扫码关注公众号           扫码咨询技术支持           扫码咨询技术服务
  
客服热线:400-901-9800  客服QQ:4009019800  技术答疑  技术支持  质量反馈  人才招聘  关于我们  联系我们
产品中心-北京博奥森生物技术有限公司
首页 > 产品中心 > 试剂盒 > 产品信息
Rat GAT1 Ready-To-Use IHC Kit (IHC0381R)  
订购热线:400-901-9800
订购邮箱:sales@bioss.com.cn
订购QQ:  400-901-9800
技术支持:techsupport@bioss.com.cn
50T/3200.00元
大包装/询价

产品编号 IHC0381R
英文名称 Rat GAT1 Ready-To-Use IHC Kit
中文名称 大鼠γ氨基丁酸运载蛋白1即用型免疫组化试剂盒
别    名 A730043E01; Gabt; GAT1; MAE; XT-1; Xtrp1; GABATHG; GABATR; GABT 1; GABT1; GAT-1; SLC6A1; Sodium and chloride dependent GABA transporter 1; Solute carrier family 6 (neurotransmitter transporter GABA) member 1; Solute carrier family 6 member 1  
克 隆 号
适用样品基质 FFPE tissue
保存条件 Please store components at the temperatures indicated on the individual tube labels. The kit is stable for 6 months from the date of receipt.
产品介绍 GAT-1 (SLC6A1) The protein encoded by SLC6A1 is a gamma-aminobutyric acid (GABA) transporter that localizes to the plasma membrane. The encoded protein removes GABA from the synaptic cleft, restoring it to presynaptic terminals.

SWISS:
P30531

Gene ID:
6529

产品图片
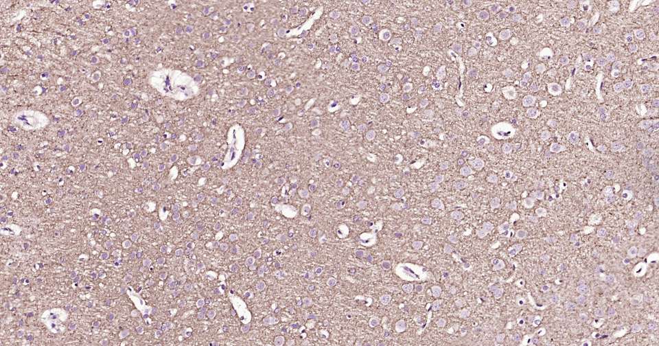
Immunohistochemical analysis of paraffin embedded rat brain tissue slide using IHC0381R (Rat GAT1 Kit).
版权所有 2004-2026 www.bioss.com.cn 北京博奥森生物技术有限公司
通过国际质量管理体系ISO 9001:2015 GB/T 19001-2016    证书编号: 00124Q34771R2M/1100
通过国际医疗器械-质量管理体系ISO 13485:2016 GB/T 42061-2022     证书编号: CQC24QY20047R0M/1100
京ICP备05066980号-1         京公网安备110107000727号