扫码关注公众号           扫码咨询技术支持           扫码咨询技术服务
  
客服热线:400-901-9800  客服QQ:4009019800  技术答疑  技术支持  质量反馈  关于我们  联系我们
产品中心-北京博奥森生物技术有限公司
首页 > 产品中心 > 一抗 > 产品信息
RANK Rabbit pAb (bs-43608R)  
订购热线:400-901-9800
订购邮箱:sales@bioss.com.cn
订购QQ:  400-901-9800
技术支持:techsupport@bioss.com.cn
50ul/1180.00元
100ul/1980.00元
200ul/2800.00元
大包装/询价

产品编号 bs-43608R
英文名称 RANK Rabbit pAb
中文名称 核转录因子NF-κB受体抗体(核因子kB受体活化因子)
别    名 TNFRSF11A; CD265; CD265 antigen; Activator of NFKB; EOF; FEO; mRANK; NFKB activator; ODFR; OFE; Osteoclast differentiation factor receptor; PDB 2; Receptor activator of NF KB; receptor activator of nuclear factor kappa B; TNFRSF 11A; TNFSF11; TRANCE R; RANK receptor; TNR11_HUMAN.  
抗体来源 Rabbit
克隆类型 Polyclonal
克 隆 号
交叉反应 Human
产品应用 IHC-P=1:100-500,IHC-F=1:100-500,IF=1:100-500
not yet tested in other applications.
optimal dilutions/concentrations should be determined by the end user.
理论分子量 66 kDa
检测分子量
细胞定位 细胞膜 
性    状 Liquid
浓    度 1mg/ml
免 疫 原 Recombinant human RANK protein: 30-212/616 
亚    型 IgG
纯化方法 affinity purified by Protein A
缓 冲 液 0.01M TBS (pH7.4) with 1% BSA, 0.02% Proclin300 and 50% Glycerol.
保存条件 Shipped at 4℃. Store at -20℃ for one year. Avoid repeated freeze/thaw cycles.
注意事项 This product as supplied is intended for research use only, not for use in human, therapeutic or diagnostic applications.
PubMed PubMed
产品介绍 The protein encoded by this gene is a member of the TNF-receptor superfamily. This receptors can interact with various TRAF family proteins, through which this receptor induces the activation of NF-kappa B and MAPK8/JNK. This receptor and its ligand are important regulators of the interaction between T cells and dendritic cells. This receptor is also an essential mediator for osteoclast and lymph node development. Mutations at this locus have been associated with familial expansile osteolysis, autosomal recessive osteopetrosis, and Paget disease of bone. Alternatively spliced transcript variants have been described for this locus. [provided by RefSeq, Aug 2012]

Function:
Receptor for TNFSF11/RANKL/TRANCE/OPGL; essential for RANKL-mediated osteoclastogenesis. Involved in the regulation of interactions between T-cells and dendritic cells.

Subcellular Location:
Membrane.

Tissue Specificity:
Ubiquitous expression with high levels in skeletal muscle, thymus, liver, colon, small intestine and adrenal gland.

DISEASE:
Defects in TNFRSF11A are the cause of familial expansile osteolysis (FEO) [MIM:174810]. FEO is a rare autosomal dominant bone disorder characterized by focal areas of increased bone remodeling. The osteolytic lesions develop usually in the long bones during early adulthood. FEO is often associated with early onset deafness and loss of dentition. Defects in TNFRSF11A are a cause of Paget disease of bone type 2 (PDB2) [MIM:602080]; also known as familial Paget disease of bone. PDB2 is a bone-remodeling disorder with clinical similarities to FEO. Unlike FEO, however, affected individuals have involvement of the axial skeleton with lesions in the spine, pelvis and skull.

Similarity:
Contains 4 TNFR-Cys repeats.

SWISS:
Q9Y6Q6

Gene ID:
8792

Database links:

Entrez Gene: 8792 Human

Omim: 603499 Human

SwissProt: Q9Y6Q6 Human

Unigene: 204044 Human



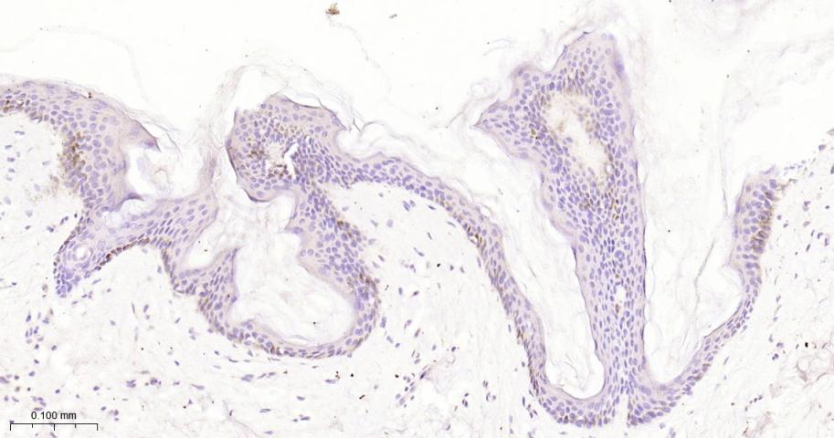
产品图片
Paraformaldehyde-fixed, paraffin embedded Human Abdominal skin; Antigen retrieval by boiling in sodium citrate buffer (pH6.0) for 15 min; The section was incubated with RANK Polyclonal Antibody, Unconjugated (bs-43608R) at 1:200 overnight at 4°C, followed by conjugation to the bs-0295G-HRP and DAB (C-0010) staining.
版权所有 2004-2026 www.bioss.com.cn 北京博奥森生物技术有限公司
通过国际质量管理体系ISO 9001:2015 GB/T 19001-2016    证书编号: 00124Q34771R2M/1100
通过国际医疗器械-质量管理体系ISO 13485:2016 GB/T 42061-2022     证书编号: CQC24QY20047R0M/1100
京ICP备05066980号-1         京公网安备110107000727号