扫码关注公众号           扫码咨询技术支持           扫码咨询技术服务
  
客服热线:400-901-9800  客服QQ:4009019800  技术答疑  技术支持  质量反馈  人才招聘  关于我们  联系我们
产品中心-北京博奥森生物技术有限公司
首页 > 产品中心 > 试剂盒 > 产品信息
NGFR/p75NTR Ready-To-Use IHC Kit (IHC0376)  
订购热线:400-901-9800
订购邮箱:sales@bioss.com.cn
订购QQ:  400-901-9800
技术支持:techsupport@bioss.com.cn
50T/3200.00元
大包装/询价

产品编号 IHC0376
英文名称 NGFR/p75NTR Ready-To-Use IHC Kit
中文名称 神经生长因子受体即用型免疫组化试剂盒
别    名 CD271; Gp80-LNGFR; LNGFR; NGFR; p75; p75(NTR); p75NTR; RNNGFRR; TNFRSF16  
克 隆 号
适用样品基质 FFPE tissue
保存条件 Please store components at the temperatures indicated on the individual tube labels. The kit is stable for 6 months from the date of receipt.
产品介绍 Neurotrophic factors control the survival, differentiation and maintenance of neurons in the peripheral and central nervous systems, and of other neural crest-derived cell types. Developing sympathetic neurons are absolutely dependent upon nerve growth factor (NGF) during the period of target competition in vivo. Antibodies reacting specifically with NGFR p75 are useful tools in the detection and characterization of NGFR p75, to enhance our understanding of a wide range of phenomena in the development, plasticity and repair of the nervous system.

SWISS:
P08138

Gene ID:
4804

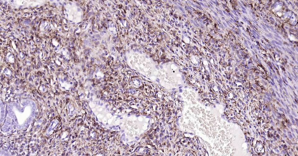
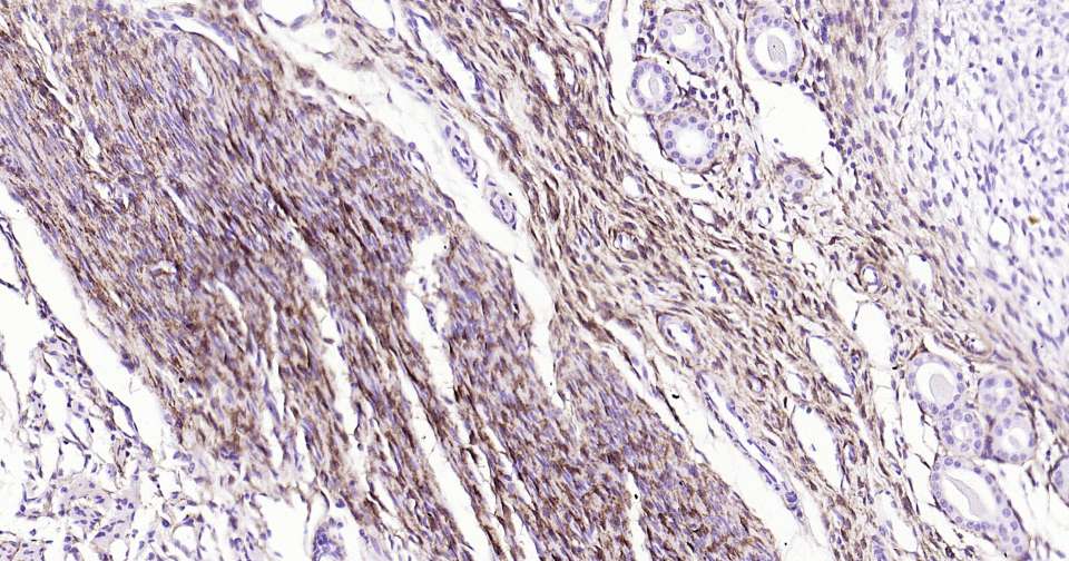
产品图片
Immunohistochemical analysis of paraffin embedded mouse uterus tissue slide using IHC0376 (NGFR/p75NTR Kit).
Immunohistochemical analysis of paraffin embedded human uterus tissue slide using IHC0376 (NGFR/p75NTR Kit).
Immunohistochemical analysis of paraffin embedded rat uterus tissue slide using IHC0376 (NGFR/p75NTR Kit).
版权所有 2004-2026 www.bioss.com.cn 北京博奥森生物技术有限公司
通过国际质量管理体系ISO 9001:2015 GB/T 19001-2016    证书编号: 00124Q34771R2M/1100
通过国际医疗器械-质量管理体系ISO 13485:2016 GB/T 42061-2022     证书编号: CQC24QY20047R0M/1100
京ICP备05066980号-1         京公网安备110107000727号