扫码关注公众号           扫码咨询技术支持           扫码咨询技术服务
  
客服热线:400-901-9800  客服QQ:4009019800  技术答疑  技术支持  质量反馈  关于我们  联系我们
产品中心-北京博奥森生物技术有限公司
首页 > 产品中心 > 一抗 > 产品信息
CD171/L1CAM Recombinant Rabbit mAb, HRP conjugated (bsm-52926R-HRP)  
订购热线:400-901-9800
订购邮箱:sales@bioss.com.cn
订购QQ:  400-901-9800
技术支持:techsupport@bioss.com.cn
100ul/2980.00元
大包装/询价

产品编号 bsm-52926R-HRP
英文名称 CD171/L1CAM Recombinant Rabbit mAb, HRP conjugated
中文名称 HRP标记的神经细胞粘附分子配体1重组兔单抗
别    名 L1CAM_HUMAN; Neural cell adhesion molecule L1; CAML1; MIC5; N-CAM-L1; NCAM-L1; CD171; L1 cell adhesion molecule; S10; HSAS; MASA; SPG1; HSAS1; N-CAM-L1;  
抗体来源 Rabbit
克隆类型 Recombinant
克 隆 号 1C3
交叉反应 Human
产品应用 WB=1:1000-5000, IHC-P=1:200-800, IHC-F=1:200-800
not yet tested in other applications.
optimal dilutions/concentrations should be determined by the end user.
性    状 Lyophilized or Liquid
浓    度 1mg/ml
免 疫 原 KLH conjugated synthetic peptide derived from human CD171/L1CAM Recombinant Rabbit mAb, HRP conjugated 
亚    型 IgG
纯化方法 affinity purified by Protein A
保存条件 Shipped at 4℃. Store at -20℃ for one year. Avoid repeated freeze/thaw cycles.
注意事项 This product as supplied is intended for research use only, not for use in human, therapeutic or diagnostic applications.
PubMed PubMed
产品介绍 L1cam (L1 cell adhesion molecule isoform 1 precursor) is an axonal glycoprotein belonging to the immunoglobulin supergene family. The ectodomain, consisting of several immunoglobulin-like domains and fibronectin-like repeats (type III), is linked via a single transmembrane sequence to a conserved cytoplasmic domain. This cell adhesion molecule plays an important role in nervous system development, including neuronal migration and differentiation. Mutations in the gene cause three X-linked neurological syndromes known by the acronym CRASH (corpus callosum hypoplasia, retardation, aphasia, spastic paraplegia and hydrocephalus). Alternative splicing of a neuron-specific exon is thought to be functionally relevant. [provided by RefSeq].

产品图片
Paraformaldehyde-fixed, paraffin embedded Human Gastric Cancer; Antigen retrieval by boiling in sodium citrate buffer (pH6.0) for 15 min; The section was incubated with CD171/L1CAM Monoclonal Antibody (bsm-52926R-HRP) at 1:200 overnight at 4°C, and DAB (C-0010) staining.
Paraformaldehyde-fixed, paraffin embedded Human Cerebellum; Antigen retrieval by boiling in sodium citrate buffer (pH6.0) for 15 min; The section was incubated with CD171/L1CAM Monoclonal Antibody (bsm-52926R-HRP) at 1:200 overnight at 4°C, and DAB (C-0010) staining.
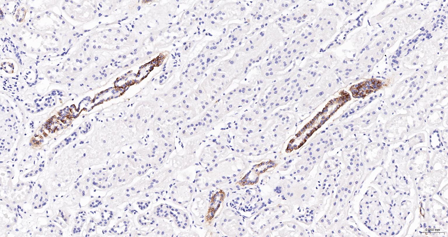
Paraformaldehyde-fixed, paraffin embedded Human Kidney; Antigen retrieval by boiling in sodium citrate buffer (pH6.0) for 15 min; The section was incubated with CD171/L1CAM Monoclonal Antibody (bsm-52926R-HRP) at 1:200 overnight at 4°C, and DAB (C-0010) staining.
Paraformaldehyde-fixed, paraffin embedded Human Cerebrum; Antigen retrieval by boiling in sodium citrate buffer (pH6.0) for 15 min; The section was incubated with CD171/L1CAM Monoclonal Antibody (bsm-52926R-HRP) at 1:200 overnight at 4°C, and DAB (C-0010) staining.
(Negative control) Paraformaldehyde-fixed, paraffin embedded Human Liver; Antigen retrieval by boiling in sodium citrate buffer (pH6.0) for 15 min; The section was incubated with CD171/L1CAM Monoclonal Antibody (bsm-52926R-HRP) at 1:200 overnight at 4°C, and DAB (C-0010) staining.
版权所有 2004-2026 www.bioss.com.cn 北京博奥森生物技术有限公司
通过国际质量管理体系ISO 9001:2015 GB/T 19001-2016    证书编号: 00124Q34771R2M/1100
通过国际医疗器械-质量管理体系ISO 13485:2016 GB/T 42061-2022     证书编号: CQC24QY20047R0M/1100
京ICP备05066980号-1         京公网安备110107000727号