扫码关注公众号           扫码咨询技术支持           扫码咨询技术服务
  
客服热线:400-901-9800  客服QQ:4009019800  技术答疑  技术支持  质量反馈  关于我们  联系我们
产品中心-北京博奥森生物技术有限公司
首页 > 产品中心 > 一抗 > 产品信息
Collagen IV Recombinant Rabbit mAb (bsm-56208R)  
订购热线:400-901-9800
订购邮箱:sales@bioss.com.cn
订购QQ:  400-901-9800
技术支持:techsupport@bioss.com.cn
25ul/800.00元
50ul/1400.00元
100ul/2500.00元
大包装/询价

产品编号 bsm-56208R
英文名称 Collagen IV Recombinant Rabbit mAb
中文名称 IV型胶原蛋白重组兔单抗
别    名 Arresten; Canstatin; COL4A1; HANAC; ICH; POREN1; Collagen alpha 1(IV) Chain; Collagen IV alpha 1 Polypeptide; Collagen Of Basement Membrane alpha 1 Chain; Collagen Of Basement Membrane alpha 2 Chain; Collagen Type IV alpha 1; DKFZp686I14213; FLJ22259; collagen alpha-1(IV) chain preproprotein; collagen alpha-1(IV) chain preproprotein; Col4a1 protein; collagen of basement membrane, alpha-1 chain; collagen IV, alpha-1 polypeptide; collagen alpha-1(IV) chain; COL4A1 NC1 domain; Collagen Ⅳ; Collagen Type Ⅳ.  
抗体来源 Rabbit
克隆类型 Recombinant
克 隆 号 9E4
交叉反应 Human
产品应用 IHC-P=1:200-1000,IHC-F=1:200-1000,IF=1:200-1000
not yet tested in other applications.
optimal dilutions/concentrations should be determined by the end user.
理论分子量 161 kDa
检测分子量
细胞定位 细胞膜 细胞外基质 分泌型蛋白 
性    状 Liquid
浓    度 1mg/ml
免 疫 原 KLH conjugated synthetic peptide derived from human Collagen IV 
亚    型 IgG
纯化方法 affinity purified by Protein A
缓 冲 液 PBS (pH7.2) with 40% Glycerol, 0.05% BSA and 0.02% Proclin300.
保存条件 Shipped at 4℃. Store at -20℃ for one year. Avoid repeated freeze/thaw cycles.
注意事项 This product as supplied is intended for research use only, not for use in human, therapeutic or diagnostic applications.
PubMed PubMed
产品介绍 This gene encodes the major type IV alpha collagen chain of basement membranes. Like the other members of the type IV collagen gene family, this gene is organized in a head-to-head conformation with another type IV collagen gene so that each gene pair shares a common promoter. [provided by RefSeq, Jul 2008]

Function:
Type IV collagen is the major structural component of glomerular basement membranes (GBM), forming a 'chicken-wire' meshwork together with laminins, proteoglycans and entactin/nidogen. Arresten, comprising the C-terminal NC1 domain, inhibits angiogenesis and tumor formation. The C-terminal half is found to possess the anti-angiogenic activity. Specifically inhibits endothelial cell proliferation, migration and tube formation. Inhibits expression of hypoxia-inducible factor 1alpha and ERK1/2 and p38 MAPK activation. Ligand for alpha1/beta1 integrin.

Subunit:
There are six type IV collagen isoforms, alpha 1(IV)-alpha 6(IV), each of which can form a triple helix structure with 2 other chains to generate type IV collagen network.

Subcellular Location:
Secreted, extracellular space, extracellular matrix, basement membrane.

Tissue Specificity:
Highly expressed in placenta.

Post-translational modifications:
Lysines at the third position of the tripeptide repeating unit (G-X-Y) are hydroxylated in all cases and bind carbohydrates. Prolines at the third position of the tripeptide repeating unit (G-X-Y) are hydroxylated in some or all of the chains. Type IV collagens contain numerous cysteine residues which are involved in inter- and intramolecular disulfide bonding. 12 of these, located in the NC1 domain, are conserved in all known type IV collagens. The trimeric structure of the NC1 domains is stabilized by covalent bonds between Lys and Met residues. Proteolytic processing produces the C-terminal NC1 peptide, arresten.

DISEASE:
Defects in COL4A1 are a cause of brain small vessel disease with hemorrhage (BSVDH) [MIM:607595]. Brain small vessel diseases underlie 20 to 30 percent of ischemic strokes and a larger proportion of intracerebral hemorrhages. Inheritance is autosomal dominant. Defects in COL4A1 are the cause of hereditary angiopathy with nephropathy aneurysms and muscle cramps (HANAC) [MIM:611773]. The clinical renal manifestations include hematuria and bilateral large cysts. Histologic analysis revealed complex basement membrane defects in kidney and skin. The systemic angiopathy appears to affect both small vessels and large arteries. Defects in COL4A1 are a cause of familial porencephaly (POREN1) [MIM:175780]. Porencephaly is a term used for any cavitation or cerebrospinal fluid-filled cyst in the brain. Porencephaly type 1 is usually unilateral and results from focal destructive lesions such as fetal vascular occlusion or birth trauma. Type 2, or schizencephalic porencephaly, is usually symmetric and represents a primary defect or arrest in the development of the cerebral ventricles.

Similarity:
Contains 1 FAD-binding FR-type domain. Contains 1 ferric oxidoreductase domain.

SWISS:
P02462

Gene ID:
1282

Database links:

Entrez Gene: 1282 Human

Omim: 120070 Human

SwissProt: P02462 Human

Unigene: 17441 Human



IV型胶原为基底膜的主要成分,主要用于各种良恶性组织(乳腺癌、胃肠道癌等)中基底膜分布情况的研究.IV型胶原是构成基底膜的主要成分。该抗体可特异性识别人的IV型胶原,与人类皮肤、肾、肌肉、脾、淋巴结、胎盘和肺的基底膜呈阳性反应,主要用于各种组织癌症中基底膜情况的研究。
产品图片
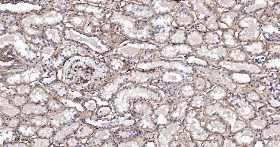
Paraformaldehyde-fixed, paraffin embedded Human Kidney; Antigen retrieval by boiling in sodium citrate buffer (pH6.0) for 15 min; The section was incubated with Collagen IV Monoclonal Antibody, Unconjugated (bsm-56208R) at 1:200 overnight at 4°C, followed by conjugation to the bs-0295G-HRP and DAB (C-0010) staining.
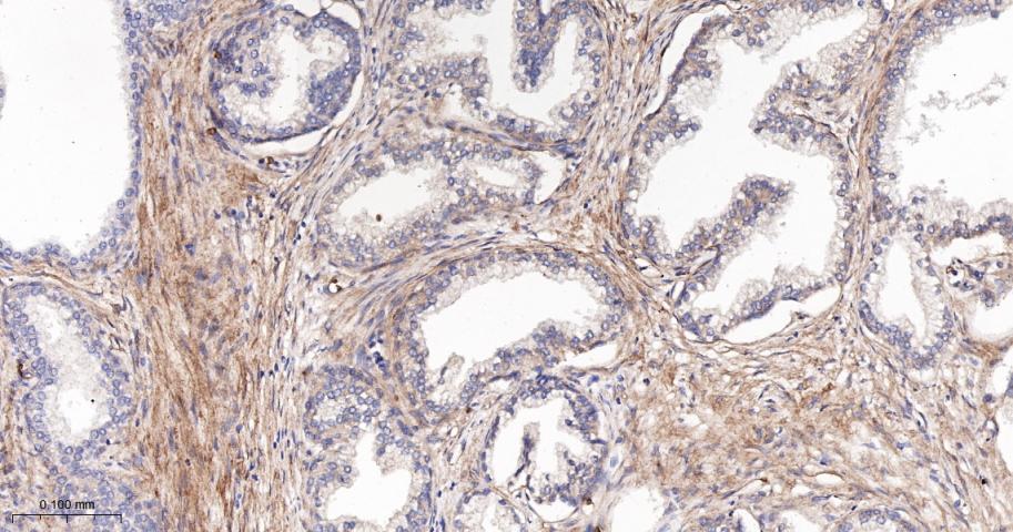
Paraformaldehyde-fixed, paraffin embedded Human Prostate Cancer; Antigen retrieval by boiling in sodium citrate buffer (pH6.0) for 15 min; The section was incubated with Collagen IV Monoclonal Antibody, Unconjugated (bsm-56208R) at 1:200 overnight at 4°C, followed by conjugation to the bs-0295G-HRP and DAB (C-0010) staining.
Paraformaldehyde-fixed, paraffin embedded Human Glioma; Antigen retrieval by boiling in sodium citrate buffer (pH6.0) for 15 min; The section was incubated with Collagen IV Monoclonal Antibody, Unconjugated (bsm-56208R) at 1:200 overnight at 4°C, followed by conjugation to the bs-0295G-HRP and DAB (C-0010) staining.
Paraformaldehyde-fixed, paraffin embedded (human liver carcinoma); Antigen retrieval by boiling in sodium EDTA buffer (Ph9.0) for 15min; Block endogenous peroxidase by 3% hydrogen peroxide for 20 minutes; Blocking buffer (normal goat serum) at 37°C for 30min; Incubation with (Collagen IV) Monoclonal Antibody, Unconjugated (bsm-56208R) at 1:500 overnight at 4°C, followed by operating according to SP Kit(Rabbit) (sp-0023) instructionsand DAB staining.
Paraformaldehyde-fixed, paraffin embedded (human lung carcinoma); Antigen retrieval by boiling in sodium EDTA buffer (Ph9.0) for 15min; Block endogenous peroxidase by 3% hydrogen peroxide for 20 minutes; Blocking buffer (normal goat serum) at 37°C for 30min; Incubation with (Collagen IV) Monoclonal Antibody, Unconjugated (bsm-56208R) at 1:500 overnight at 4°C, followed by operating according to SP Kit(Rabbit) (sp-0023) instructionsand DAB staining.
版权所有 2004-2026 www.bioss.com.cn 北京博奥森生物技术有限公司
通过国际质量管理体系ISO 9001:2015 GB/T 19001-2016    证书编号: 00124Q34771R2M/1100
通过国际医疗器械-质量管理体系ISO 13485:2016 GB/T 42061-2022     证书编号: CQC24QY20047R0M/1100
京ICP备05066980号-1         京公网安备110107000727号