扫码关注公众号           扫码咨询技术支持           扫码咨询技术服务
  
客服热线:400-901-9800  客服QQ:4009019800  技术答疑  技术支持  质量反馈  人才招聘  关于我们  联系我们
产品中心-北京博奥森生物技术有限公司
首页 > 产品中心 > 试剂盒 > 产品信息
Mouse lamin B1 Ready-To-Use IHC Kit (IHC0389M)  
订购热线:400-901-9800
订购邮箱:sales@bioss.com.cn
订购QQ:  400-901-9800
技术支持:techsupport@bioss.com.cn
50T/3200.00元
大包装/询价

产品编号 IHC0389M
英文名称 Mouse lamin B1 Ready-To-Use IHC Kit
中文名称 小鼠核纤层蛋白B即用型免疫组化试剂盒
别    名 LMN; LMN2; LMNB; ADLD; LMB1; LMNB1; MGC111419; OTTHUMP00000159218  
克 隆 号
适用样品基质 FFPE tissue
保存条件 Please store components at the temperatures indicated on the individual tube labels. The kit is stable for 6 months from the date of receipt.
产品介绍 Laminins, a family of extracellular matrix glycoproteins, are the major noncollagenous constituent of basement membranes. They have been implicated in a wide variety of biological processes including cell adhesion, differentiation, migration, signaling, neurite outgrowth and metastasis. Laminins are composed of 3 non identical chains: laminin alpha, beta and gamma (formerly A, B1, and B2, respectively) and they form a cruciform structure consisting of 3 short arms, each formed by a different chain, and a long arm composed of all 3 chains. Defects in the LMNB1 gene can cause Leukodystrophy, demyelinating, autosomal dominant, adult-onset (ADLD).

SWISS:
P20700

Gene ID:
4001

产品图片
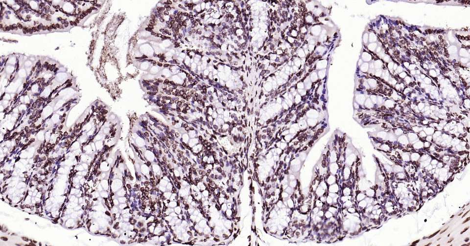
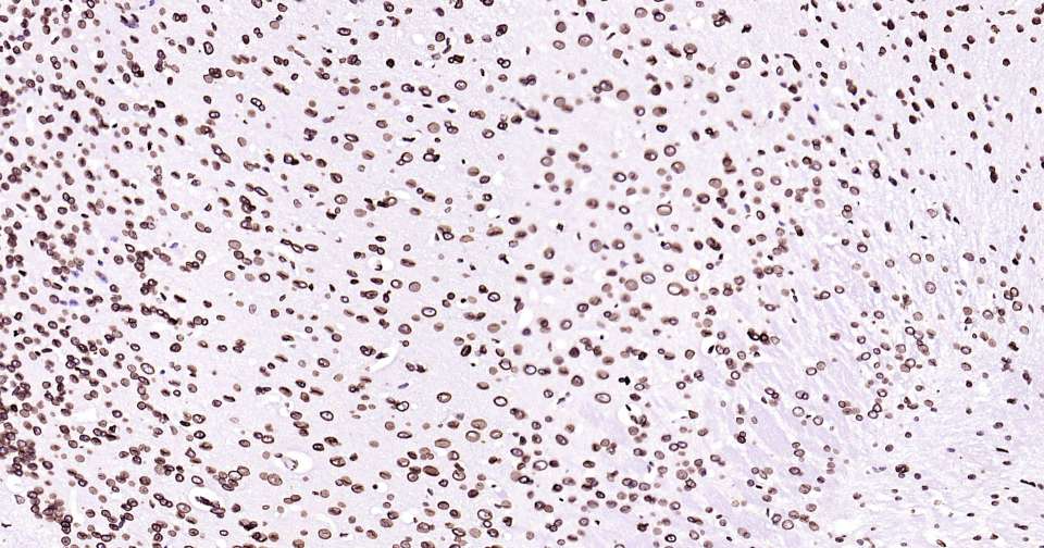
Immunohistochemical analysis of paraffin embedded mouse brain tissue slide using IHC0389M (Mouse lamin B1 Kit).
Immunohistochemical analysis of paraffin embedded mouse colon tissue slide using IHC0389M (Mouse lamin B1 Kit).
Immunohistochemical analysis of paraffin embedded mouse testis tissue slide using IHC0389M (Mouse lamin B1 Kit).
版权所有 2004-2026 www.bioss.com.cn 北京博奥森生物技术有限公司
通过国际质量管理体系ISO 9001:2015 GB/T 19001-2016    证书编号: 00124Q34771R2M/1100
通过国际医疗器械-质量管理体系ISO 13485:2016 GB/T 42061-2022     证书编号: CQC24QY20047R0M/1100
京ICP备05066980号-1         京公网安备110107000727号