扫码关注公众号           扫码咨询技术支持           扫码咨询技术服务
  
客服热线:400-901-9800  客服QQ:4009019800  技术答疑  技术支持  质量反馈  人才招聘  关于我们  联系我们
产品中心-北京博奥森生物技术有限公司
首页 > 产品中心 > 试剂盒 > 产品信息
Islet-1 Ready-To-Use IHC Kit (IHC0379)  
订购热线:400-901-9800
订购邮箱:sales@bioss.com.cn
订购QQ:  400-901-9800
技术支持:techsupport@bioss.com.cn
50T/3200.00元
大包装/询价

产品编号 IHC0379
英文名称 Islet-1 Ready-To-Use IHC Kit
中文名称 胰岛素基因增强结合蛋白1即用型免疫组化试剂盒
别    名 Isl-1; isl-1=homeobox; ISL1; ISLET1; Insulin gene enhancer protein ISL 1; Insulin gene enhancer protein ISL-1; Insulin related protein; Isl 1; ISL LIM homeobox 1; ISL1; ISL1 transcription factor LIM homeodomain; ISL1 transcription factor; LIM/homeodomain (islet 1); ISL1 transcription factor; LIM/homeodomain; ISL1_HUMAN; Islet-1; Islet1  
克 隆 号
适用样品基质 FFPE tissue
保存条件 Please store components at the temperatures indicated on the individual tube labels. The kit is stable for 6 months from the date of receipt.
产品介绍 This gene encodes a member of the LIM/homeodomain family of transcription factors. The encoded protein binds to the enhancer region of the insulin gene, among others, and may play an important role in regulating insulin gene expression. The encoded protein is central to the development of pancreatic cell lineages and may also be required for motor neuron generation. Mutations in this gene have been associated with maturity-onset diabetes of the young.

SWISS:
P61371

Gene ID:
3670

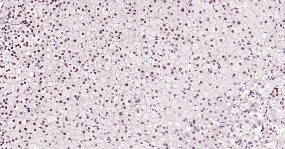
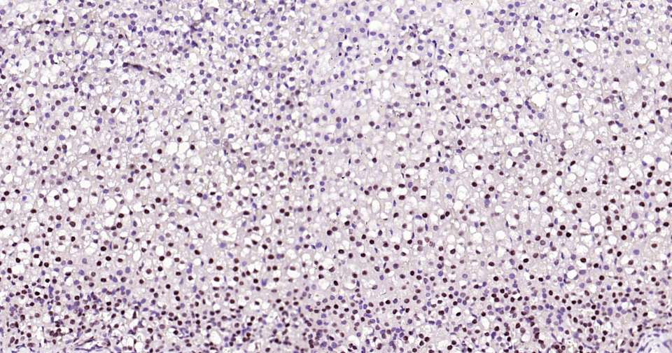
产品图片
Immunohistochemical analysis of paraffin embedded mouse adrenal gland tissue slide using IHC0379 (Islet-1 Kit).
Immunohistochemical analysis of paraffin embedded human adrenal gland tissue slide using IHC0379 (Islet-1 Kit).
Immunohistochemical analysis of paraffin embedded rat adrenal gland tissue slide using IHC0379 (Islet-1 Kit).
版权所有 2004-2026 www.bioss.com.cn 北京博奥森生物技术有限公司
通过国际质量管理体系ISO 9001:2015 GB/T 19001-2016    证书编号: 00124Q34771R2M/1100
通过国际医疗器械-质量管理体系ISO 13485:2016 GB/T 42061-2022     证书编号: CQC24QY20047R0M/1100
京ICP备05066980号-1         京公网安备110107000727号