扫码关注公众号           扫码咨询技术支持           扫码咨询技术服务
  
客服热线:400-901-9800  客服QQ:4009019800  技术答疑  技术支持  质量反馈  人才招聘  关于我们  联系我们
产品中心-北京博奥森生物技术有限公司
首页 > 产品中心 > 一抗 > 产品信息
Synaptophysin Rabbit pAb (bs-60831R)  
订购热线:400-901-9800
订购邮箱:sales@bioss.com.cn
订购QQ:  400-901-9800
技术支持:techsupport@bioss.com.cn
50ul/1580.00元
100ul/2500.00元
大包装/询价

产品编号 bs-60831R
英文名称 Synaptophysin Rabbit pAb
中文名称 突触小泡蛋白P38抗体
别    名 MRX96; MRXSYP; XLID96; A230093K24Rik; Syn; p38; Syp1; SYPH_BOVIN; SYP; Major synaptic vesicle protein p38; SYPH_HUMAN; SYPH_MOUSE; BM89 antigen; SYPH_RAT;   
抗体来源 Rabbit
克隆类型 Polyclonal
克 隆 号
交叉反应 Human,Mouse,Rat
产品应用 WB=1:500-2000,IHC-P=1:50-200,IHC-F=1:50-200,IF=1:50-200
not yet tested in other applications.
optimal dilutions/concentrations should be determined by the end user.
理论分子量 34 kDa
细胞定位 细胞浆 
性    状 Liquid
浓    度 1mg/ml
免 疫 原 KLH conjugated synthetic peptide derived from human Synaptophysin 
亚    型 IgG
纯化方法 affinity purified by Protein A
缓 冲 液 PBS, Glycerol, BSA.
保存条件 Shipped at 4℃. Store at -20℃ for one year. Avoid repeated freeze/thaw cycles.
注意事项 This product as supplied is intended for research use only, not for use in human, therapeutic or diagnostic applications.
PubMed PubMed
产品介绍 This gene encodes an integral membrane protein of small synaptic vesicles in brain and endocrine cells. The protein also binds cholesterol and is thought to direct targeting of vesicle-associated membrane protein 2 (synaptobrevin) to intracellular compartments. Mutations in this gene are associated with X-linked mental retardation (XLMR). [provided by RefSeq, Aug 2011]

Function:
Possibly involved in structural functions as organizing other membrane components or in targeting the vesicles to the plasma membrane. Involved in the regulation of short-term and long-term synaptic plasticity.

Subcellular Location:
Cytoplasmic vesicle > secretory vesicle > synaptic vesicle membrane. Cell junction > synapse > synaptosome.

Tissue Specificity:
Characteristic of a type of small (30-80 nm) neurosecretory vesicles, including presynaptic vesicles, but also vesicles of various neuroendocrine cells of both neuronal and epithelial phenotype.

Post-translational modifications:
Ubiquitinated; mediated by SIAH1 or SIAH2 and leading to its subsequent proteasomal degradation.

DISEASE:
Defects in SYP are the cause of mental retardation X-linked SYP-related (MRXSYP) [MIM:300802]. Mental retardation is characterized by significantly below average general intellectual functioning associated with impairments in adaptative behavior and manifested during the developmental period.

Similarity:
Belongs to the synaptophysin/synaptobrevin family. Contains 1 MARVEL domain.

SWISS:
P08247

Gene ID:
6855

Database links:

Entrez Gene: 280937 Cow

Entrez Gene: 6855 Human

Entrez Gene: 20977 Mouse

Entrez Gene: 24804 Rat

Omim: 313475 Human

SwissProt: P20488 Cow

SwissProt: P08247 Human

SwissProt: Q62277 Mouse

SwissProt: P07825 Rat

Unigene: 632804 Human

Unigene: 223674 Mouse

Unigene: 11067 Rat



产品图片
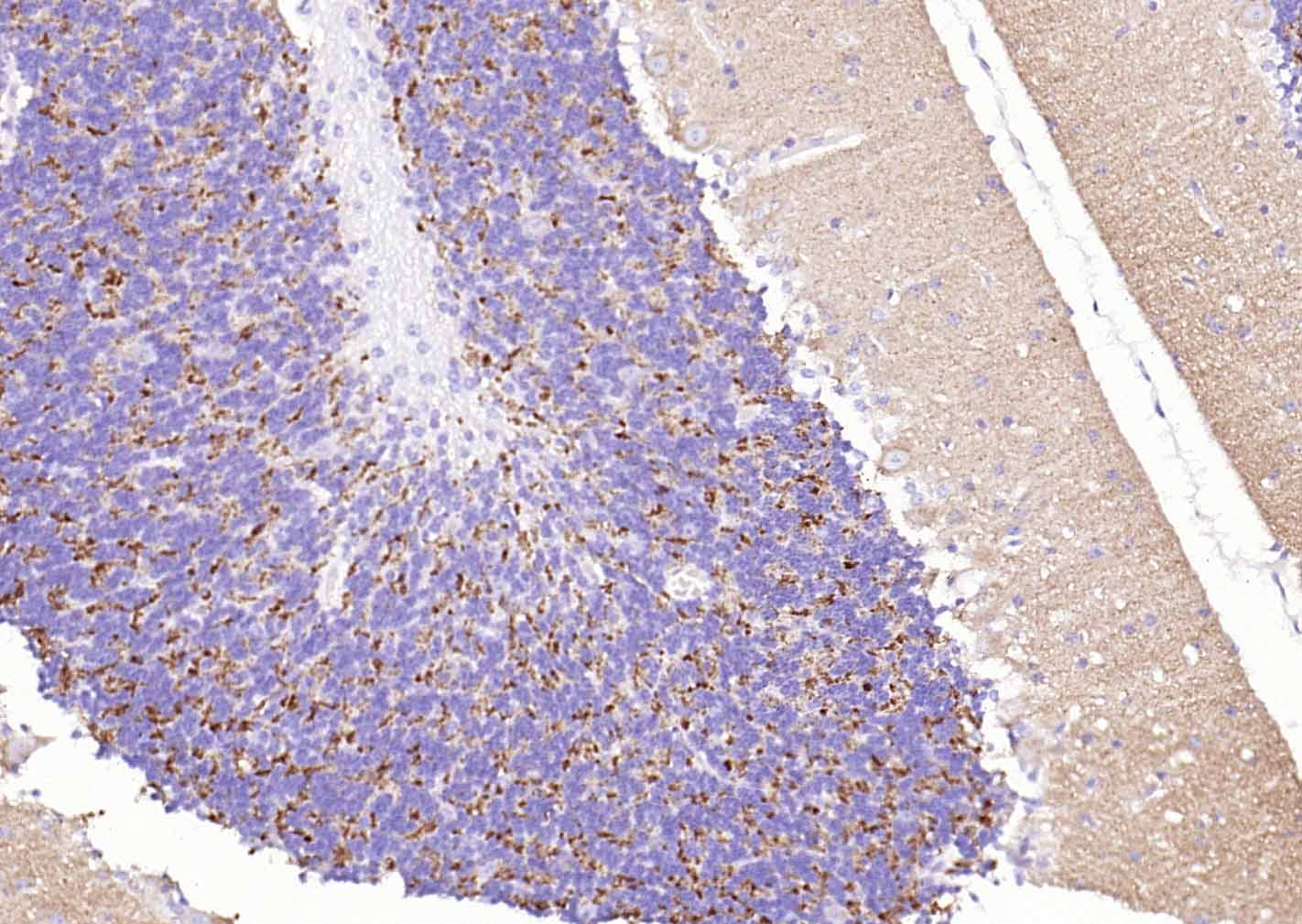
Paraformaldehyde-fixed, paraffin embedded (human cerebellum); Antigen retrieval by boiling in sodium citrate buffer (pH6.0) for 15min; Block endogenous peroxidase by 3% hydrogen peroxide for 20 minutes; Blocking buffer (normal goat serum) at 37°C for 30min; Incubation with (Synaptophysin ) Polyclonal Antibody, Unconjugated (bs-60831R) at 1:200 overnight at 4°C, followed by operating according to SP Kit(Rabbit) (sp-0023) instructionsand DAB staining.
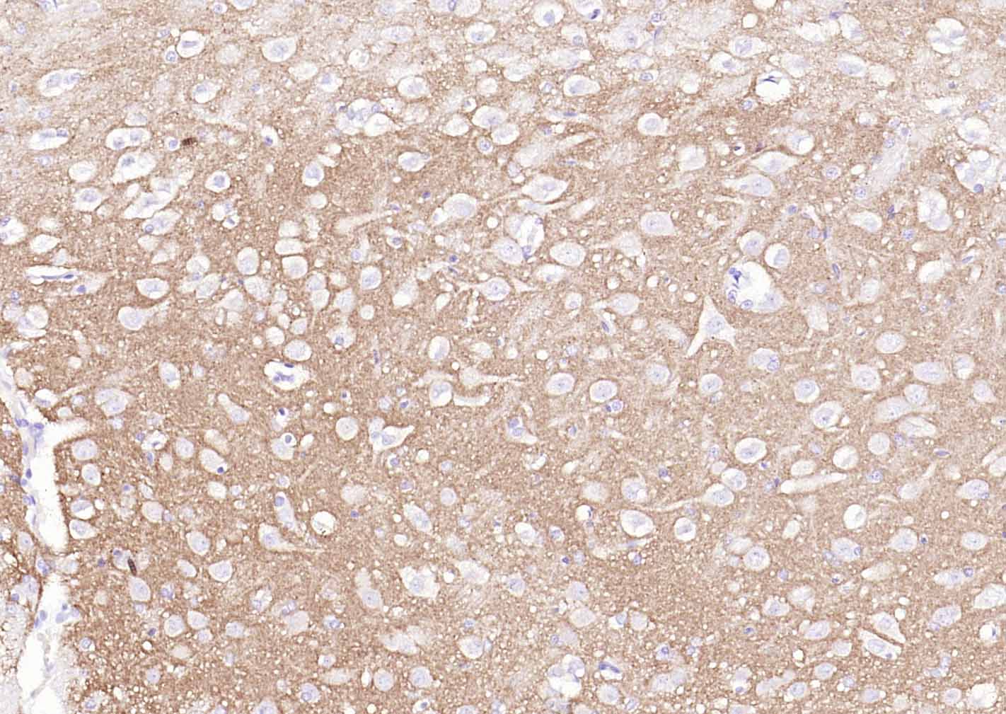
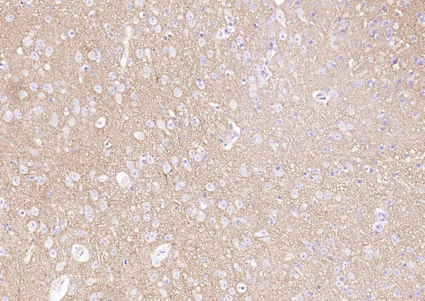
Paraformaldehyde-fixed, paraffin embedded (human brain); Antigen retrieval by boiling in sodium citrate buffer (pH6.0) for 15min; Block endogenous peroxidase by 3% hydrogen peroxide for 20 minutes; Blocking buffer (normal goat serum) at 37°C for 30min; Incubation with (Synaptophysin ) Polyclonal Antibody, Unconjugated (bs-60831R) at 1:200 overnight at 4°C, followed by operating according to SP Kit(Rabbit) (sp-0023) instructionsand DAB staining.
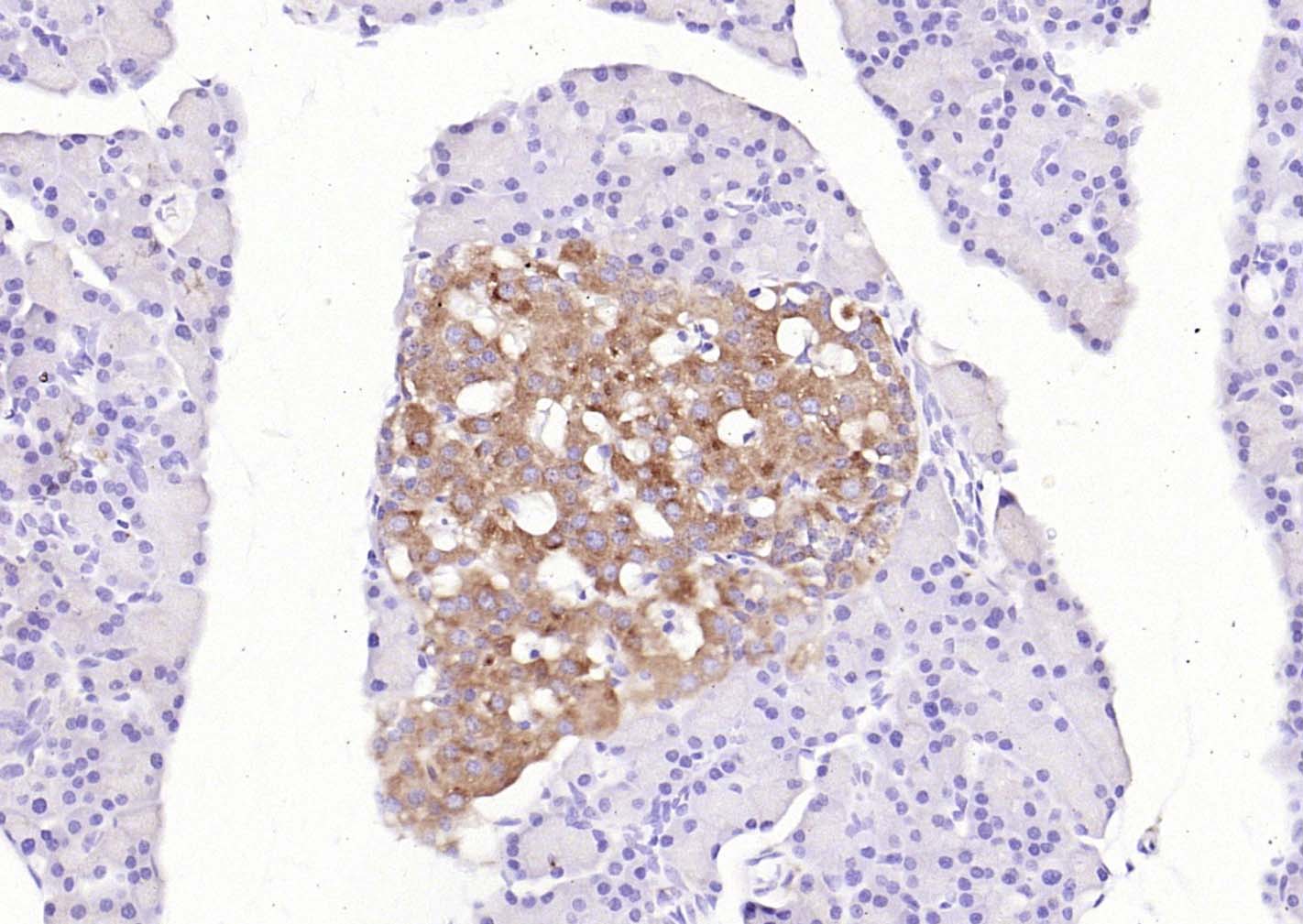
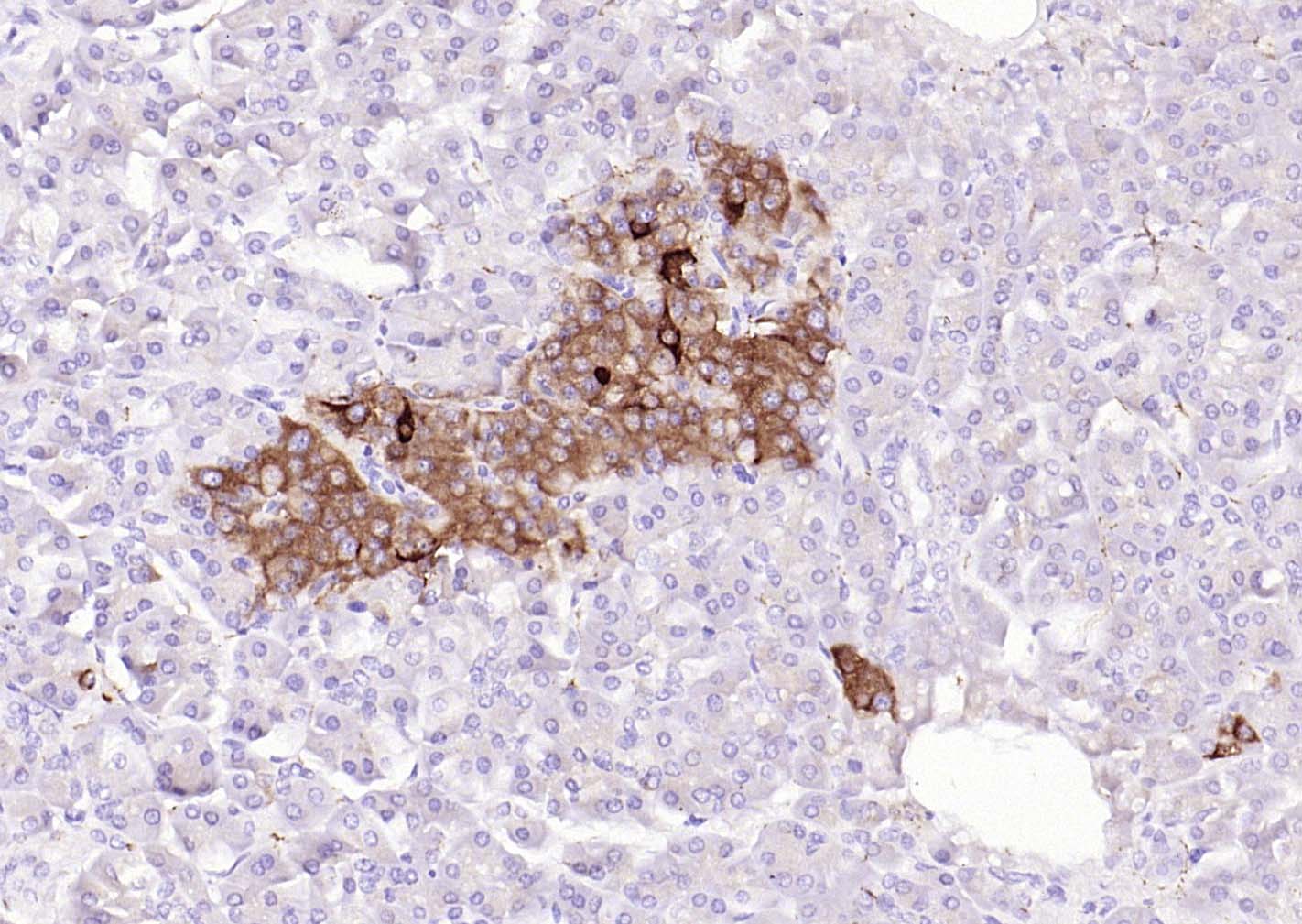
Paraformaldehyde-fixed, paraffin embedded (human pancreas); Antigen retrieval by boiling in sodium citrate buffer (pH6.0) for 15min; Block endogenous peroxidase by 3% hydrogen peroxide for 20 minutes; Blocking buffer (normal goat serum) at 37°C for 30min; Incubation with (Synaptophysin ) Polyclonal Antibody, Unconjugated (bs-60831R) at 1:200 overnight at 4°C, followed by operating according to SP Kit(Rabbit) (sp-0023) instructionsand DAB staining.
Paraformaldehyde-fixed, paraffin embedded (rat pancreas); Antigen retrieval by boiling in sodium citrate buffer (pH6.0) for 15min; Block endogenous peroxidase by 3% hydrogen peroxide for 20 minutes; Blocking buffer (normal goat serum) at 37°C for 30min; Incubation with (Synaptophysin ) Polyclonal Antibody, Unconjugated (bs-60831R) at 1:200 overnight at 4°C, followed by operating according to SP Kit(Rabbit) (sp-0023) instructionsand DAB staining.
Paraformaldehyde-fixed, paraffin embedded (rat brain); Antigen retrieval by boiling in sodium citrate buffer (pH6.0) for 15min; Block endogenous peroxidase by 3% hydrogen peroxide for 20 minutes; Blocking buffer (normal goat serum) at 37°C for 30min; Incubation with (Synaptophysin ) Polyclonal Antibody, Unconjugated (bs-60831R) at 1:200 overnight at 4°C, followed by operating according to SP Kit(Rabbit) (sp-0023) instructionsand DAB staining.
Paraformaldehyde-fixed, paraffin embedded (rat cerebellum); Antigen retrieval by boiling in sodium citrate buffer (pH6.0) for 15min; Block endogenous peroxidase by 3% hydrogen peroxide for 20 minutes; Blocking buffer (normal goat serum) at 37°C for 30min; Incubation with (Synaptophysin ) Polyclonal Antibody, Unconjugated (bs-60831R) at 1:200 overnight at 4°C, followed by operating according to SP Kit(Rabbit) (sp-0023) instructionsand DAB staining.
Paraformaldehyde-fixed, paraffin embedded (mouse cerebellum); Antigen retrieval by boiling in sodium citrate buffer (pH6.0) for 15min; Block endogenous peroxidase by 3% hydrogen peroxide for 20 minutes; Blocking buffer (normal goat serum) at 37°C for 30min; Incubation with (Synaptophysin ) Polyclonal Antibody, Unconjugated (bs-60831R) at 1:200 overnight at 4°C, followed by operating according to SP Kit(Rabbit) (sp-0023) instructionsand DAB staining.
Paraformaldehyde-fixed, paraffin embedded (mouse brain); Antigen retrieval by boiling in sodium citrate buffer (pH6.0) for 15min; Block endogenous peroxidase by 3% hydrogen peroxide for 20 minutes; Blocking buffer (normal goat serum) at 37°C for 30min; Incubation with (Synaptophysin ) Polyclonal Antibody, Unconjugated (bs-60831R) at 1:200 overnight at 4°C, followed by operating according to SP Kit(Rabbit) (sp-0023) instructionsand DAB staining.
版权所有 2004-2026 www.bioss.com.cn 北京博奥森生物技术有限公司
通过国际质量管理体系ISO 9001:2015 GB/T 19001-2016    证书编号: 00124Q34771R2M/1100
通过国际医疗器械-质量管理体系ISO 13485:2016 GB/T 42061-2022     证书编号: CQC24QY20047R0M/1100
京ICP备05066980号-1         京公网安备110107000727号