扫码关注公众号           扫码咨询技术支持           扫码咨询技术服务
  
客服热线:400-901-9800  客服QQ:4009019800  技术答疑  技术支持  质量反馈  关于我们  联系我们
产品中心-北京博奥森生物技术有限公司
首页 > 产品中心 > 一抗 > 产品信息
POLK Rabbit pAb (bs-42055R)  
订购热线:400-901-9800
订购邮箱:sales@bioss.com.cn
订购QQ:  400-901-9800
技术支持:techsupport@bioss.com.cn
50ul/1180.00元
100ul/1980.00元
200ul/2800.00元
大包装/询价

产品编号 bs-42055R
英文名称 POLK Rabbit pAb
中文名称 DNA聚合酶κ/DNA pol κ抗体
别    名 DINP; POLQ; DINB1; DNA polymerase kappa; DINB protein; POLK_HUMAN.  
抗体来源 Rabbit
克隆类型 Polyclonal
克 隆 号
交叉反应 Human,Rat (predicted: Mouse)
产品应用 IHC-P=1:100-500,IHC-F=1:100-500,IF=1:100-500
not yet tested in other applications.
optimal dilutions/concentrations should be determined by the end user.
理论分子量 54/99 kDa
检测分子量
细胞定位 细胞核 
性    状 Liquid
浓    度 1mg/ml
免 疫 原 Recombinant human POLK protein: 1-472/870 
亚    型 IgG
纯化方法 affinity purified by Protein A
缓 冲 液 0.01M TBS (pH7.4) with 1% BSA, 0.02% Proclin300 and 50% Glycerol.
保存条件 Shipped at 4℃. Store at -20℃ for one year. Avoid repeated freeze/thaw cycles.
注意事项 This product as supplied is intended for research use only, not for use in human, therapeutic or diagnostic applications.
PubMed PubMed
产品介绍 This gene encodes a member of the DNA polymerase type-Y family of proteins. The encoded protein is a specialized DNA polymerase that catalyzes translesion DNA synthesis, which allows DNA replication in the presence of DNA lesions. Human cell lines lacking a functional copy of this gene exhibit impaired genome integrity and enhanced susceptibility to oxidative damage. Mutations in this gene that impair enzyme activity may be associated with prostate cancer in human patients. [provided by RefSeq, Sep 2016]

Function:
Error-prone DNA polymerase specifically involved in DNA repair. Plays an important role in translesion synthesis, where the normal high-fidelity DNA polymerases cannot proceed and DNA synthesis stalls. Favors Hoogsteen base-pairing in the active site. Inserts the correct base with high-fidelity opposite an adenosine template. Exhibits low fidelity and efficiency opposite a thymidine template, where it will preferentially insert guanosine. May play a role in hypermutation of immunogobulin genes. Forms a Schiff base with 5'-deoxyribose phosphate at abasic sites, but may not have lyase activity.

Subunit:
Interacts with REV1 (By similarity). Interacts with PCNA.

Subcellular Location:
Nucleus. Accumulates at replication forks after DNA damage.

Tissue Specificity:
Detected at low levels in testis, spleen, prostate and ovary. Detected at very low levels in kidney, colon, brain, heart, liver, lung, placenta, pancreas and peripheral blood leukocytes.

Similarity:
Belongs to the DNA polymerase type-Y family. Contains 1 umuC domain.

Gene ID:
51426

Database links:

Entrez Gene: 51426 Human

SwissProt: Q9UBT6 human

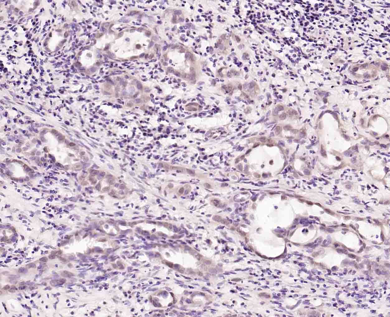
产品图片
Paraformaldehyde-fixed, paraffin embedded (human cervical carcinoma); Antigen retrieval by boiling in sodium citrate buffer (pH6.0) for 15min; Block endogenous peroxidase by 3% hydrogen peroxide for 20 minutes; Blocking buffer (normal goat serum) at 37°C for 30min; Incubation with (POLK) Polyclonal Antibody, Unconjugated (bs-42055R) at 1:200 overnight at 4°C, followed by operating according to SP Kit(Rabbit) (sp-0023) instructionsand DAB staining.
Paraformaldehyde-fixed, paraffin embedded (rat testis); Antigen retrieval by boiling in sodium citrate buffer (pH6.0) for 15min; Block endogenous peroxidase by 3% hydrogen peroxide for 20 minutes; Blocking buffer (normal goat serum) at 37°C for 30min; Incubation with (POLK) Polyclonal Antibody, Unconjugated (bs-42055R) at 1:200 overnight at 4°C, followed by operating according to SP Kit(Rabbit) (sp-0023) instructionsand DAB staining.
版权所有 2004-2026 www.bioss.com.cn 北京博奥森生物技术有限公司
通过国际质量管理体系ISO 9001:2015 GB/T 19001-2016    证书编号: 00124Q34771R2M/1100
通过国际医疗器械-质量管理体系ISO 13485:2016 GB/T 42061-2022     证书编号: CQC24QY20047R0M/1100
京ICP备05066980号-1         京公网安备110107000727号