扫码关注公众号           扫码咨询技术支持           扫码咨询技术服务
  
客服热线:400-901-9800  客服QQ:4009019800  技术答疑  技术支持  质量反馈  关于我们  联系我们
产品中心-北京博奥森生物技术有限公司
首页 > 产品中心 > 一抗 > 产品信息
CYP7A1 Rabbit pAb (bs-42415R)  
订购热线:400-901-9800
订购邮箱:sales@bioss.com.cn
订购QQ:  400-901-9800
技术支持:techsupport@bioss.com.cn
50ul/1180.00元
100ul/1980.00元
200ul/2800.00元
大包装/询价

产品编号 bs-42415R
英文名称 CYP7A1 Rabbit pAb
中文名称 细胞色素P450 7A1抗体/胆固醇7a羟化酶抗体
别    名 Cholesterol 7 alpha hydroxylase; Cholesterol 7 alpha monooxygenase; cholesterol 7 alpha-monooxygenase; Cholesterol 7-alpha-hydroxylase; Cholesterol 7-alpha-monooxygenase; CP7A; CYP 7; CYP7; CYPVII; Cytochrome P450 7A1; cytochrome P450, family 7, subfamily A, polypeptide 1; Cytochrome P450, subfamily VIIA (cholesterol 7 alpha monooxygenase); CP7A1_HUMAN  
抗体来源 Rabbit
克隆类型 Polyclonal
克 隆 号
交叉反应 Human
产品应用 WB=1:500-2000,IHC-P=1:50-200,IHC-F=1:50-200,IF=1:50-200
not yet tested in other applications.
optimal dilutions/concentrations should be determined by the end user.
理论分子量 55 kDa
检测分子量
细胞定位 细胞膜 
性    状 Liquid
浓    度 1mg/ml
免 疫 原 Recombinant human CYP7A1 protein: 155-504/504 
亚    型 IgG
纯化方法 affinity purified by Protein A
缓 冲 液 0.01M TBS (pH7.4) with 1% BSA, 0.02% Proclin300 and 50% Glycerol.
保存条件 Shipped at 4℃. Store at -20℃ for one year. Avoid repeated freeze/thaw cycles.
注意事项 This product as supplied is intended for research use only, not for use in human, therapeutic or diagnostic applications.
PubMed PubMed
产品介绍 This gene encodes a member of the cytochrome P450 superfamily of enzymes. The cytochrome P450 proteins are monooxygenases which catalyze many reactions involved in drug metabolism and synthesis of cholesterol, steroids and other lipids. This endoplasmic reticulum membrane protein catalyzes the first reaction in the cholesterol catabolic pathway in the liver, which converts cholesterol to bile acids. This reaction is the rate limiting step and the major site of regulation of bile acid synthesis, which is the primary mechanism for the removal of cholesterol from the body. Polymorphisms in the promoter of this gene are associated with defects in bile acid synthesis. [provided by RefSeq, Feb 2010].

Function:
Catalyzes a rate-limiting step in cholesterol catabolism and bile acid biosynthesis by introducing a hydrophilic moiety at position 7 of cholesterol. Important for cholesterol homeostasis.

Subcellular Location:
Endoplasmic reticulum membrane; Peripheral membrane protein. Microsome membrane; Peripheral membrane protein.

Tissue Specificity:
Detected in liver.

Similarity:
Belongs to the cytochrome P450 family.

SWISS:
P22680

Gene ID:
1581

Database links:

Entrez Gene : 1581 Human

Entrez Gene : 13122 Mouse

Entrez Gene : 25428 Rat

Omim : 118455 Human

SwissProt : P22680 Human

SwissProt : Q64505 Mouse

SwissProt : P18125 Rat

Unigene : 1644 Human

Unigene : 57029 Mouse

Unigene : 10737 Rat



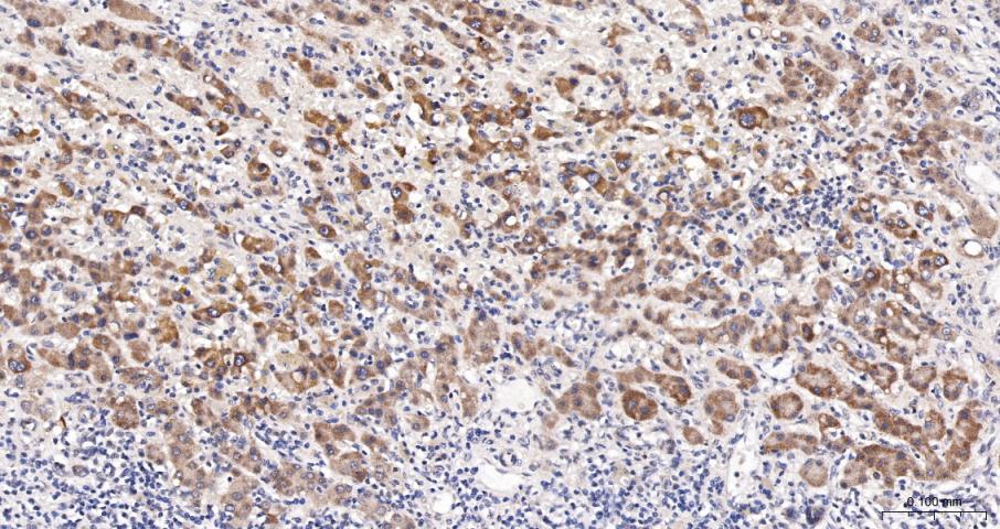
产品图片
25 ug total protein per lane of various lysates (see on figure) probed with CYP7A1 polyclonal antibody, unconjugated (bs-42415R) at 1:1000 dilution and 4°C overnight incubation. Followed by conjugated secondary antibody incubation at r.t. for 60 min.
Paraformaldehyde-fixed, paraffin embedded Human Liver; Antigen retrieval by boiling in sodium citrate buffer (pH6.0) for 15 min; The section was incubated with CYP7A1  Polyclonal Antibody, Unconjugated (bs-42415R) at 1:200 overnight at 4°C, followed by conjugation to the bs-0295G-HRP and DAB (C-0010) staining.
Paraformaldehyde-fixed, paraffin embedded Human Liver Cancer; Antigen retrieval by boiling in sodium citrate buffer (pH6.0) for 15 min; The section was incubated with CYP7A1  Polyclonal Antibody, Unconjugated (bs-42415R) at 1:200 overnight at 4°C, followed by conjugation to the bs-0295G-HRP and DAB (C-0010) staining.
版权所有 2004-2026 www.bioss.com.cn 北京博奥森生物技术有限公司
通过国际质量管理体系ISO 9001:2015 GB/T 19001-2016    证书编号: 00124Q34771R2M/1100
通过国际医疗器械-质量管理体系ISO 13485:2016 GB/T 42061-2022     证书编号: CQC24QY20047R0M/1100
京ICP备05066980号-1         京公网安备110107000727号