扫码关注公众号           扫码咨询技术支持           扫码咨询技术服务
  
客服热线:400-901-9800  客服QQ:4009019800  技术答疑  技术支持  质量反馈  关于我们  联系我们
产品中心-北京博奥森生物技术有限公司
首页 > 产品中心 > 一抗 > 产品信息
IL18 Recombinant Rabbit mAb (bsm-56205R)  
订购热线:400-901-9800
订购邮箱:sales@bioss.com.cn
订购QQ:  400-901-9800
技术支持:techsupport@bioss.com.cn
25ul/800.00元
50ul/1400.00元
100ul/2500.00元
大包装/询价

产品编号 bsm-56205R
英文名称 IL18 Recombinant Rabbit mAb
中文名称 白细胞介素-18/干扰素γ诱导因子重组兔单抗
别    名 Interleukin-18; interferon gamma-inducing factor IGIF; Interferon gamma-inducing factor; IFN-gamma-inducing factor; Interleukin-1 gamma; Iboctadekin; IFN gamma inducing factor; IGIF; IL 1 gamma; IL 18; IL-18; IL 1g; IL1 gamma; IL18 protein; IL1F4; IL1g; IL1gamma; ILIF4; Interferon gamma inducing factor; Interleukin 1 gamma; Interleukin18; MGC12320; IL18_HUMAN.  
抗体来源 Rabbit
克隆类型 Recombinant
克 隆 号 13E9
交叉反应 Human
产品应用 WB=1:1000-2000,IHC-P=1:200-800,IHC-F=1:200-800,IF=1:200-800,Flow-Cyt=1ug/Test
not yet tested in other applications.
optimal dilutions/concentrations should be determined by the end user.
理论分子量 22 kDa
检测分子量
细胞定位 分泌型蛋白 
性    状 Liquid
浓    度 1mg/ml
免 疫 原 Recombinant human IL18 protein: 1-192/192 
亚    型 IgG
纯化方法 affinity purified by Protein A
缓 冲 液 PBS (pH7.2) with 40% Glycerol, 0.05% BSA and 0.02% Proclin300.
保存条件 Shipped at 4℃. Store at -20℃ for one year. Avoid repeated freeze/thaw cycles.
注意事项 This product as supplied is intended for research use only, not for use in human, therapeutic or diagnostic applications.
PubMed PubMed
产品介绍 IL18 (IFN-gamma-inducing factor, IGIF) is a novel pro-inflammatory cytokine that augments natural killer (NK) activity in spleen cells. This cytokine can induce the IFN-gamma production of T cells. The combination of this cytokine and IL12 has been shown to inhibit IL4 dependent IgE and IgG1 production, and enhance IgG2a production of B cells. IL18 binding protein (IL18BP) can specifically interact with this cytokine, and thus negatively regulate its biological activity.

Function:
Augments natural killer cell activity in spleen cells and stimulates interferon gamma production in T-helper type I cells.

Subcellular Location:
Secreted.

Similarity:
Belongs to the IL-1 family.

SWISS:
Q14116

Gene ID:
3606

Database links:
Entrez Gene: 3606 Human

Entrez Gene: 16173 Mouse

Omim: 600953 Human

SwissProt: Q14116 Human

SwissProt: P70380 Mouse

Unigene: 83077 Human

Unigene: 1410 Mouse


IL-18是巨噬细胞分泌的一个重要因子,它具有多种免疫功能,能诱导产生IFNγ,无论在病毒感染早期或特异性细胞免疫应答效应阶段都会出现,因此IL-18主要参与免疫应答及炎性细胞浸润的改变。Interleukin-18 又称inteferon-gamma inducing factor(IGIF),在辅助T细胞的应答反应中起重要作用。IL-18和IL-1一起,既参与先天免疫,又是后天免疫的构成因素。
产品图片
Sample: Lane 1: Normal HeLa cell lysates Lane 2: HeLa cell treated with Brefeldin A (5 μ g/ml, 15 min) Lane 3: Jurkat cell lysates (Negative control ) Primary: Anti-IL18 (bsm-56205R) at 1/1000 dilution Secondary: IRDye800CW Goat Anti-Rabbit IgG at 1/20000 dilution Predicted band size: 22 kDa Observed band size: 23 kDa
Paraformaldehyde-fixed, paraffin embedded Human Pyogenic appendicitis; Antigen retrieval by boiling in sodium citrate buffer (pH6.0) for 15 min; The section was incubated with IL18 Monoclonal Antibody, Unconjugated (bsm-56205R) at 1:200 overnight at 4°C, followed by conjugation to the bs-0295G-HRP and DAB (C-0010) staining.
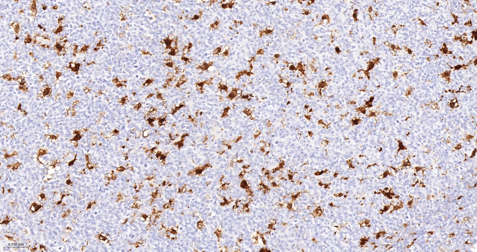
Paraformaldehyde-fixed, paraffin embedded Human Chronic tonsillitis; Antigen retrieval by boiling in sodium citrate buffer (pH6.0) for 15 min; The section was incubated with IL18 Monoclonal Antibody, Unconjugated (bsm-56205R) at 1:200 overnight at 4°C, followed by conjugation to the bs-0295G-HRP and DAB (C-0010) staining.
Paraformaldehyde-fixed, paraffin embedded (human tonsil); Antigen retrieval by boiling in sodium EDTA buffer (Ph9.0) for 15min; Block endogenous peroxidase by 3% hydrogen peroxide for 20 minutes; Blocking buffer (normal goat serum) at 37°C for 30min; Incubation with (IL18) Monoclonal Antibody, Unconjugated (bsm-56205R) at 1:250 overnight at 4°C, followed by operating according to SP Kit(Rabbit) (sp-0023) instructionsand DAB staining.
Paraformaldehyde-fixed, paraffin embedded (Human spleen); Antigen retrieval by boiling in sodium EDTA buffer (Ph9.0) for 15min; Block endogenous peroxidase by 3% hydrogen peroxide for 20 minutes; Blocking buffer (normal goat serum) at 37°C for 30min; Incubation with (IL18) Monoclonal Antibody, Unconjugated (bsm-56205R) at 1:250 overnight at 4°C, followed by operating according to SP Kit(Rabbit) (sp-0023) instructionsand DAB staining.
The Hela (H) cells were fixed with 4% PFA (10 min at r.t.) and then permeabilized with 90% ice-cold methanol for 20 min at -20℃,the cells then were incubated in 5%BSA to block non-specific protein-protein interactions (30 min at r.t.), followed by secondary antibody incubation for 40 min at room temperature. Primary Antibody (green):Rabbit Anti-IL18 antibody (bsm-56205R,1:100); Isotype Control (orange): Rabbit IgG (bs-0295P). Blank control (black): PBS. Acquisition of 20,000 events was performed.
版权所有 2004-2026 www.bioss.com.cn 北京博奥森生物技术有限公司
通过国际质量管理体系ISO 9001:2015 GB/T 19001-2016    证书编号: 00124Q34771R2M/1100
通过国际医疗器械-质量管理体系ISO 13485:2016 GB/T 42061-2022     证书编号: CQC24QY20047R0M/1100
京ICP备05066980号-1         京公网安备110107000727号