扫码关注公众号           扫码咨询技术支持           扫码咨询技术服务
  
客服热线:400-901-9800  客服QQ:4009019800  技术答疑  技术支持  质量反馈  关于我们  联系我们
产品中心-北京博奥森生物技术有限公司
首页 > 产品中心 > 一抗 > 产品信息
phospho-STAT5A (Y694) Recombinant Rabbit mAb (bsm-54554R)  
订购热线:400-901-9800
订购邮箱:sales@bioss.com.cn
订购QQ:  400-901-9800
技术支持:techsupport@bioss.com.cn
50ul/1400.00元
100ul/2500.00元
大包装/询价

产品编号 bsm-54554R
英文名称 phospho-STAT5A (Y694) Recombinant Rabbit mAb
中文名称
别    名 STAT5a (phospho Y694); p-STAT5a(Tyr694); STAT5A(phospho Y694); Mammary gland factor; Mammary gland factor; MGF; MGF; Signal transducer and activator of transcription 5A; Signal transducer and activator of transcription 5A; STA5A_HUMAN; STAT 5; STAT 5A; STAT5A.  
抗体来源 Rabbit
克隆类型 Recombinant
克 隆 号 13A16
交叉反应 Human,Mouse,Rat
产品应用 WB=1:500-2000,IHC-P=1:100-500,IHC-F=1:100-500,IF=1:100-500
not yet tested in other applications.
optimal dilutions/concentrations should be determined by the end user.
理论分子量 91 kDa
检测分子量
性    状 Liquid
浓    度 1mg/ml
免 疫 原 A synthesized peptide derived from human p-STAT5A (Y694): DG-pY-VK 
亚    型 IgG
纯化方法 affinity purified by Protein A
缓 冲 液 0.01M TBS (pH7.4) with 1% BSA, 0.02% Proclin300 and 50% Glycerol.
保存条件 Shipped at 4℃. Store at -20℃ for one year. Avoid repeated freeze/thaw cycles.
注意事项 This product as supplied is intended for research use only, not for use in human, therapeutic or diagnostic applications.
PubMed PubMed
产品介绍
产品图片
TF-1 (H) cells were treated with or without hGM-CSF (100ng/ml) for 10 min, 25 μg total protein per lane of cell lysates (see on figure) probed with Phospho-STAT5A (Y694) monoclonal antibody, unconjugated (bsm-54554R) at 1:1000 dilution and 4°C overnight incubation. Followed by conjugated secondary antibody incubation at r.t. for 60 min.
Paraformaldehyde-fixed, paraffin embedded Human Breast; Antigen retrieval by boiling in sodium citrate buffer (pH6.0) for 15 min; Antibody incubation with phospho-STAT5 (Y694) Monoclonal Antibody, Unconjugated(bsm-54554R) at 1:200 overnight at 4°C, followed by conjugation to the bs-0295G-HRP and DAB (C-0010) staining.
Paraformaldehyde-fixed, paraffin embedded Human Ovarain Cancer; Antigen retrieval by boiling in sodium citrate buffer (pH6.0) for 15 min; Antibody incubation with phospho-STAT5 (Y694) Monoclonal Antibody, Unconjugated(bsm-54554R) at 1:200 overnight at 4°C, followed by conjugation to the bs-0295G-HRP and DAB (C-0010) staining.
Paraformaldehyde-fixed, paraffin embedded Human Colon Cancer; Antigen retrieval by boiling in sodium citrate buffer (pH6.0) for 15 min; Antibody incubation with phospho-STAT5 (Y694) Monoclonal Antibody, Unconjugated(bsm-54554R) at 1:200 overnight at 4°C, followed by conjugation to the bs-0295G-HRP and DAB (C-0010) staining.
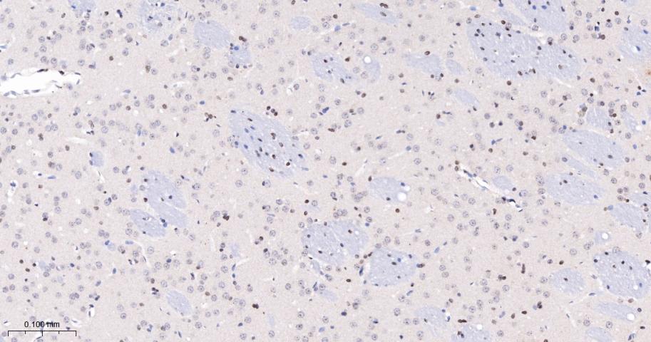
Paraformaldehyde-fixed, paraffin embedded Human Cerebrum; Antigen retrieval by boiling in sodium citrate buffer (pH6.0) for 15 min; Antibody incubation with phospho-STAT5 (Y694) Monoclonal Antibody, Unconjugated(bsm-54554R) at 1:200 overnight at 4°C, followed by conjugation to the bs-0295G-HRP and DAB (C-0010) staining.
Paraformaldehyde-fixed, paraffin embedded Rat Cerebrum; Antigen retrieval by boiling in sodium citrate buffer (pH6.0) for 15 min; Antibody incubation with phospho-STAT5 (Y694) Monoclonal Antibody, Unconjugated(bsm-54554R) at 1:200 overnight at 4°C, followed by conjugation to the bs-0295G-HRP and DAB (C-0010) staining.
Paraformaldehyde-fixed, paraffin embedded Mouse Cerebrum; Antigen retrieval by boiling in sodium citrate buffer (pH6.0) for 15 min; Antibody incubation with phospho-STAT5 (Y694) Monoclonal Antibody, Unconjugated(bsm-54554R) at 1:200 overnight at 4°C, followed by conjugation to the bs-0295G-HRP and DAB (C-0010) staining.
版权所有 2004-2026 www.bioss.com.cn 北京博奥森生物技术有限公司
通过国际质量管理体系ISO 9001:2015 GB/T 19001-2016    证书编号: 00124Q34771R2M/1100
通过国际医疗器械-质量管理体系ISO 13485:2016 GB/T 42061-2022     证书编号: CQC24QY20047R0M/1100
京ICP备05066980号-1         京公网安备110107000727号