扫码关注公众号           扫码咨询技术支持           扫码咨询技术服务
  
客服热线:400-901-9800  客服QQ:4009019800  技术答疑  技术支持  质量反馈  人才招聘  关于我们  联系我们
产品中心-北京博奥森生物技术有限公司
首页 > 产品中心 > 试剂盒 > 产品信息
Mouse SMARCA4 Ready-To-Use IHC Kit (IHC0384M)  
订购热线:400-901-9800
订购邮箱:sales@bioss.com.cn
订购QQ:  400-901-9800
技术支持:techsupport@bioss.com.cn
50T/3200.00元
大包装/询价

产品编号 IHC0384M
英文名称 Mouse SMARCA4 Ready-To-Use IHC Kit
中文名称 小鼠抑癌基因SNF2β即用型免疫组化试剂盒
别    名 b2b508.1Clo; b2b692Clo; BAF190; BAF190A; brg-1; BRG1; CSS4; HP1-BP72; hSNF2b; MRD16; RTPS2; SMARCA4; SNF2; SNF2B; SNF2beta; SNF2L4; SNF2LB; SW1/SNF; SWI2  
克 隆 号
适用样品基质 FFPE tissue
保存条件 Please store components at the temperatures indicated on the individual tube labels. The kit is stable for 6 months from the date of receipt.
产品介绍 Brg1 (Brahma-related gene 1) is an ATPase subunit of SWI2/SNF2-like chromatin-remodeling complexes that enable access of regulatory and effector proteins in transcription, DNA repair and DNA replication. Although Brg1-containing complexes are not essential for general cell survival, they participate in transcriptional regulation of several hundred genes including those involved in interferon and stress response, immune cells differentiation, neurogenesis, cell cycle etc. and is absolutely necessary for mouse embryogenesis. Brg1 is also involved in cell growth arrest, senescence and tumour supression.

SWISS:
P51532

Gene ID:
6597

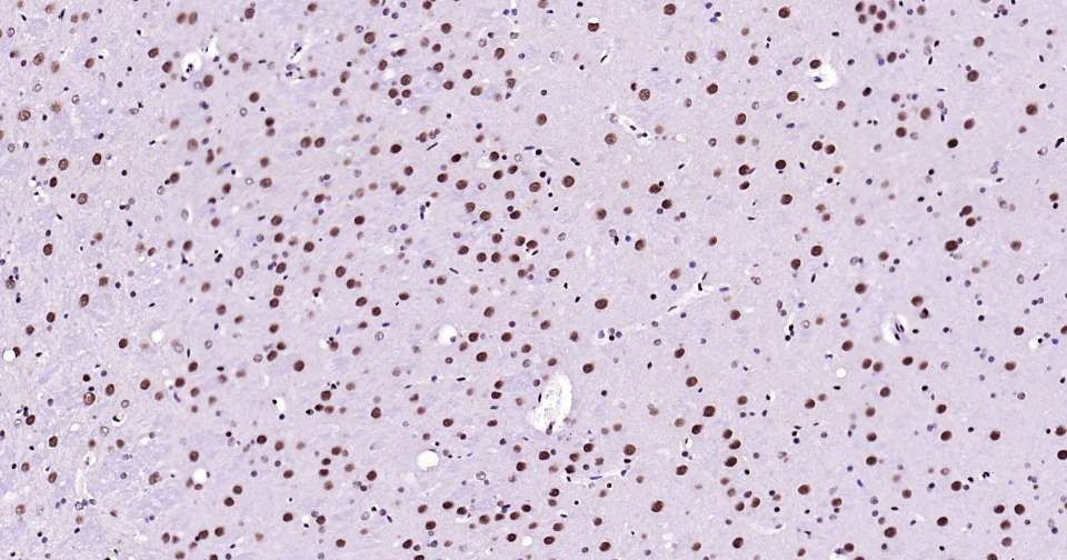
产品图片
Immunohistochemical analysis of paraffin embedded mouse brain tissue slide using IHC0384M (Mouse SMARCA4 Kit).
版权所有 2004-2026 www.bioss.com.cn 北京博奥森生物技术有限公司
通过国际质量管理体系ISO 9001:2015 GB/T 19001-2016    证书编号: 00124Q34771R2M/1100
通过国际医疗器械-质量管理体系ISO 13485:2016 GB/T 42061-2022     证书编号: CQC24QY20047R0M/1100
京ICP备05066980号-1         京公网安备110107000727号