扫码关注公众号           扫码咨询技术支持           扫码咨询技术服务
  
客服热线:400-901-9800  客服QQ:4009019800  技术答疑  技术支持  质量反馈  人才招聘  关于我们  联系我们
产品中心-北京博奥森生物技术有限公司
首页 > 产品中心 > 试剂盒 > 产品信息
Human Apolipoprotein E Ready-To-Use IHC Kit (IHC0392H)  
订购热线:400-901-9800
订购邮箱:sales@bioss.com.cn
订购QQ:  400-901-9800
技术支持:techsupport@bioss.com.cn
50T/3200.00元
大包装/询价

产品编号 IHC0392H
英文名称 Human Apolipoprotein E Ready-To-Use IHC Kit
中文名称 人载脂蛋白E即用型免疫组化试剂盒
别    名 AI255918; APO-E; APOE; APOEA; LDLCQ5; LPG; AD2; APOE3; ApoEb; Apolipoprotein EIII; Apolipoprotein E; APOE_HUMAN  
克 隆 号
适用样品基质 FFPE tissue
保存条件 Please store components at the temperatures indicated on the individual tube labels. The kit is stable for 6 months from the date of receipt.
产品介绍 Apo E (Apolipoprotein E) plays an important role in the metabolism of lipids in the plasma, and is also is a constituent of various plasma lipoprotein-lipid particles. The protein is synthesized in liver, brain, spleen, and the kidney, and concentrations are high in interstitial fluids, where it plays a role in distributing cholesterol from cells where cholesterol is in excess to cells which require cholesterol. Apo E also plays an important role in the formation of very low density lipoprotein and chylomicrons. The Apo E gene is located on chromosome 19 at position 19q13. 2.

SWISS:
P02649

Gene ID:
348

产品图片
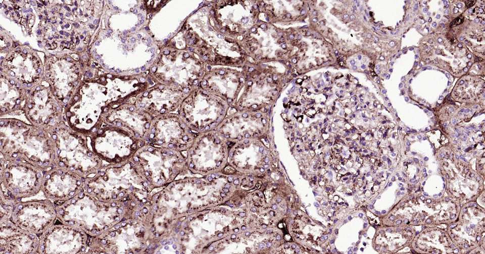
Immunohistochemical analysis of paraffin embedded human kidney tissue slide using IHC0392H (Human Apolipoprotein E Kit).
Immunohistochemical analysis of paraffin embedded human skin tissue slide using IHC0392H (Human Apolipoprotein E Kit).
Immunohistochemical analysis of paraffin embedded human brain tissue slide using IHC0392H (Human Apolipoprotein E Kit).
版权所有 2004-2026 www.bioss.com.cn 北京博奥森生物技术有限公司
通过国际质量管理体系ISO 9001:2015 GB/T 19001-2016    证书编号: 00124Q34771R2M/1100
通过国际医疗器械-质量管理体系ISO 13485:2016 GB/T 42061-2022     证书编号: CQC24QY20047R0M/1100
京ICP备05066980号-1         京公网安备110107000727号