扫码关注公众号           扫码咨询技术支持           扫码咨询技术服务
  
客服热线:400-901-9800  客服QQ:4009019800  技术答疑  技术支持  质量反馈  人才招聘  关于我们  联系我们
产品中心-北京博奥森生物技术有限公司
首页 > 产品中心 > 一抗 > 产品信息
Histone H3 Recombinant Rabbit mAb (bsm-33042R)  
订购热线:400-901-9800
订购邮箱:sales@bioss.com.cn
订购QQ:  400-901-9800
技术支持:techsupport@bioss.com.cn
100ul/580.00元
200ul/980.00元
500ul/2280.00元
大包装/询价

产品编号 bsm-33042R
英文名称 Histone H3 Recombinant Rabbit mAb
中文名称 组蛋白H3(核内参)重组兔单抗
别    名 H3/A; H3C10; H3C11; H3C12; H3C2; H3C3; H3C4; H3C6; H3C7; H3C8; H3FA; HIST1H3A; H3/b; H3C1; H3FB; HIST1H3D; H3.1; H3/c; H3FC; HIST1H3C; H3/d; H3FD; HIST1H3E; H3.f; H3/f; H3FF; HIST1H3I; H3/h; H3FH; HIST1H3G; H3/j; H3FJ; HIST1H3J; H3/k; H3F1K; H3FK; HIST1H3H; H3/l; H3FL; HIST1H3B; H3/i; H3FI; HIST1H3F; H3.2-221; H3c13; H3c14; H3c15; Hist1; H3-143; H3-b; H3-53; H3-f; H3-291; H3-H; H3.1-221; H3 histone; Hist1h2ail; Hist1h2ail1; Hist2h3c; Hist3h3; H31_HUMAN; Histone H3/a; Histone H3/b; Histone H3/c; Histone H3/d; Histone H3/f; Histone H3/h; Histone H3/i; Histone H3/j; Histone H3/k; Histone H3/l; H3FC HIST1H3C; H33_HUMAN; H3-3A; H3-3B; H3.3A; H3F3; H3F3A; H3.3B; H3F3B; H31T_HUMAN; H3-4; H3/t; H3t; H3/g; Histone H3.4; H3FT; H3C_HUMAN; H3-5; Histone H3.5; H3F3C; H32_HUMAN; H3-clustered histone 13; H3-clustered histone 14; H3-clustered histone 15; Histone H3/m; Histone H3/o; HIST2H3A; H3F2; H3FM; HIST2H3D; H31_MOUSE; H3a; H3g; H3.1-291; H3h; H3.1-I; H3i; H32_MOUSE; H3-clustered histone 2; H3-clustered histone 3; H3-clustered histone 4; H3-clustered histone 6; H3-clustered histone 7; H3.2; H3b; H3f; H3.2-616; Hist2h3b; H3.2-615; Hist2h3c1; Hist2h3ca1; H3.2-614; Hist2h3c2; Hist2h3ca2; H31_RAT;   
产品类型 内参抗体 重组兔单抗 
抗体来源 Rabbit
克隆类型 Recombinant
克 隆 号 3G1
交叉反应 Human,Mouse,Rat (predicted: Hamster,Bee,Yeast)
产品应用 WB=1:5000-50000,IHC-P=1:500-2000,IHC-F=1:500-2000,IF=1:500-2000,Flow-Cyt=1μg/Test,ICC/IF=1:100-500,ChIP=6μg/IP
not yet tested in other applications.
optimal dilutions/concentrations should be determined by the end user.
理论分子量 15 kDa
检测分子量 15
细胞定位 细胞核 
性    状 Liquid
浓    度 1mg/ml
免 疫 原 KLH conjugated synthetic peptide derived from human Histone H3 
亚    型 IgG
纯化方法 affinity purified by Protein A
缓 冲 液 0.01M TBS (pH7.4) with 1% BSA, 0.02% Proclin300 and 50% Glycerol.
保存条件 Shipped at 4℃. Store at -20℃ for one year. Avoid repeated freeze/thaw cycles.
注意事项 This product as supplied is intended for research use only, not for use in human, therapeutic or diagnostic applications.
PubMed PubMed
产品介绍 Modulation of the chromatin structure plays an important role in the regulation of transcription in eukaryotes. The nucleosome, made up of four core histone proteins (H2A, H2B, H3 and H4), is the primary building block of chromatin. The N-terminal tail of core histones undergoes different posttranslational modifications including acetylation, phosphorylation and methylation. These modifications occur in response to cell signal stimuli and have a direct effect on gene expression. In most species, the histone H2B is primarily acetylated at lysines 5, 12, 15 and 20. Histone H3 is primarily acetylated at lysines 9, 14, 18 and 23. Acetylation at lysine 9 appears to have a dominant role in histone deposition and chromatin assembly in some organisms. Phosphorylation at Ser10 of histone H3 is tightly correlated with chromosome condensation during both mitosis and meiosis.

Function:
Core component of nucleosome. Nucleosomes wrap and compact DNA into chromatin, limiting DNA accessibility to the cellular machineries which require DNA as a template. Histones thereby play a central role in transcription regulation, DNA repair, DNA replication and chromosomal stability. DNA accessibility is regulated via a complex set of post-translational modifications of histones, also called histone code, and nucleosome remodeling. H3 is deposited into chromatin exclusively through a DNA replication-coupled pathway that can be associated with either DNA duplication or DNA repair synthesis during meiotic homologous recombination.

Subunit:
The nucleosome is a histone octamer containing two molecules each of H2A, H2B, H3 and H4 assembled in one H3-H4 heterotetramer and two H2A-H2B heterodimers. The octamer wraps approximately 147 bp of DNA. Interacts with GCN5, whereby H3S10ph increases histone-protein interactions. Interacts with PDD1 and PDD3.

Subcellular Location:
Nucleus. Chromosome. Note=Localizes to both the large, transcriptionally active, somatic macronucleus (MAC) and the small, transcriptionally inert, germ line micronucleus (MIC).

Tissue Specificity:
Expressed in testicular cells.Expressed during S phase, then expression strongly decreases as cell division slows down during the process of differentiation.

Post-translational modifications:
Phosphorylated to form H3S10ph. H3S10ph promotes subsequent H3K14ac formation by GCN5. H3S10ph is only found in the mitotically dividing MIC, but not in the amitotically dividing MAC. H3S10ph is correlated with chromosome condensation during mitotic or meiotic micronuclear divisions. Acetylation of histone H3 leads to transcriptional activation. H3K14ac formation by GCN5 is promoted by H3S10ph. H3K9acK14ac is the preferred acetylated form of newly synthesized H3. Acetylation occurs almost exclusively in the MAC. Methylated to form H3K4me. H3K4me is only found in the transcriptionally active MAC. Methylated to form H3K9me in developing MACs during conjugation, when genome-wide DNA elimination occurs. At this stage, H3K9me specifically occurs on DNA sequences being eliminated (IES), probably targeted by small scan RNAs (scnRNAs) bound to IES, and is required for efficient IES elimination. H3K9me is required for the interaction with the chromodomains of PDD1 and PDD3. The full-length protein H3S (slow migrating) is converted to H3F (fast migrating) by proteolytic removal of the first 6 residues. H3F is unique to MIC, and processing seems to occur regularly each generation at a specific point in the cell cycle.

DISEASE:
Expressed during S phase, then expression strongly decreases as cell division slows down during the process of differentiation.

Similarity:
Belongs to the histone H3 family.

SWISS:
Q71DI3

Gene ID:
8968

Database links:

Entrez Gene : 8350 Human

Entrez Gene : 8351 Human

Entrez Gene : 8352 Human

Entrez Gene : 8353 Human

Entrez Gene : 8354 Human

Entrez Gene : 8355 Human

Entrez Gene : 8356 Human

Entrez Gene : 8357 Human

Entrez Gene : 8358 Human

Entrez Gene : 8968 Human

Entrez Gene : 260423 Mouse

Entrez Gene : 319148 Mouse

Entrez Gene : 319149 Mouse

Entrez Gene : 319150 Mouse

Entrez Gene : 319151 Mouse

Entrez Gene : 319152 Mouse

Entrez Gene : 319153 Mouse

Entrez Gene : 360198 Mouse

Entrez Gene : 97908 Mouse

Entrez Gene : 100364501 Rat

Entrez Gene : 100365669 Rat

Entrez Gene : 291159 Rat

Entrez Gene : 314977 Rat

Entrez Gene : 364716 Rat

Entrez Gene : 679950 Rat

Entrez Gene : 679994 Rat

Entrez Gene : 680511 Rat

Entrez Gene : 680599 Rat

Entrez Gene : 682330 Rat

Entrez Gene : 691496 Rat

SwissProt : P68431 Human

SwissProt : P84243 Human

SwissProt : Q16695 Human

SwissProt : Q6NXT2 Human

SwissProt : Q71DI3 Human

SwissProt : P68433 Mouse

SwissProt : P84228 Mouse

SwissProt : Q6LED0 Rat



产品组分及规格

编号

组分

规格

浓度

储存

1

PBS缓冲液干粉

2 L×2

20x

室温

2

抗原修复缓冲液

20 ml

100x

2-8

3

内源性过氧化物酶阻断剂

3 ml

RTU

2-8

4

封闭工作液

3 ml

RTU

2-8

5

一抗Rat Histone H3 Mouse mAb

6 ml

RTU

2-8

6

二抗HRP-Goat anti-Mouse IgG pAb

6 ml

RTU

2-8

7

DAB kit20×)显色液

0.3 ml

RTU

-20℃

8

DAB kit20×)稀释液

0.3 ml

RTU

-20

9

复染试剂

5 ml

RTU

室温

10

封片剂

5 ml

RTU

室温

11

对照大鼠脑

1

RTU

室温

12

说明书

1


背景

Histone H3 is one of the DNA-binding proteins found in the chromatin of all eukaryotic cells. H3 along with four core histone proteins binds to DNA forming the structure of the nucleosome. Histones play a central role in transcription regulation, DNA repair, DNA replication and chromosomal stability. Post translationally, histones are modified in a variety of ways to either directly change the chromatin structure or allow for the binding of specific transcription factors. The N-terminal tail of histone H3 protrudes from the globular nucleosome core and can undergo several different types of post-translational modification that influence cellular processes. These modifications include the covalent attachment of methyl or acetyl groups to lysine and arginine amino acids and the phosphorylation of serine or threonine.


石蜡包埋组织的免疫组织化学方案

1. 脱蜡水化

石蜡切片置于新鲜二甲苯中浸泡脱蜡3次,每次15 min;依次置于不同浓度(100%95%90%80%70%)乙醇浸泡5 min,再置于蒸馏水洗涤5 min,重复3次。

2. 抗原修复

沸水浴修复:将100×抗原修复缓冲液(试剂2用蒸馏水稀释成抗原修复缓冲液,放入修复盒中并提前加热至95-100℃(注意盖好以防液体蒸发),然后将切片放入修复盒中,在沸水浴环境中保持外沸状态15 min,室温自然冷却;用PBS缓冲液(试剂1,将干粉溶解在2L蒸馏水中)清洗5 min,重复3次。

3. 阻断内源性过氧化物酶

用吸水纸吸去玻片上多余的液体,用免疫组化笔在组织周围画圈,加入2-4内源性过氧化物酶阻断剂(试剂3,室温下置于湿盒中孵育15 min,用PBS洗涤5 min,重复3次。

4. 血清封闭

用吸水纸吸去玻片上多余的液体,加入2-4封闭工作液(试剂4,置于湿盒内37℃封闭20 min,以减少非特异性染色。

5. 一抗孵育

用吸水纸吸去玻片上多余的液体,加入2-4大鼠Histone H3 鼠单抗工作液(试剂5,置于湿盒中,4℃孵育过夜或37℃孵育1-2 h

6. 复温

4℃孵育过夜后,室温下复温15 min (若在室温下孵育一抗,则直接进入下一步清洗);用PBS洗涤5 min,重复3次。

7. 二抗孵育

用吸水纸吸玻片上多余的液体,加入2-4HRP标记羊抗鼠IgG工作液(试剂6,置于湿盒中,37℃孵育1-2 h;用PBS洗涤5 min,重复3

8. 显色

用吸水纸吸去玻片上多余的液体,在每张切片上滴加约50 μL新配制的DAB工作液(试剂7:试剂8:PBS=1:1:18,作用3-5 min。显微镜下观察结果,达到合适的显色强度后,用蒸馏水冲洗切片以终止反应,用蒸馏水冲洗5 min,重复3次。

9. 复染

滴加适量复染试剂(试剂9复染3-5 min,蒸馏水冲洗5 min,滴加盐酸酒精分化约30 s,蒸馏水洗涤5 min,重复2次。

10. 脱水封片

将玻片依次置于不同浓度(70%80%90%95%100%)乙醇,各5 min;然后置于新鲜二甲苯中浸泡脱蜡3,每次15 min。用吸水纸吸去多余的二甲苯,滴加适量封片剂(试剂10在组织上,将盖玻片盖在组织上,避免产生气泡。


注意事项

1. 建议检测时进行阴性及阳性对照,以提高实验的可靠性。

2. 本品中的配套试剂,请不要用其他生产商产品替换使用。

3. DAB为致癌物质,请采取必要的防范措施。

4. PBS洗涤液(试剂1)配制后在4℃可保存一周;抗原修复液(试剂2)及显色剂(试剂78)的工作液需每次实验时现用现配。

*5. 发表论文时引用本产品的写作建议 "IHC0111R, Bioss Antibodies"。引用示例: “Rat tissue sections using Rat Histone H3 IHC Kit (IHC0111R, Bioss Antibodies) were stained for Histone H3 according to the manufacturer's instructions.”

产品图片
25 ug total protein per lane of various lysates (see on figure) probed with Histone H3 monoclonal antibody, unconjugated (bsm-33042R) at 1:5000 dilution and 4°C overnight incubation. Followed by conjugated secondary antibody incubation at r.t. for 60 min.
Paraformaldehyde-fixed, paraffin embedded Human Kidney; Antigen retrieval by boiling in sodium citrate buffer (pH6.0) for 15 min; Antibody incubation with Histone H3 Monoclonal Antibody, Unconjugated(bsm-33042R) at 1:200 overnight at 4°C, followed by conjugation to the bs-0295G-HRP and DAB (C-0010) staining.
Paraformaldehyde-fixed, paraffin embedded Human Pancreas; Antigen retrieval by boiling in sodium citrate buffer (pH6.0) for 15 min; Antibody incubation with Histone H3 Monoclonal Antibody, Unconjugated(bsm-33042R) at 1:200 overnight at 4°C, followed by conjugation to the SP Kit(Rabbit, SP-0023) and DAB (C-0010) staining.
Paraformaldehyde-fixed, paraffin embedded Human Colon Cancer; Antigen retrieval by boiling in sodium citrate buffer (pH6.0) for 15 min; Antibody incubation with Histone H3 Monoclonal Antibody, Unconjugated(bsm-33042R) at 1:200 overnight at 4°C, followed by conjugation to the SP Kit(Rabbit, SP-0023) and DAB (C-0010) staining.
Paraformaldehyde-fixed, paraffin embedded Human Liver Cancer; Antigen retrieval by boiling in sodium citrate buffer (pH6.0) for 15 min; Antibody incubation with Histone H3 Monoclonal Antibody, Unconjugated(bsm-33042R) at 1:200 overnight at 4°C, followed by conjugation to the SP Kit(Rabbit, SP-0023) and DAB (C-0010) staining.
Paraformaldehyde-fixed, paraffin embedded Human Lung Cancer; Antigen retrieval by boiling in sodium citrate buffer (pH6.0) for 15 min; Antibody incubation with Histone H3 Monoclonal Antibody, Unconjugated(bsm-33042R) at 1:200 overnight at 4°C, followed by conjugation to the SP Kit(Rabbit, SP-0023) and DAB (C-0010) staining.
Paraformaldehyde-fixed, paraffin embedded Mouse Thymus; Antigen retrieval by boiling in sodium citrate buffer (pH6.0) for 15 min; Antibody incubation with Histone H3 Monoclonal Antibody, Unconjugated(bsm-33042R) at 1:200 overnight at 4°C, followed by conjugation to the SP Kit(Rabbit, SP-0023) and DAB (C-0010) staining.
Paraformaldehyde-fixed, paraffin embedded Rat Thymus; Antigen retrieval by boiling in sodium citrate buffer (pH6.0) for 15 min; Antibody incubation with Histone H3 Monoclonal Antibody, Unconjugated(bsm-33042R) at 1:200 overnight at 4°C, followed by conjugation to the SP Kit(Rabbit, SP-0023) and DAB (C-0010) staining.
Paraformaldehyde-fixed, paraffin embedded Mouse Kidney; Antigen retrieval by boiling in sodium citrate buffer (pH6.0) for 15 min; Antibody incubation with Histone H3 Monoclonal Antibody, Unconjugated(bsm-33042R) at 1:200 overnight at 4°C, followed by conjugation to the SP Kit(Rabbit, SP-0023) and DAB (C-0010) staining.
Paraformaldehyde-fixed, paraffin embedded Rat Kidney; Antigen retrieval by boiling in sodium citrate buffer (pH6.0) for 15 min; Antibody incubation with Histone H3 Monoclonal Antibody, Unconjugated(bsm-33042R) at 1:200 overnight at 4°C, followed by conjugation to the SP Kit(Rabbit, SP-0023) and DAB (C-0010) staining.
Paraformaldehyde-fixed, paraffin embedded Human Cerebrum; Antigen retrieval by boiling in sodium citrate buffer (pH6.0) for 15 min; Antibody incubation with Histone H3 Monoclonal Antibody, Unconjugated(bsm-33042R) at 1:200 overnight at 4°C, followed by conjugation to the SP Kit(Rabbit, SP-0023) and DAB (C-0010) staining.
Paraformaldehyde-fixed, paraffin embedded Mouse Cerebrum; Antigen retrieval by boiling in sodium citrate buffer (pH6.0) for 15 min; Antibody incubation with Histone H3 Monoclonal Antibody, Unconjugated(bsm-33042R) at 1:200 overnight at 4°C, followed by conjugation to the SP Kit(Rabbit, SP-0023) and DAB (C-0010) staining.
Paraformaldehyde-fixed, paraffin embedded Rat Cerebrum; Antigen retrieval by boiling in sodium citrate buffer (pH6.0) for 15 min; Antibody incubation with Histone H3 Monoclonal Antibody, Unconjugated(bsm-33042R) at 1:200 overnight at 4°C, followed by conjugation to the SP Kit(Rabbit, SP-0023) and DAB (C-0010) staining.
Paraformaldehyde-fixed, paraffin embedded Human Colon; Antigen retrieval by boiling in sodium citrate buffer (pH6.0) for 15 min; Antibody incubation with Histone H3 Monoclonal Antibody, Unconjugated(bsm-33042R) at 1:200 overnight at 4°C, followed by conjugation to the SP Kit(Rabbit, SP-0023) and DAB (C-0010) staining.
Paraformaldehyde-fixed, paraffin embedded Mouse Colon; Antigen retrieval by boiling in sodium citrate buffer (pH6.0) for 15 min; Antibody incubation with Histone H3 Monoclonal Antibody, Unconjugated(bsm-33042R) at 1:200 overnight at 4°C, followed by conjugation to the SP Kit(Rabbit, SP-0023) and DAB (C-0010) staining.
Paraformaldehyde-fixed, paraffin embedded Rat Colon; Antigen retrieval by boiling in sodium citrate buffer (pH6.0) for 15 min; Antibody incubation with Histone H3 Monoclonal Antibody, Unconjugated(bsm-33042R) at 1:200 overnight at 4°C, followed by conjugation to the SP Kit(Rabbit, SP-0023) and DAB (C-0010) staining.
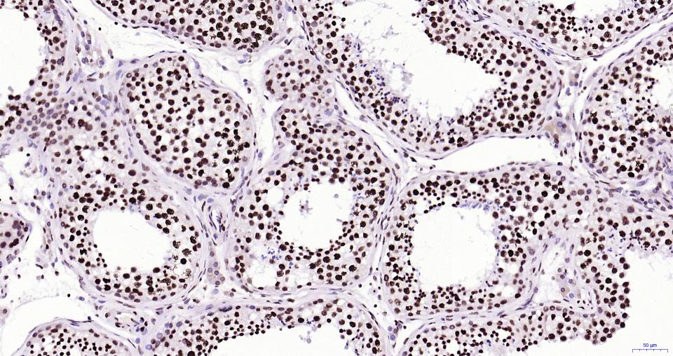
Paraformaldehyde-fixed, paraffin embedded Human Testicles; Antigen retrieval by boiling in sodium citrate buffer (pH6.0) for 15 min; Antibody incubation with Histone H3 Monoclonal Antibody, Unconjugated(bsm-33042R) at 1:200 overnight at 4°C, followed by conjugation to the SP Kit(Rabbit, SP-0023) and DAB (C-0010) staining.
Paraformaldehyde-fixed, paraffin embedded Mouse Testicles; Antigen retrieval by boiling in sodium citrate buffer (pH6.0) for 15 min; Antibody incubation with Histone H3 Monoclonal Antibody, Unconjugated(bsm-33042R) at 1:200 overnight at 4°C, followed by conjugation to the SP Kit(Rabbit, SP-0023) and DAB (C-0010) staining.
Paraformaldehyde-fixed, paraffin embedded Rat Testicles; Antigen retrieval by boiling in sodium citrate buffer (pH6.0) for 15 min; Antibody incubation with Histone H3 Monoclonal Antibody, Unconjugated(bsm-33042R) at 1:200 overnight at 4°C, followed by conjugation to the SP Kit(Rabbit, SP-0023) and DAB (C-0010) staining.
Paraformaldehyde-fixed, paraffin embedded Human Liver; Antigen retrieval by boiling in sodium citrate buffer (pH6.0) for 15 min; Antibody incubation with Histone H3 Monoclonal Antibody, Unconjugated(bsm-33042R) at 1:200 overnight at 4°C, followed by conjugation to the SP Kit(Rabbit, SP-0023) and DAB (C-0010) staining.
Paraformaldehyde-fixed, paraffin embedded Mouse Liver; Antigen retrieval by boiling in sodium citrate buffer (pH6.0) for 15 min; Antibody incubation with Histone H3 Monoclonal Antibody, Unconjugated(bsm-33042R) at 1:200 overnight at 4°C, followed by conjugation to the SP Kit(Rabbit, SP-0023) and DAB (C-0010) staining.
Paraformaldehyde-fixed, paraffin embedded Rat Liver; Antigen retrieval by boiling in sodium citrate buffer (pH6.0) for 15 min; Antibody incubation with Histone H3 Monoclonal Antibody, Unconjugated(bsm-33042R) at 1:200 overnight at 4°C, followed by conjugation to the SP Kit(Rabbit, SP-0023) and DAB (C-0010) staining.
4% Paraformaldehyde-fixed Hela (H) cell; Triton X-100 at r.t. for 20 min; Antibody incubation with (Histone H3) monoclonal Antibody, unconjugated (bsm-33042R) 1:100, 90 min at 37°C; followed by conjugated Goat Anti-Rabbit IgG antibody (green, bs-60295G-BF488) at 37°C for 90 min, DAPI (blue, C02-04002) was used to stain the cell nuclei. PBS instead of the primary antibody was used as the blank control.
Paraformaldehyde-fixed, paraffin embedded Human Colon; Antigen retrieval by boiling in sodium citrate buffer (pH6.0) for 15 min; The section was incubated with Histone H3 Antibody, Unconjugated (bsm-33042R) at 1:200 overnight at 4°C. Followed by conjugated Goat Anti-Rabbit IgG antibody (Green, bs-0295G-BF488), DAPI (blue, C02-04002) was used to stain the cell nuclei.
Paraformaldehyde-fixed, paraffin embedded Mouse Colon; Antigen retrieval by boiling in sodium citrate buffer (pH6.0) for 15 min; Antibody incubation with Histone H3 Monoclonal Antibody, Unconjugated (bsm-33042R) at 1:200 overnight at 4°C. Followed by conjugated Goat Anti-Rabbit IgG antibody (green, bs-0295G-BF488), DAPI (blue, C02-04002) was used to stain the cell nuclei.
Paraformaldehyde-fixed, paraffin embedded Rat Colon; Antigen retrieval by boiling in sodium citrate buffer (pH6.0) for 15 min; Antibody incubation with Histone H3 Monoclonal Antibody, Unconjugated (bsm-33042R) at 1:200 overnight at 4°C. Followed by conjugated Goat Anti-Rabbit IgG antibody (green, bs-0295G-BF488), DAPI (blue, C02-04002) was used to stain the cell nuclei.
The Hela (H) cells were fixed with 4% PFA (10 min at r.t.) and then permeabilized with 90% ice-cold methanol for 20 min at -20℃,the cells then were incubated in 5%BSA to block non-specific protein-protein interactions (30 min at r.t.).Primary Antibody (green):Rabbit Anti-Histone H3 antibody (bsm-33042R): 1 μg/10^6 cells; Secondary Antibody (white blue): Goat anti-Rabbit IgG-BF488 (bs-60295G-BF488): 1 μg/test. Blank control (black): PBS. Acquisition of 20,000 events was performed.
Chromatin immunoprecipitation was performed using cross-linked chromatin from 5×10⁶ HeLa cells per IP, with 6 μg of bsm-33042R antibody or 6 μg of normal rabbit IgG(negative control bs-0295P) , and 20 μL of Protein A/G MagBeads per IP. The immunoprecipitated DNA was quantified by real-time PCR using primers specific for the human GAPDH-CDS, RPL30 exon 3, LDHA-promoter and FOXO3A-promoter regions. The data are presented as enrichment of each sample relative to the total amount of input at each amplicon.
版权所有 2004-2026 www.bioss.com.cn 北京博奥森生物技术有限公司
通过国际质量管理体系ISO 9001:2015 GB/T 19001-2016    证书编号: 00124Q34771R2M/1100
通过国际医疗器械-质量管理体系ISO 13485:2016 GB/T 42061-2022     证书编号: CQC24QY20047R0M/1100
京ICP备05066980号-1         京公网安备110107000727号