扫码关注公众号           扫码咨询技术支持           扫码咨询技术服务
  
客服热线:400-901-9800  客服QQ:4009019800  技术答疑  技术支持  质量反馈  人才招聘  关于我们  联系我们
产品中心-北京博奥森生物技术有限公司
首页 > 产品中心 > 试剂盒 > 产品信息
Human Parvalbumin Ready-To-Use IHC Kit (IHC0378H)  
订购热线:400-901-9800
订购邮箱:sales@bioss.com.cn
订购QQ:  400-901-9800
技术支持:techsupport@bioss.com.cn
50T/3200.00元
大包装/询价

产品编号 IHC0378H
英文名称 Human Parvalbumin Ready-To-Use IHC Kit
中文名称 人细小清蛋白即用型免疫组化试剂盒
别    名 PALB1; Pva; PVALB; D22S749; MGC116759; Parvalbumin alpha; PRVA_HUMAN; parvalbumin; PV  
克 隆 号
适用样品基质 FFPE tissue
保存条件 Please store components at the temperatures indicated on the individual tube labels. The kit is stable for 6 months from the date of receipt.
产品介绍 Parvalbumin (PV) is a calcium binding protein expressed in specific muscle fibers and fast-firing neurons. PV consists of a single, unbranched chain of linked amino acids and belongs to a larger group of EF hand proteins. Studies have demonstrated that parvalbumin acts in the decay of calcium in the contraction/ relaxation cycle of fast twitch muscles. This data has shown a positive correlation between the rate of relaxation and the concentration of parvalbumin. Parvalbumin is also expressed in a specific population of GABAergic interneurones which are thought to play a role in maintaining the balance between excitation and inhibition in the cortex as well as the hippocampus. In amyotrophic lateral sclerosis (ALS) patents, parvalbumin immunoreactivity is specifically absent from neuron populations lost early in ALS.

SWISS:
P20472

Gene ID:
5816

产品图片
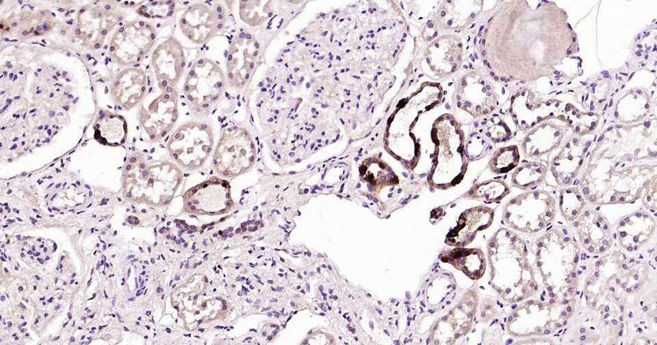
Immunohistochemical analysis of paraffin embedded human kidney tissue slide using IHC0378H (Human Parvalbumin Kit).
Immunohistochemical analysis of paraffin embedded human brain tissue slide using IHC0378H (Human Parvalbumin Kit).
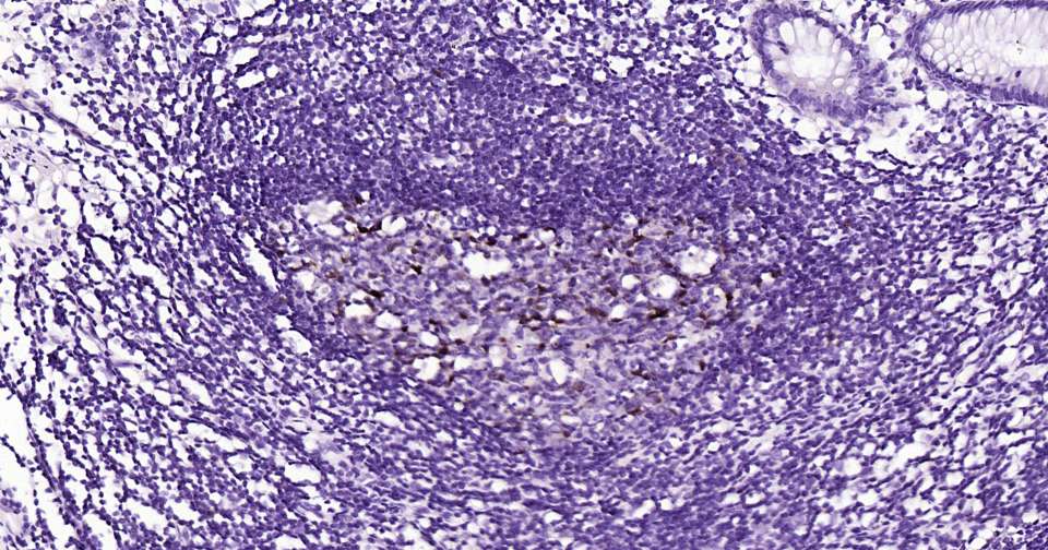
Immunohistochemical analysis of paraffin embedded human colon tissue slide using IHC0378H (Human Parvalbumin Kit).
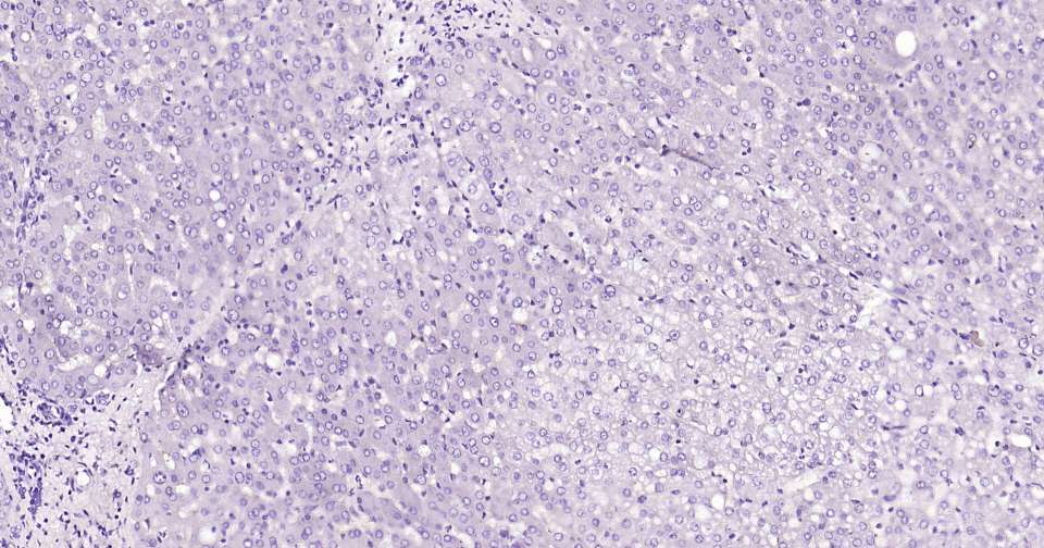
Immunohistochemical analysis of paraffin embedded human liver tissue slide using IHC0378H (Human Parvalbumin Kit).
版权所有 2004-2026 www.bioss.com.cn 北京博奥森生物技术有限公司
通过国际质量管理体系ISO 9001:2015 GB/T 19001-2016    证书编号: 00124Q34771R2M/1100
通过国际医疗器械-质量管理体系ISO 13485:2016 GB/T 42061-2022     证书编号: CQC24QY20047R0M/1100
京ICP备05066980号-1         京公网安备110107000727号