扫码关注公众号           扫码咨询技术支持           扫码咨询技术服务
  
客服热线:400-901-9800  客服QQ:4009019800  技术答疑  技术支持  质量反馈  关于我们  联系我们
产品中心-北京博奥森生物技术有限公司
首页 > 产品中心 > 一抗 > 产品信息
phospho-alpha B Crystallin (Ser19) Rabbit pAb (bs-25468R)  
订购热线:400-901-9800
订购邮箱:sales@bioss.com.cn
订购QQ:  400-901-9800
技术支持:techsupport@bioss.com.cn
50ul/1180.00元
100ul/1980.00元
200ul/2800.00元
大包装/询价

产品编号 bs-25468R
英文名称 phospho-alpha B Crystallin (Ser19) Rabbit pAb
中文名称 磷酸化热休克蛋白β5/α晶状体球蛋白B/αB-crystallin抗体
别    名 alpha B Crystallin(phospho S19); alpha B Crystallin(phospho Ser19); p-alpha B Crystallin(S19); p-alpha B Crystallin(Ser19); AACRYA; alpha B crystallin; alpha crystallin B chain; alpha crystallin B chain; alpha(B) crystallin; alpha(B)-crystallin; alpha-crystallin B chain; CRYA2; CRYAB; CRYAB_HUMAN; Crystallin alpha B; Crystallin alpha polypeptide 2; CTPP 2; CTPP2; Heat shock 20 kD like protein; Heat shock protein beta 5; Heat shock protein beta-5; HSPB5; NY REN 27 antigen; Renal carcinoma antigen NY REN 27; Renal carcinoma antigen NY-REN-27; Rosenthal fiber component.  
抗体来源 Rabbit
克隆类型 Polyclonal
克 隆 号
交叉反应 Human,Mouse (predicted: Rat,Rabbit,Pig,Sheep,Cow,Horse)
产品应用 IHC-P=1:100-500,IHC-F=1:100-500,IF=1:100-500
not yet tested in other applications.
optimal dilutions/concentrations should be determined by the end user.
理论分子量 20 kDa
检测分子量
细胞定位 细胞核 细胞浆 
性    状 Liquid
浓    度 1mg/ml
免 疫 原 KLH conjugated synthesised phosphopeptide derived from human alpha B Crystallin around the phosphorylation site of Ser19: FH(p-S)PS 
亚    型 IgG
纯化方法 affinity purified by Protein A
缓 冲 液 0.01M TBS (pH7.4) with 1% BSA, 0.02% Proclin300 and 50% Glycerol.
保存条件 Shipped at 4℃. Store at -20℃ for one year. Avoid repeated freeze/thaw cycles.
注意事项 This product as supplied is intended for research use only, not for use in human, therapeutic or diagnostic applications.
PubMed PubMed
产品介绍 Crystallins are separated into two classes: taxon-specific, or enzyme, and ubiquitous. The latter class constitutes the major proteins of vertebrate eye lens and maintains the transparency and refractive index of the lens. Since lens central fiber cells lose their nuclei during development, these crystallins are made and then retained throughout life, making them extremely stable proteins. Mammalian lens crystallins are divided into alpha, beta, and gamma families; beta and gamma crystallins are also considered as a superfamily. Alpha and beta families are further divided into acidic and basic groups. Seven protein regions exist in crystallins: four homologous motifs, a connecting peptide, and N- and C-terminal extensions. Alpha crystallins are composed of two gene products: alpha-A and alpha-B, for acidic and basic, respectively. Alpha crystallins can be induced by heat shock and are members of the small heat shock protein (sHSP also known as the HSP20) family. They act as molecular chaperones although they do not renature proteins and release them in the fashion of a true chaperone; instead they hold them in large soluble aggregates. Post-translational modifications decrease the ability to chaperone. These heterogeneous aggregates consist of 30-40 subunits; the alpha-A and alpha-B subunits have a 3:1 ratio, respectively. Two additional functions of alpha crystallins are an autokinase activity and participation in the intracellular architecture. Alpha-A and alpha-B gene products are differentially expressed; alpha-A is preferentially restricted to the lens and alpha-B is expressed widely in many tissues and organs. Elevated expression of alpha-B crystallin occurs in many neurological diseases; a missense mutation cosegregated in a family with a desmin-related myopathy. [provided by RefSeq, Jul 2008].

Function:
May contribute to the transparency and refractive index of the lens. Has chaperone-like activity, preventing aggregation of various proteins under a wide range of stress conditions.

Subunit:
Heteropolymer composed of three CRYAA and one CRYAB subunits. Aggregates with homologous proteins, including the small heat shock protein HSPB1, to form large heteromeric complexes. Inter-subunit bridging via zinc ions enhances stability, which is crucial as there is no protein turn over in the lens. Interacts with HSPBAP1 and TTN/titin.

Subcellular Location:
Cytoplasm. Nucleus. Note=Translocates to the nucleus during heat shock and resides in sub-nuclear structures known as SC35 speckles or nuclear splicing speckles.

Tissue Specificity:
Lens as well as other tissues.

DISEASE:
Defects in CRYAB are the cause of myopathy myofibrillar type 2 (MFM2) [MIM:608810]. A neuromuscular disorder that results in weakness of the proximal and distal limb muscles, weakness of the neck, velopharynx and trunk muscles, hypetrophic cardiomyopathy, and cataract in a subset of patients. [DISEASE] Defects in CRYAB are the cause of cataract posterior polar type 2 (CTPP2) [MIM:613763]. A subcapsular opacity, usually disk-shaped, located at the back of the lens. It can have a marked effect on visual acuity. [DISEASE] Defects in CRYAB are the cause of myopathy myofibrillar fatal infantile hypertonic alpha-B crystallin-related (MFMFIH-CRYAB) [MIM:613869]. MFMFIH-CRYAB is a muscular dystrophy with onset in the first weeks of life after a normal neonatal period. Affected infants show rapidly progressive muscular rigidity of the trunk and limbs associated with increasing respiratory difficulty resulting in death before age 3 years.

Similarity:
Belongs to the small heat shock protein (HSP20) family.

SWISS:
P02511

Gene ID:
1410

Database links:

Entrez Gene: 1410 Human

Entrez Gene: 12955 Mouse

Entrez Gene: 25420 Rat

Omim: 123590 Human

SwissProt: P02511 Human

SwissProt: P23927 Mouse

SwissProt: P23928 Rat

Unigene: 53454 Human

Unigene: 178 Mouse

Unigene: 98208 Rat



产品图片
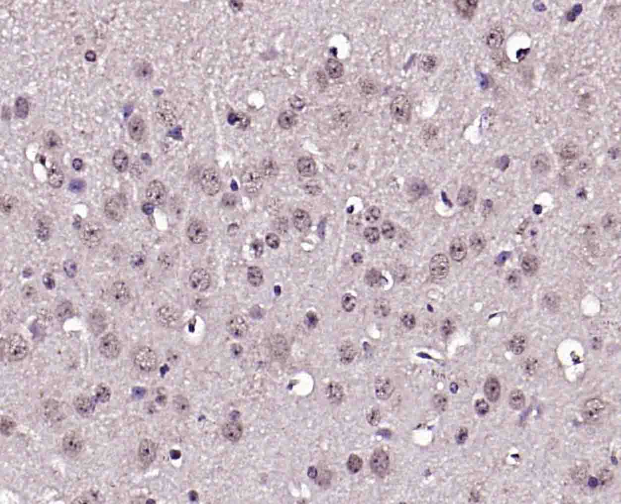
Paraformaldehyde-fixed, paraffin embedded (human brain glioma); Antigen retrieval by boiling in sodium citrate buffer (pH6.0) for 15min; Block endogenous peroxidase by 3% hydrogen peroxide for 20 minutes; Blocking buffer (normal goat serum) at 37°C for 30min; Incubation with (phospho-alpha B Crystallin (Ser19) ) Polyclonal Antibody, Unconjugated (bs-25468R) at 1:200 overnight at 4°C, followed by operating according to SP Kit(Rabbit) (sp-0023) instructionsand DAB staining.
Paraformaldehyde-fixed, paraffin embedded (mouse brain); Antigen retrieval by boiling in sodium citrate buffer (pH6.0) for 15min; Block endogenous peroxidase by 3% hydrogen peroxide for 20 minutes; Blocking buffer (normal goat serum) at 37°C for 30min; Incubation with (phospho-alpha B Crystallin (Ser19) ) Polyclonal Antibody, Unconjugated (bs-25468R) at 1:200 overnight at 4°C, followed by operating according to SP Kit(Rabbit) (sp-0023) instructionsand DAB staining.
版权所有 2004-2026 www.bioss.com.cn 北京博奥森生物技术有限公司
通过国际质量管理体系ISO 9001:2015 GB/T 19001-2016    证书编号: 00124Q34771R2M/1100
通过国际医疗器械-质量管理体系ISO 13485:2016 GB/T 42061-2022     证书编号: CQC24QY20047R0M/1100
京ICP备05066980号-1         京公网安备110107000727号