扫码关注公众号           扫码咨询技术支持           扫码咨询技术服务
  
客服热线:400-901-9800  客服QQ:4009019800  技术答疑  技术支持  质量反馈  人才招聘  关于我们  联系我们
产品中心-北京博奥森生物技术有限公司
首页 > 产品中心 > 试剂盒 > 产品信息
BLBP Ready-To-Use IHC Kit (IHC0386)  
订购热线:400-901-9800
订购邮箱:sales@bioss.com.cn
订购QQ:  400-901-9800
技术支持:techsupport@bioss.com.cn
50T/3200.00元
大包装/询价

产品编号 IHC0386
英文名称 BLBP Ready-To-Use IHC Kit
中文名称 脑型脂肪酸结合蛋白即用型免疫组化试剂盒
别    名 FABPB; MRG; B FABP; B-FABP; BFABP; BLBP; Brain lipid binding protein; Brain lipid-binding protein; Brain-type fatty acid-binding protein; DKFZp547J2313; FABP 7; FABP7  
克 隆 号
适用样品基质 FFPE tissue
保存条件 Please store components at the temperatures indicated on the individual tube labels. The kit is stable for 6 months from the date of receipt.
产品介绍 FABP7 was initially isolated from a human fetal brain cDNA library and whose mRNA was expressed in adult brain and muscle tissues at low levels. The protein encoded by this gene is a member of the fatty acid binding protein (FABPs) family, a group of small, highly conserved, cytoplasmic proteins that bind long-chain fatty acids and other hydrophobic ligands. FABPs are thought to play roles in fatty acid uptake, transport, and metabolism. FABP7 is a downstream gene of the Pax6 transcription factor and has been suggested to be essential for the maintenance of neuroepithelial cells during early cortical development. More recently, FABP7 was found to be frequently expressed in melanomas. Down-regulation of FABP7 through RNAi expression could reduce in vitro cell proliferation and Matrigel invasion, suggesting that FABP7 may be a potential target for the development of diagnostic and therapeutic tools.

SWISS:
P51880

Gene ID:
12140

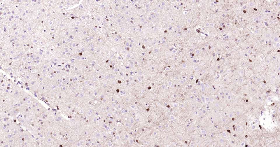
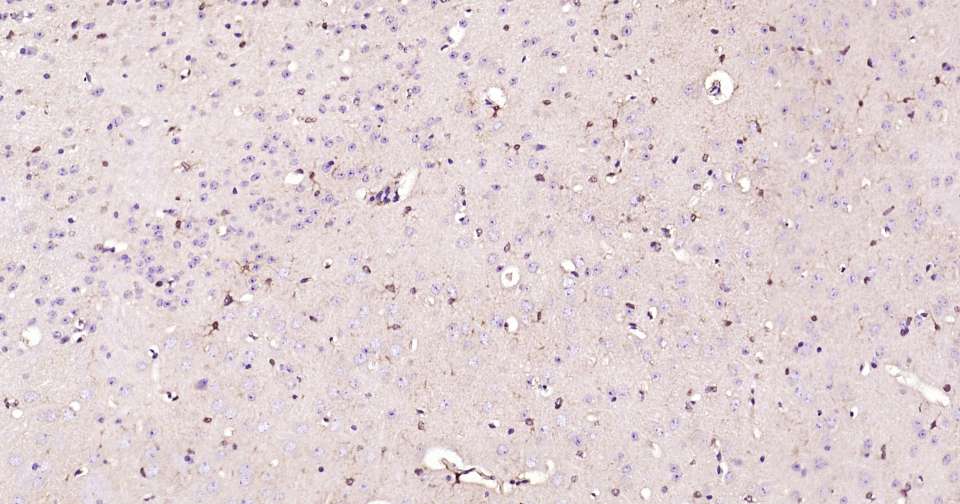
产品图片
Immunohistochemical analysis of paraffin embedded mouse brain tissue slide using IHC0386 (BLBP Kit).
Immunohistochemical analysis of paraffin embedded human brain tissue slide using IHC0386 (BLBP Kit).
Immunohistochemical analysis of paraffin embedded rat brain tissue slide using IHC0386 (BLBP Kit).
版权所有 2004-2026 www.bioss.com.cn 北京博奥森生物技术有限公司
通过国际质量管理体系ISO 9001:2015 GB/T 19001-2016    证书编号: 00124Q34771R2M/1100
通过国际医疗器械-质量管理体系ISO 13485:2016 GB/T 42061-2022     证书编号: CQC24QY20047R0M/1100
京ICP备05066980号-1         京公网安备110107000727号