扫码关注公众号           扫码咨询技术支持           扫码咨询技术服务
  
客服热线:400-901-9800  客服QQ:4009019800  技术答疑  技术支持  质量反馈  人才招聘  关于我们  联系我们
产品中心-北京博奥森生物技术有限公司
首页 > 产品中心 > 试剂盒 > 产品信息
Human Cytokeratin 8 Ready-To-Use IHC Kit (IHC0130H)  
订购热线:400-901-9800
订购邮箱:sales@bioss.com.cn
订购QQ:  400-901-9800
技术支持:techsupport@bioss.com.cn
50T/3200.00元
大包装/询价

产品编号 IHC0130H
英文名称 Human Cytokeratin 8 Ready-To-Use IHC Kit
中文名称 人细胞角蛋白8即用型免疫组化试剂盒
克 隆 号
性    状 Liquid
种    属 Human
应用范围 Immunohistochemistry
适用样品基质 FFPE tissue
描述 IHC0130H is a ready-to-use IHC kit for staining of human Cytokeratin 8. The kit provides all reagents, from antigen retrieval to cover slip mounting, that require little to no diluting or handling prior to use. Simply apply the reagents to your sample slide according to the protocol and you're steps away from obtaining high-quality IHC data.
注意事项 This product as supplied is intended for research use only, not for use in human, therapeutic or diagnostic applications.
产品介绍 This gene is a member of the type II keratin family clustered on the long arm of chromosome 12. Type I and type II keratins heteropolymerize to form intermediate-sized filaments in the cytoplasm of epithelial cells. The product of this gene typically dimerizes with keratin 18 to form an intermediate filament in simple single-layered epithelial cells. This protein plays a role in maintaining cellular structural integrity and also functions in signal transduction and cellular differentiation. Mutations in this gene cause cryptogenic cirrhosis. Alternatively spliced transcript variants have been found for this gene. [provided by RefSeq, Jan 2012].

SWISS:
P05787

Gene ID:
3856

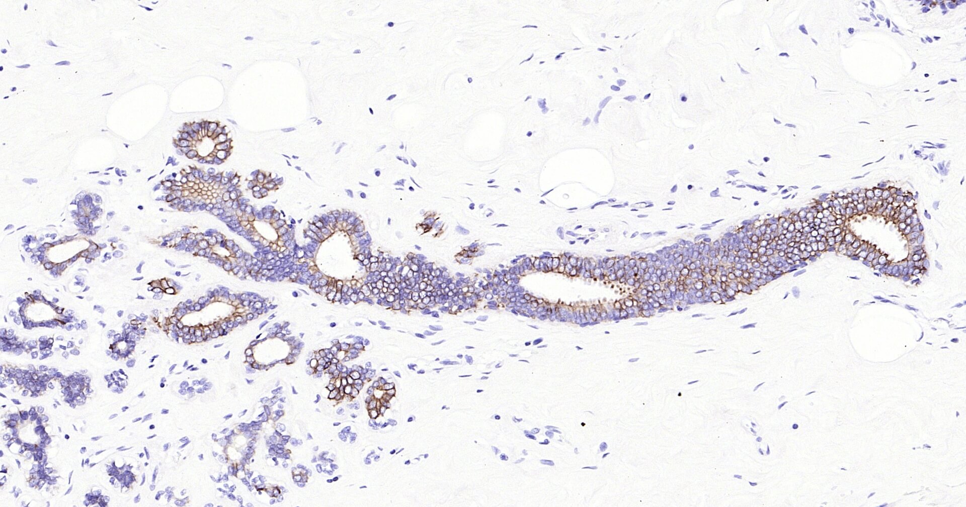
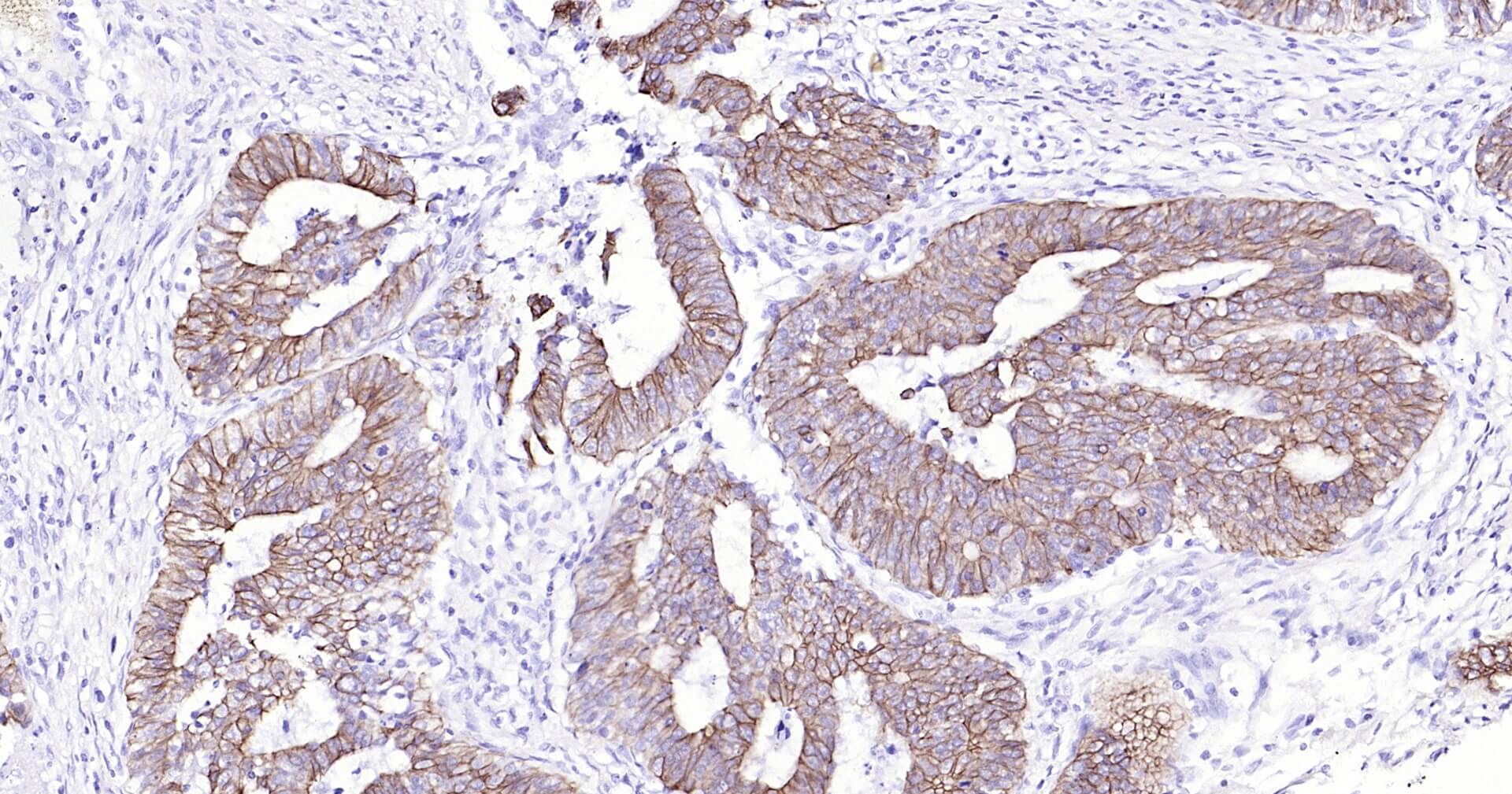
产品图片
Immunohistochemical analysis of paraffin embedded human breast tissue slide using IHC0130H (Human Cytokeratin 8 IHC Kit).
Immunohistochemical analysis of paraffin embedded human colon carcinoma tissue slide using IHC0130H (Human Cytokeratin 8 IHC Kit).
Immunohistochemical analysis of paraffin embedded human lung carcinoma tissue slide using IHC0130H (Human Cytokeratin 8 IHC Kit).
版权所有 2004-2026 www.bioss.com.cn 北京博奥森生物技术有限公司
通过国际质量管理体系ISO 9001:2015 GB/T 19001-2016    证书编号: 00124Q34771R2M/1100
通过国际医疗器械-质量管理体系ISO 13485:2016 GB/T 42061-2022     证书编号: CQC24QY20047R0M/1100
京ICP备05066980号-1         京公网安备110107000727号