扫码关注公众号           扫码咨询技术支持           扫码咨询技术服务
  
客服热线:400-901-9800  客服QQ:4009019800  技术答疑  技术支持  质量反馈  人才招聘  关于我们  联系我们
产品中心-北京博奥森生物技术有限公司
首页 > 产品中心 > 试剂盒 > 产品信息
GABBR2 Ready-To-Use IHC Kit (IHC0385)  
订购热线:400-901-9800
订购邮箱:sales@bioss.com.cn
订购QQ:  400-901-9800
技术支持:techsupport@bioss.com.cn
50T/3200.00元
大包装/询价

产品编号 IHC0385
英文名称 GABBR2 Ready-To-Use IHC Kit
中文名称 G氨基丁酸B型受体2即用型免疫组化试剂盒
别    名 GABBR2; Gb2; Gm425; GABABR2; GPR51; GPRC3B; HG20; HRIHFB2099; gamma-aminobutyric acid type B receptor subunit 2  
克 隆 号
适用样品基质 FFPE tissue
保存条件 Please store components at the temperatures indicated on the individual tube labels. The kit is stable for 6 months from the date of receipt.
产品介绍 The multi-pass membrane protein, GABBR2, belongs to the G-protein coupled receptor 3 family and GABA-B receptor subfamily. The GABA-B receptors inhibit neuronal activity through G protein-coupled second-messenger systems, which regulate the release of neurotransmitters, and the activity of ion channels and adenylyl cyclase. This receptor subunit forms an active heterodimeric complex with GABA-B receptor subunit 1, neither of which is effective on its own. Allelic variants of this gene have been associated with nicotine dependence.

SWISS:
O75899

Gene ID:
9568

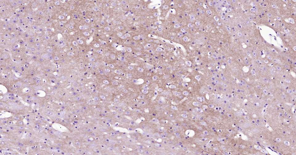
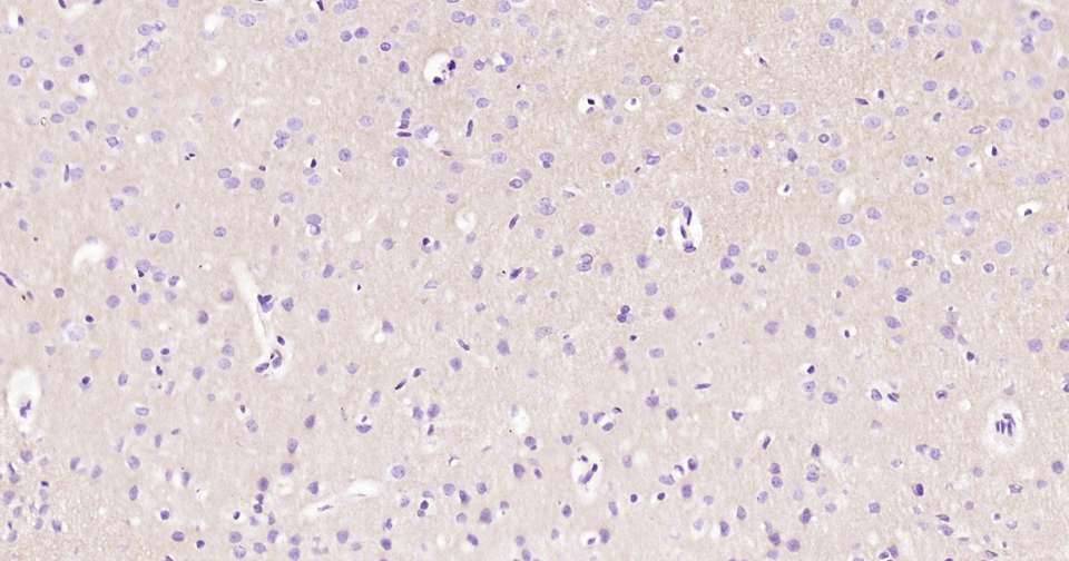
产品图片
Immunohistochemical analysis of paraffin embedded mouse brain tissue slide using IHC0385 (GABBR2 Kit).
Immunohistochemical analysis of paraffin embedded rat brain tissue slide using IHC0385 (GABBR2 Kit).
版权所有 2004-2026 www.bioss.com.cn 北京博奥森生物技术有限公司
通过国际质量管理体系ISO 9001:2015 GB/T 19001-2016    证书编号: 00124Q34771R2M/1100
通过国际医疗器械-质量管理体系ISO 13485:2016 GB/T 42061-2022     证书编号: CQC24QY20047R0M/1100
京ICP备05066980号-1         京公网安备110107000727号