扫码关注公众号           扫码咨询技术支持           扫码咨询技术服务
  
客服热线:400-901-9800  客服QQ:4009019800  技术答疑  技术支持  质量反馈  关于我们  联系我们
产品中心-北京博奥森生物技术有限公司
首页 > 产品中心 > 一抗 > 产品信息
CD28 Rabbit pAb (bs-43587R)  
订购热线:400-901-9800
订购邮箱:sales@bioss.com.cn
订购QQ:  400-901-9800
技术支持:techsupport@bioss.com.cn
50ul/1180.00元
100ul/1980.00元
200ul/2800.00元
大包装/询价

产品编号 bs-43587R
英文名称 CD28 Rabbit pAb
中文名称 CD28抗体
别    名 CD 28; CD28 antigen; CD28 molecule; MGC138290; T cell antigen CD28; T cell specific surface glycoprotein; T cell specific surface glycoprotein CD28; Tp44; CD28_HUMAN; CD28_MOUSE.  
抗体来源 Rabbit
克隆类型 Polyclonal
克 隆 号
交叉反应 Human (predicted: Rabbit,Dog,Horse)
产品应用 WB=1:500-2000,IHC-P=1:100-500,IHC-F=1:100-500,IF=1:100-500
not yet tested in other applications.
optimal dilutions/concentrations should be determined by the end user.
理论分子量 25 kDa
检测分子量
细胞定位 细胞膜 
性    状 Liquid
浓    度 1mg/ml
免 疫 原 Recombinant human CD28 protein: 19-152/220 <Extracellular>
亚    型 IgG
纯化方法 affinity purified by Protein A
缓 冲 液 0.01M TBS(pH7.4) with 1% BSA, 0.02% Proclin300 and 50% Glycerol.
保存条件 Shipped at 4℃. Store at -20 °C for one year. Avoid repeated freeze/thaw cycles.
注意事项 This product as supplied is intended for research use only, not for use in human, therapeutic or diagnostic applications.
PubMed PubMed
产品介绍 The protein encoded by this gene is essential for T-cell proliferation and survival, cytokine production, and T-helper type-2 development. Several alternatively spliced transcript variants encoding different isoforms have been found for this gene.[provided by RefSeq, Jul 2011]

Function:
Possibly involved in T-cell activation.

Subunit:
Homodimer; disulfide-linked. Interacts with DUSP14. Binds to CD80/B7-1 and CD86/B7-2/B70.

Subcellular Location:
Membrane; Single-pass type I membrane protein.

Tissue Specificity:
Expressed in T-cells and plasma cells, but not in less mature B-cells.

Similarity:
Contains 1 Ig-like V-type (immunoglobulin-like) domain.

SWISS:
P10747

Gene ID:
940

Database links:

Entrez Gene: 940 Human

Entrez Gene: 12487 Mouse

Omim: 186760 Human

SwissProt: P10747 Human

SwissProt: P31041 Mouse

SwissProt: P42069 Rabbit

Unigene: 591629 Human

Unigene: 255003 Mouse



CD28是免疫球蛋白超家族成员之一 ,为T细胞特异性由二硫键连接的同源二聚体表面糖蛋白,主要分布在外周血淋巴细胞。对迟发型超敏反应以及Tc介导的细胞毒作用都有免疫调节作用。
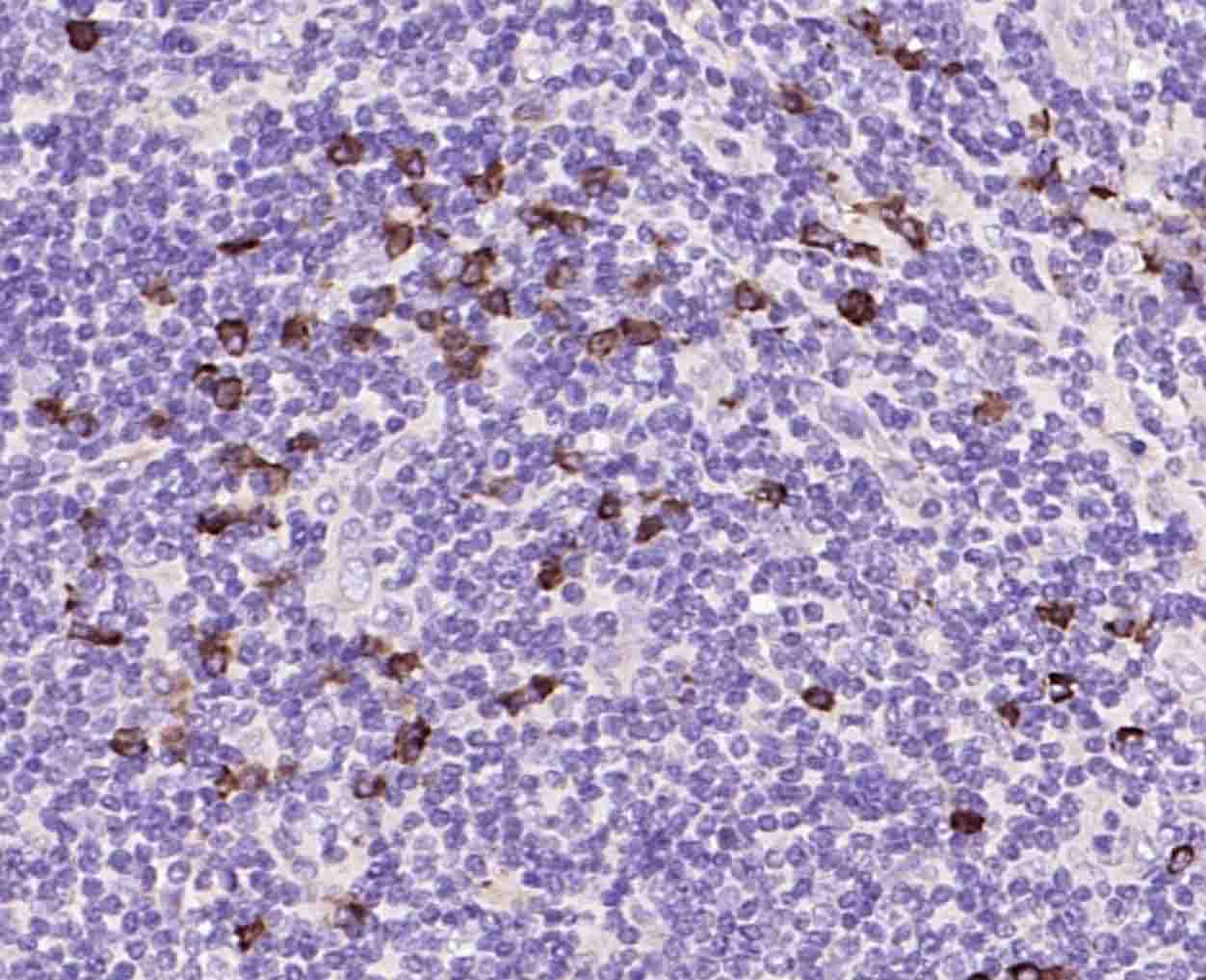
产品图片
Sample: Lane 1: Recombinant human CD28 protein, C-hFc (HEK193)(bs-43587P) Primary: Anti-CD28 (bs-43587R) at 1/1000 dilution Secondary: IRDye800CW Goat Anti-Rabbit IgG at 1/20000 dilution Predicted band size: 25 kDa Observed band size: 60 kDa
Paraformaldehyde-fixed, paraffin embedded (human tonsil); Antigen retrieval by boiling in sodium citrate buffer (pH6.0) for 15min; Block endogenous peroxidase by 3% hydrogen peroxide for 20 minutes; Blocking buffer (normal goat serum) at 37°C for 30min; Incubation with (CD28 Rabbit pAb) Polyclonal Antibody, Unconjugated (bs-43587R) at 1:200 overnight at 4°C, followed by operating according to SP Kit(Rabbit) (sp-0023) instructionsand DAB staining.
版权所有 2004-2026 www.bioss.com.cn 北京博奥森生物技术有限公司
通过国际质量管理体系ISO 9001:2015 GB/T 19001-2016    证书编号: 00124Q34771R2M/1100
通过国际医疗器械-质量管理体系ISO 13485:2016 GB/T 42061-2022     证书编号: CQC24QY20047R0M/1100
京ICP备05066980号-1         京公网安备110107000727号