扫码关注公众号           扫码咨询技术支持           扫码咨询技术服务
  
客服热线:400-901-9800  客服QQ:4009019800  技术答疑  技术支持  质量反馈  人才招聘  关于我们  联系我们
产品中心-北京博奥森生物技术有限公司
首页 > 产品中心 > 试剂盒 > 产品信息
MSI2 Ready-To-Use IHC Kit (IHC0383)  
订购热线:400-901-9800
订购邮箱:sales@bioss.com.cn
订购QQ:  400-901-9800
技术支持:techsupport@bioss.com.cn
50T/3200.00元
大包装/询价

产品编号 IHC0383
英文名称 MSI2 Ready-To-Use IHC Kit
中文名称 MSI2蛋白即用型免疫组化试剂盒
别    名 1700105C15Rik; AI451722; AI563628; AW489193; MSI2; MSI2H; RGD1560397  
克 隆 号
适用样品基质 FFPE tissue
保存条件 Please store components at the temperatures indicated on the individual tube labels. The kit is stable for 6 months from the date of receipt.
产品介绍 Msi2 (musashi homolog 2), also known as MSI2H, is a 328 amino acid protein that localizes to the cytoplasm and contains two RRM (RNA recognition motif) domains. Expressed ubiquitously at low levels, Msi2 functions as an RNA binding protein that, by regulating the expression of target mRNAs, is thought to play a role in the proliferation and maintenance of stem cells within the central nervous system. Msi2 is subject to posttranslational phosphorylation and is upregulated in response to brain injury, suggesting a role in healing and brain tissue regeneration. Chromosomal aberrations involving the Msi2 gene are associated with the progression of chronic myeloid leukemia. Multiple isoforms of Msi2 exist due to alternative splicing events.Tissue specificity: Ubiquitous; detected at low levels.

SWISS:
Q96DH6

Gene ID:
124540

产品图片
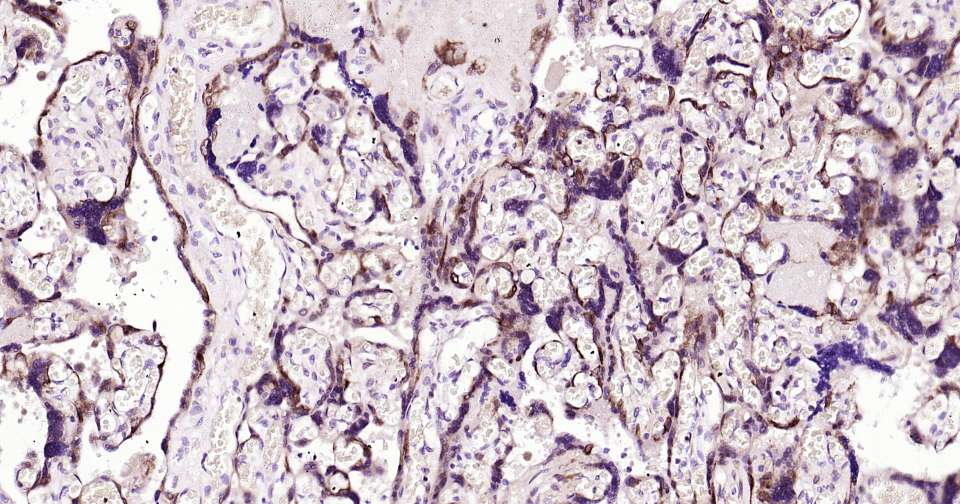
Immunohistochemical analysis of paraffin embedded human placenta tissue slide using IHC0383 (MSI2 Kit).
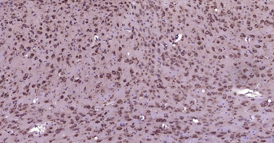
Immunohistochemical analysis of paraffin embedded mouse brain tissue slide using IHC0383 (MSI2 Kit).
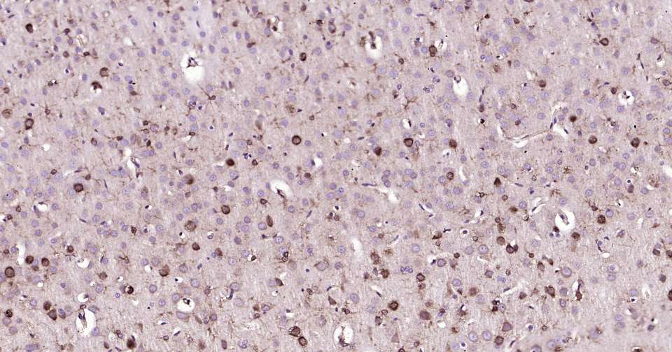
Immunohistochemical analysis of paraffin embedded rat brain tissue slide using IHC0383 (MSI2 Kit).
版权所有 2004-2026 www.bioss.com.cn 北京博奥森生物技术有限公司
通过国际质量管理体系ISO 9001:2015 GB/T 19001-2016    证书编号: 00124Q34771R2M/1100
通过国际医疗器械-质量管理体系ISO 13485:2016 GB/T 42061-2022     证书编号: CQC24QY20047R0M/1100
京ICP备05066980号-1         京公网安备110107000727号