扫码关注公众号           扫码咨询技术支持           扫码咨询技术服务
  
客服热线:400-901-9800  客服QQ:4009019800  技术答疑  技术支持  质量反馈  人才招聘  关于我们  联系我们
产品中心-北京博奥森生物技术有限公司
首页 > 产品中心 > 试剂盒 > 产品信息
Human CD90/Thy1 Ready-To-Use IHC Kit (IHC0238H)  
订购热线:400-901-9800
订购邮箱:sales@bioss.com.cn
订购QQ:  400-901-9800
技术支持:techsupport@bioss.com.cn
50T/3200.00元
大包装/询价

产品编号 IHC0238H
英文名称 Human CD90/Thy1 Ready-To-Use IHC Kit
中文名称 人CD90即用型免疫组化试剂盒
别    名 CD90; CDw90; THY1; Thy-1 membrane glycoprotein; Thy-1 antigen; CD7  
克 隆 号
适用样品基质 FFPE tissue
保存条件 Please store components at the temperatures indicated on the individual tube labels. The kit is stable for 6 months from the date of receipt.
注意事项 This product as supplied is intended for research use only, not for use in human, therapeutic or diagnostic applications.
产品介绍 IHC0238H is a ready-to-use IHC kit for staining of human CD90/Thy1. The kit provides all reagents, from antigen retrieval to cover slip mounting, that require little to no diluting or handling prior to use. Simply apply the reagents to your sample slide according to the protocol and you're steps away from obtaining high-quality IHC data.

SWISS:
P04216

Gene ID:
7070

产品图片
Immunohistochemical analysis of paraffin embedded human brain tissue slide using IHC0238H (Human CD90/Thy1 IHC Kit).
Immunohistochemical analysis of paraffin embedded human colon cancer tissue slide using IHC0238H (Human CD90/Thy1 IHC Kit).
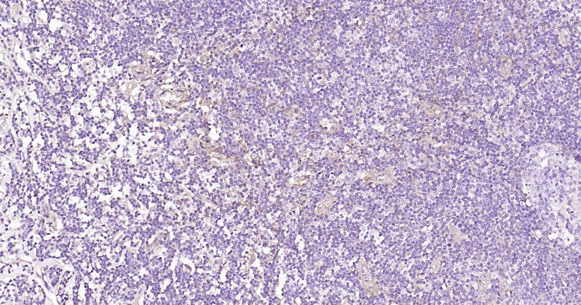
Immunohistochemical analysis of paraffin embedded human tonsil tissue slide using IHC0238H (Human CD90/Thy1 IHC Kit).
版权所有 2004-2026 www.bioss.com.cn 北京博奥森生物技术有限公司
通过国际质量管理体系ISO 9001:2015 GB/T 19001-2016    证书编号: 00124Q34771R2M/1100
通过国际医疗器械-质量管理体系ISO 13485:2016 GB/T 42061-2022     证书编号: CQC24QY20047R0M/1100
京ICP备05066980号-1         京公网安备110107000727号