扫码关注公众号           扫码咨询技术支持           扫码咨询技术服务
  
客服热线:400-901-9800  客服QQ:4009019800  技术答疑  技术支持  质量反馈  人才招聘  关于我们  联系我们
产品中心-北京博奥森生物技术有限公司
首页 > 产品中心 > 一抗 > 产品信息
PCNA Recombinant Rabbit mAb, HRP conjugated (bsm-33035R-HRP)  
订购热线:400-901-9800
订购邮箱:sales@bioss.com.cn
订购QQ:  400-901-9800
技术支持:techsupport@bioss.com.cn
100ul/3200.00元
大包装/询价

产品编号 bsm-33035R-HRP
英文名称 PCNA Recombinant Rabbit mAb, HRP conjugated
中文名称 HRP标记的增殖细胞核抗原(内参)重组兔单抗
别    名 Cyclin; DNA polymerase delta auxiliary protein; HGCN8729; MGC8367; Mutagen-sensitive 209 protein; Pcna/cyclin; PCNAR; Polymerase delta accessory protein; Proliferating Cell Nuclear Antigen  
抗体来源 Rabbit
克隆类型 Polyclonal
交叉反应 Human, Mouse, Rat
产品应用 IHC-P=1:200-1000
not yet tested in other applications.
optimal dilutions/concentrations should be determined by the end user.
性    状 Lyophilized or Liquid
浓    度 1mg/ml
免 疫 原 KLH conjugated synthetic peptide derived from human PCNA Recombinant Rabbit mAb, HRP conjugated 
亚    型 IgG
纯化方法 affinity purified by Protein A
保存条件 Shipped at 4℃. Store at -20℃ for one year. Avoid repeated freeze/thaw cycles.
注意事项 This product as supplied is intended for research use only, not for use in human, therapeutic or diagnostic applications.
PubMed PubMed
产品介绍 Proliferating cell nuclear antigen (PCNA) is a 28kDa nuclear protein associated with the cell cycle, a nuclear protein vital for cellular DNA synthesis. Proliferating cell nuclear antigen was originally identified by immunofluorescence as a nuclear protein whose appearance correlated with the proliferate state of the cell. PCNA is required for replication of DNA in vitro and has been identified as the auxiliary protein (cofactor) for DNA polymerase delta. The anti-PCNA antibodies react with the nuclei of proliferating cells. PCNA is essential for cellular DNA synthesis and is also required for the in vitro replication of simian virus 40 (SV40) DNA where it acts to coordinate leading and lagging strand synthesis at the replication fork. The PCNA protein may fulfil several separate roles in the cell nucleus associated with changes in its antigenic structure.

产品图片
25 ug total protein per lane of various lysates (see on figure) probed with PCNA monoclonal antibody, HRP conjugated (bsm-33035R-HRP) at 1:1000 dilution and 4°C overnight incubation.
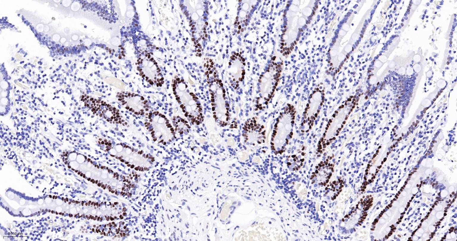
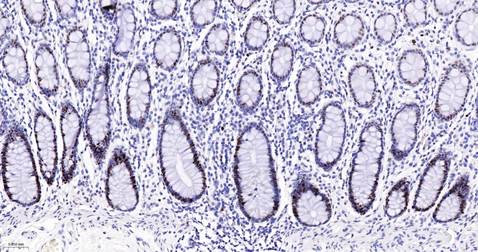
Paraformaldehyde-fixed, paraffin embedded Human Duodenum; Antigen retrieval by boiling in sodium citrate buffer (pH6.0) for 15 min; The section was incubated with PCNA Monoclonal Antibody (bsm-33035R-HRP) at 1:200 overnight at 4°C, and DAB (C-0010) staining.
Paraformaldehyde-fixed, paraffin embedded Human Colon; Antigen retrieval by boiling in sodium citrate buffer (pH6.0) for 15 min; The section was incubated with PCNA Monoclonal Antibody (bsm-33035R-HRP) at 1:200 overnight at 4°C, and DAB (C-0010) staining.
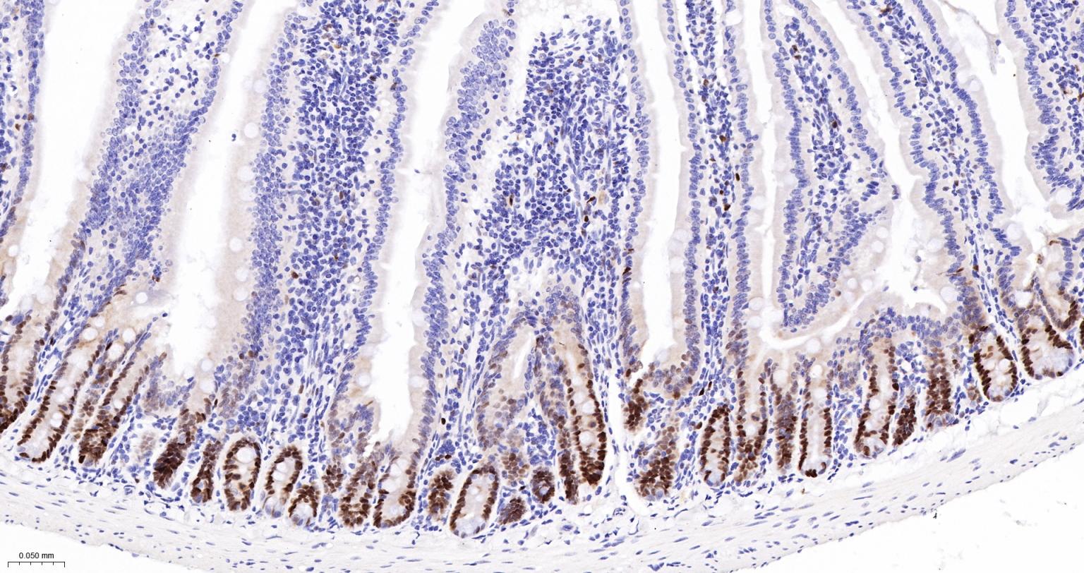
Paraformaldehyde-fixed, paraffin embedded Mouse Small Intestine; Antigen retrieval by boiling in sodium citrate buffer (pH6.0) for 15 min; The section was incubated with PCNA Monoclonal Antibody (bsm-33035R-HRP) at 1:200 overnight at 4°C, and DAB (C-0010) staining.
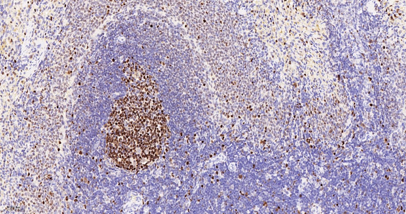
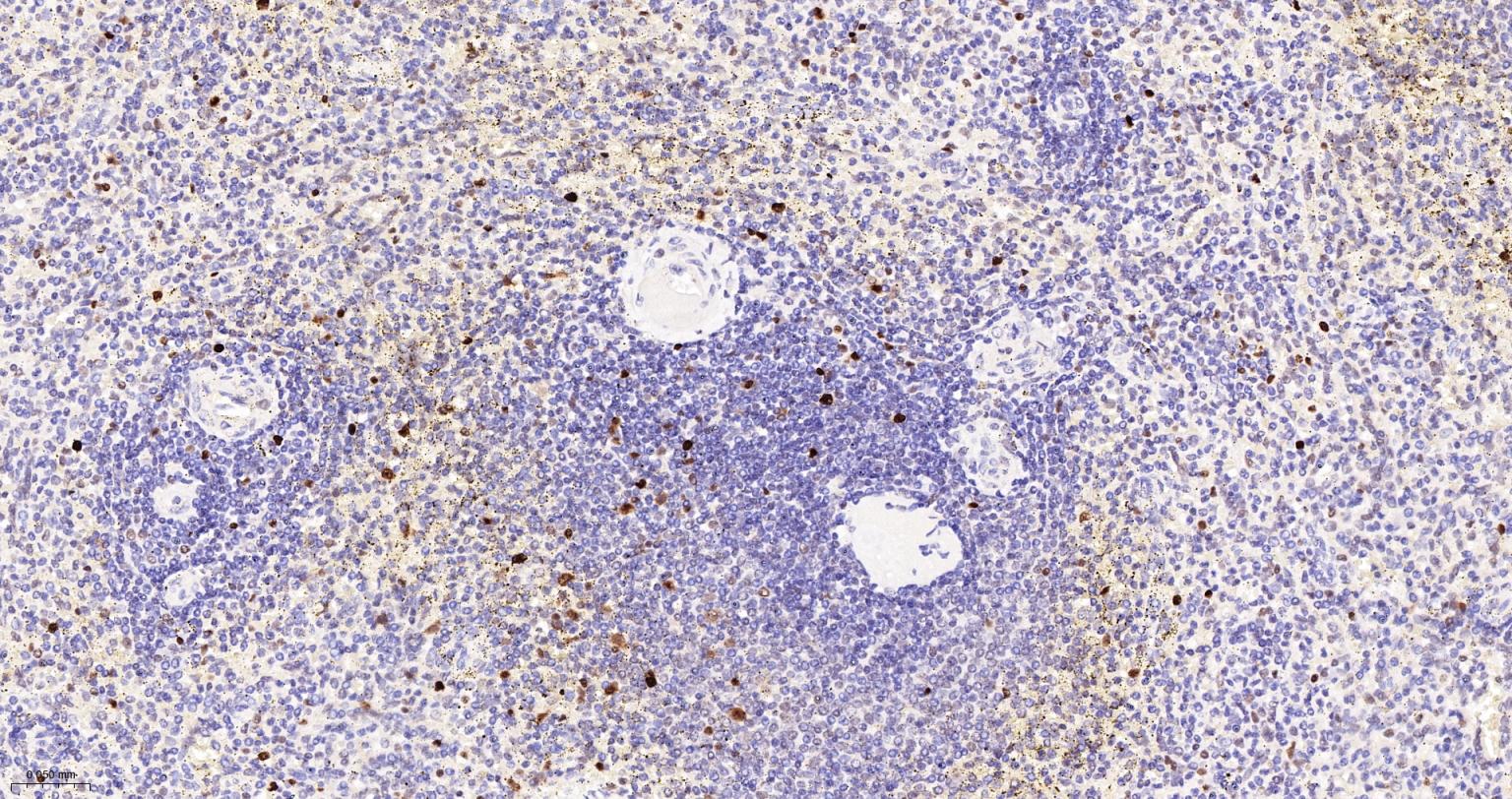
Paraformaldehyde-fixed, paraffin embedded Human Spleen; Antigen retrieval by boiling in sodium citrate buffer (pH6.0) for 15 min; The section was incubated with PCNA Monoclonal Antibody (bsm-33035R-HRP) at 1:200 overnight at 4°C, and DAB (C-0010) staining.
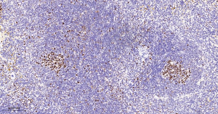
Paraformaldehyde-fixed, paraffin embedded Rat Spleen; Antigen retrieval by boiling in sodium citrate buffer (pH6.0) for 15 min; The section was incubated with PCNA Monoclonal Antibody (bsm-33035R-HRP) at 1:200 overnight at 4°C, and DAB (C-0010) staining.
Paraformaldehyde-fixed, paraffin embedded Mouse Spleen; Antigen retrieval by boiling in sodium citrate buffer (pH6.0) for 15 min; The section was incubated with PCNA Monoclonal Antibody (bsm-33035R-HRP) at 1:200 overnight at 4°C, and DAB (C-0010) staining.
版权所有 2004-2026 www.bioss.com.cn 北京博奥森生物技术有限公司
通过国际质量管理体系ISO 9001:2015 GB/T 19001-2016    证书编号: 00124Q34771R2M/1100
通过国际医疗器械-质量管理体系ISO 13485:2016 GB/T 42061-2022     证书编号: CQC24QY20047R0M/1100
京ICP备05066980号-1         京公网安备110107000727号