扫码关注公众号           扫码咨询技术支持           扫码咨询技术服务
  
客服热线:400-901-9800  客服QQ:4009019800  技术答疑  技术支持  质量反馈  关于我们  联系我们
产品中心-北京博奥森生物技术有限公司
首页 > 产品中心 > 一抗 > 产品信息
CD163 Recombinant Rabbit mAb, HRP conjugated (bsm-54015R-HRP)  
订购热线:400-901-9800
订购邮箱:sales@bioss.com.cn
订购QQ:  400-901-9800
技术支持:techsupport@bioss.com.cn
100ul/2980.00元
大包装/询价

产品编号 bsm-54015R-HRP
英文名称 CD163 Recombinant Rabbit mAb, HRP conjugated
中文名称 HRP标记的CD163重组兔单抗
别    名 Scavenger receptor cysteine-rich type 1 protein M130; CD 163; CD163 antigen; CD163 molecule; Hemoglobin Scavenger Receptor; M130; M130 antigen precursor; Macrophage associated antigen; MM130; C163A_HUMAN.  
抗体来源 Rabbit
克隆类型 Recombinant
克 隆 号 8G1
交叉反应 Human, Mouse, Rat
产品应用 WB=1:500-2000, IHC-P=1:100-500, IHC-F=1:100-500
not yet tested in other applications.
optimal dilutions/concentrations should be determined by the end user.
性    状 Lyophilized or Liquid
浓    度 1mg/ml
免 疫 原 KLH conjugated synthetic peptide derived from human CD163 Recombinant Rabbit mAb, HRP conjugated 
亚    型 IgG
纯化方法 affinity purified by Protein A
保存条件 Shipped at 4℃. Store at -20℃ for one year. Avoid repeated freeze/thaw cycles.
注意事项 This product as supplied is intended for research use only, not for use in human, therapeutic or diagnostic applications.
PubMed PubMed
产品介绍 The protein encoded by this gene is a member of the scavenger receptor cysteine-rich (SRCR) superfamily, and is exclusively expressed in monocytes and macrophages. It functions as an acute phase-regulated receptor involved in the clearance and endocytosis of hemoglobin/haptoglobin complexes by macrophages, and may thereby protect tissues from free hemoglobin-mediated oxidative damage. This protein may also function as an innate immune sensor for bacteria and inducer of local inflammation. Alternatively spliced transcript variants encoding different isoforms have been described for this gene. [provided by RefSeq, Aug 2011]

产品图片
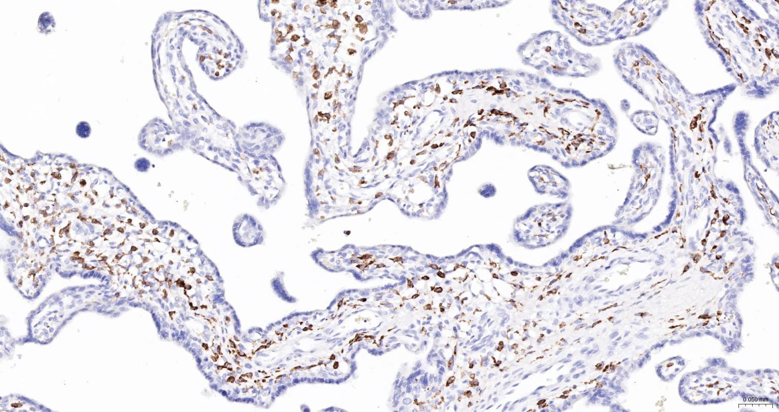
Paraformaldehyde-fixed, paraffin embedded Human Placenta; Antigen retrieval by boiling in sodium citrate buffer (pH6.0) for 15 min; The section was incubated with CD163 Monoclonal Antibody (bsm-54015R-HRP) at 1:200 overnight at 4°C, and DAB (C-0010) staining.
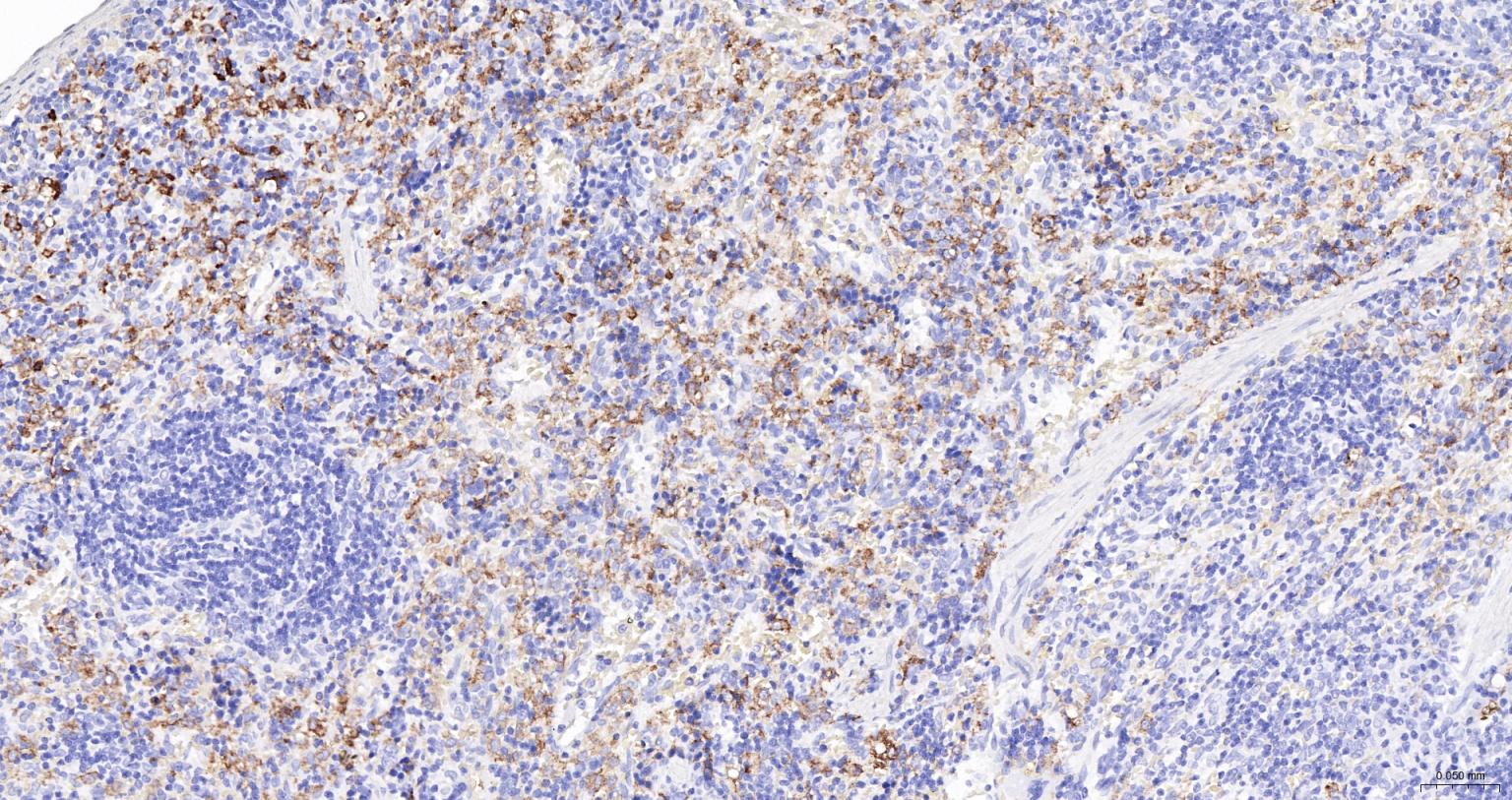
Paraformaldehyde-fixed, paraffin embedded Human Spleen; Antigen retrieval by boiling in sodium citrate buffer (pH6.0) for 15 min; The section was incubated with CD163 Monoclonal Antibody (bsm-54015R-HRP) at 1:200 overnight at 4°C, and DAB (C-0010) staining.
Paraformaldehyde-fixed, paraffin embedded Human Liver; Antigen retrieval by boiling in sodium citrate buffer (pH6.0) for 15 min; The section was incubated with CD163 Monoclonal Antibody (bsm-54015R-HRP) at 1:200 overnight at 4°C, and DAB (C-0010) staining.
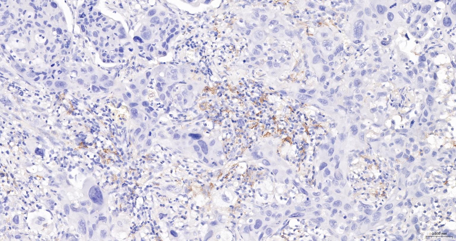
Paraformaldehyde-fixed, paraffin embedded Human serous fluid carcinoma of ovary; Antigen retrieval by boiling in sodium citrate buffer (pH6.0) for 15 min; The section was incubated with CD163 Monoclonal Antibody (bsm-54015R-HRP) at 1:200 overnight at 4°C, and DAB (C-0010) staining.
Paraformaldehyde-fixed, paraffin embedded Human Lung Cancer; Antigen retrieval by boiling in sodium citrate buffer (pH6.0) for 15 min; The section was incubated with CD163 Monoclonal Antibody (bsm-54015R-HRP) at 1:200 overnight at 4°C, and DAB (C-0010) staining.
Paraformaldehyde-fixed, paraffin embedded Rat Spleen; Antigen retrieval by boiling in sodium citrate buffer (pH6.0) for 15 min; The section was incubated with CD163 Monoclonal Antibody (bsm-54015R-HRP) at 1:200 overnight at 4°C, and DAB (C-0010) staining.
Paraformaldehyde-fixed, paraffin embedded Rat Lung; Antigen retrieval by boiling in sodium citrate buffer (pH6.0) for 15 min; The section was incubated with CD163 Monoclonal Antibody (bsm-54015R-HRP) at 1:200 overnight at 4°C, and DAB (C-0010) staining.
版权所有 2004-2026 www.bioss.com.cn 北京博奥森生物技术有限公司
通过国际质量管理体系ISO 9001:2015 GB/T 19001-2016    证书编号: 00124Q34771R2M/1100
通过国际医疗器械-质量管理体系ISO 13485:2016 GB/T 42061-2022     证书编号: CQC24QY20047R0M/1100
京ICP备05066980号-1         京公网安备110107000727号