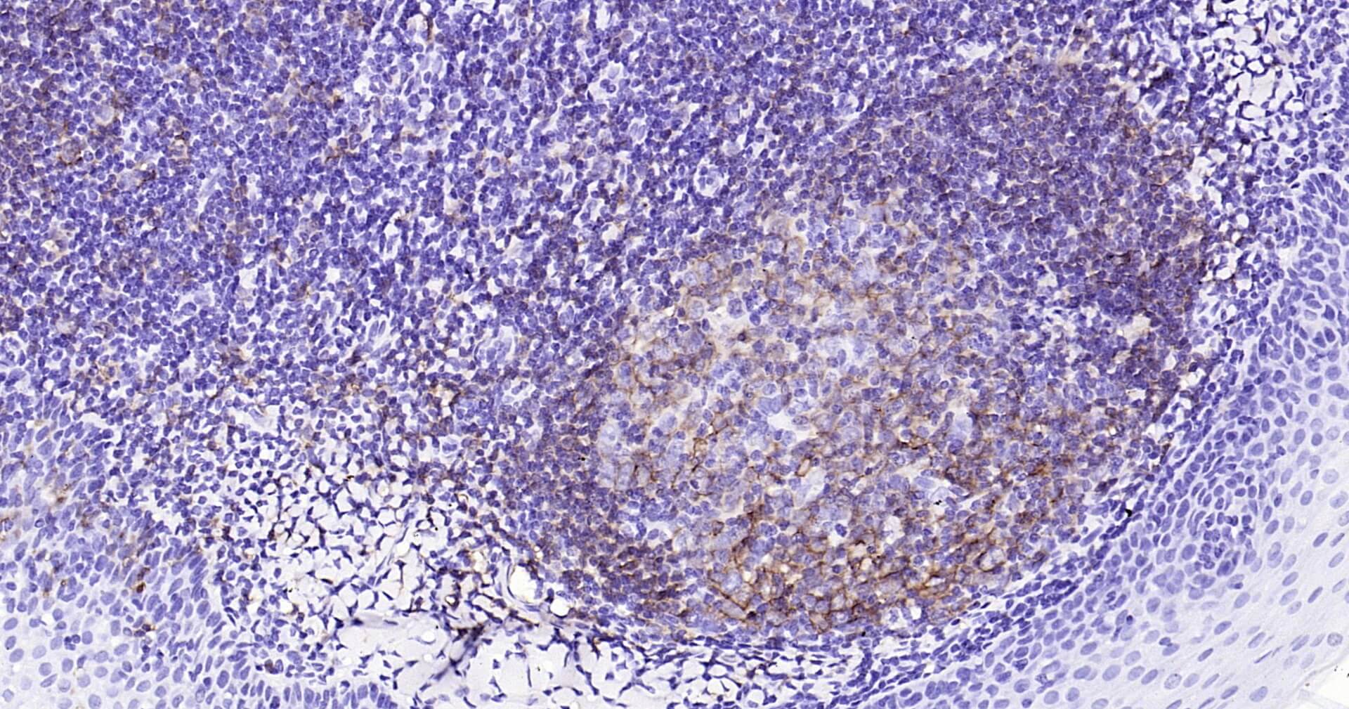
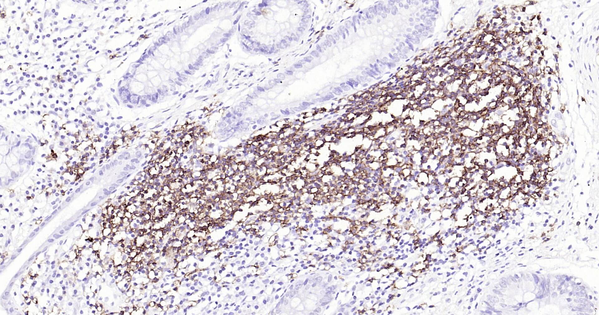
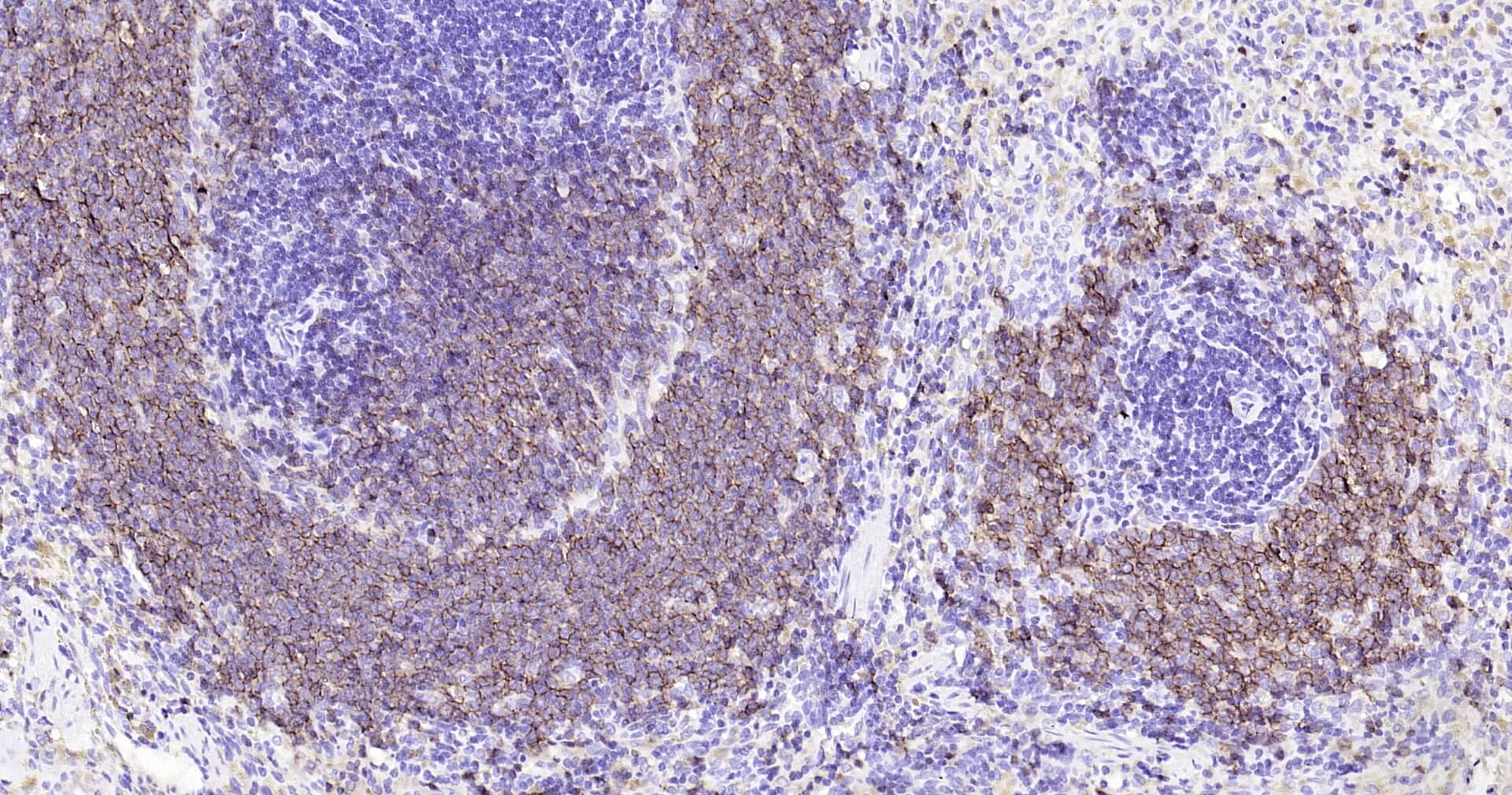
产品图片
Immunohistochemical analysis of paraffin embedded mouse spleen tissue slide using IHC0125 (CD20 IHC Kit).
Immunohistochemical analysis of paraffin embedded rat spleen tissue slide using IHC0125 (CD20 IHC Kit).
Immunohistochemical analysis of paraffin embedded human spleen tissue slide using IHC0125 (CD20 IHC Kit).
Immunohistochemical analysis of paraffin embedded human tonsil tissue slide using IHC0125 (CD20 IHC Kit).
Immunohistochemical analysis of paraffin embedded human colon carcinoma tissue slide using IHC0125 (CD20 IHC Kit).
版权所有 2004-2026 www.bioss.com.cn 北京博奥森生物技术有限公司
通过国际质量管理体系ISO 9001:2015 GB/T 19001-2016    证书编号: 00124Q34771R2M/1100
通过国际医疗器械-质量管理体系ISO 13485:2016 GB/T 42061-2022     证书编号: CQC24QY20047R0M/1100
京ICP备05066980号-1         京公网安备110107000727号