扫码关注公众号           扫码咨询技术支持           扫码咨询技术服务
  
客服热线:400-901-9800  客服QQ:4009019800  技术答疑  技术支持  质量反馈  人才招聘  关于我们  联系我们
产品中心-北京博奥森生物技术有限公司
首页 > 产品中心 > 常用试剂 > 产品信息
Goat Anti-Mouse IgG H&L (min X Hu, Bov, Hrs, Rb, Sw Sr Prot)/HRP (Ready to use) (IHC007)  
订购热线:400-901-9800
订购邮箱:sales@bioss.com.cn
订购QQ:  400-901-9800
技术支持:techsupport@bioss.com.cn
3ml/280.00元
6ml/480.00元
大包装/询价

产品编号 IHC007
英文名称 Goat Anti-Mouse IgG H&L (min X Hu, Bov, Hrs, Rb, Sw Sr Prot)/HRP (Ready to use)
中文名称 辣根过氧化物酶标记的山羊抗小鼠IgG(经特异性吸附)(即用型二抗)
克 隆 号
CAS
保存条件 2-8℃保存,避免反复冻融。
注意事项 This product as supplied is intended for research use only, not for use in human, therapeutic or diagnostic applications.
产品介绍
产品图片
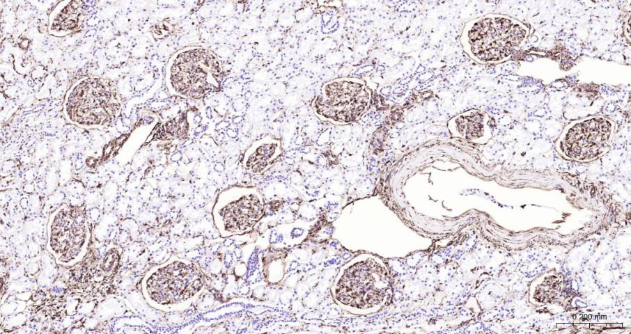
Paraformaldehyde-fixed, paraffin embedded Human Kidney; Antigen retrieval by boiling in sodium citrate buffer (pH6.0) for 15 min; Antibody incubation with Vimentin Monoclonal Antibody, Unconjugated(bsm-33170M) at 1:200 overnight at 4°C, followed by conjugation to the IHC007 and DAB (C-0010) staining.
Paraformaldehyde-fixed, paraffin embedded Mouse brain; Antigen retrieval by boiling in sodium citrate buffer (pH6.0) for 15 min; Antibody incubation with GFAP Monoclonal Antibody, Unconjugated(bsm-42001M) at 1:200 overnight at 4°C, followed by conjugation to the IHC007 and DAB (C-0010) staining.
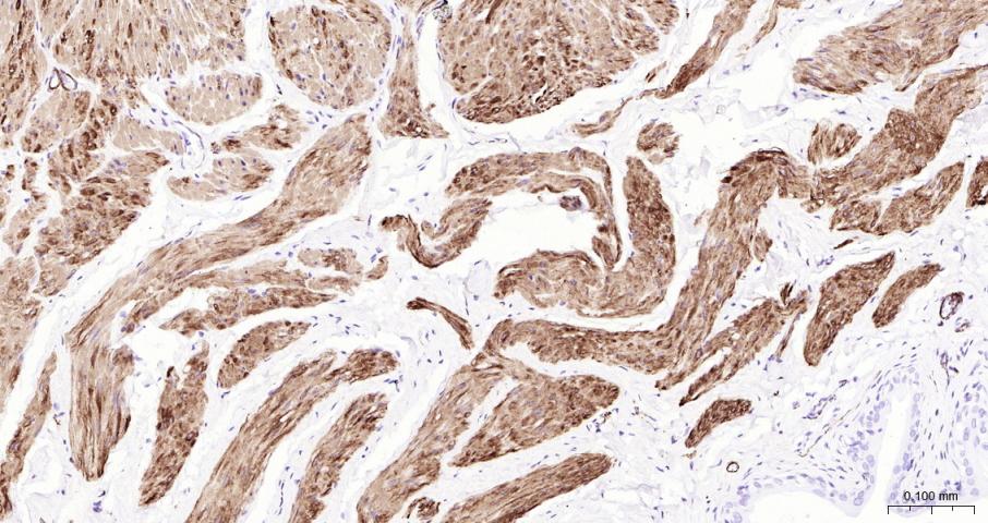
Paraformaldehyde-fixed, paraffin embedded Rat bladder; Antigen retrieval by boiling in sodium citrate buffer (pH6.0) for 15 min; Antibody incubation with Desmin Monoclonal Antibody, Unconjugated(bsm-33229M) at 1:200 overnight at 4°C, followed by conjugation to the IHC007 and DAB (C-0010) staining.
Paraformaldehyde-fixed, paraffin embedded Human esophageal cancer; Antigen retrieval by boiling in sodium citrate buffer (pH6.0) for 15 min; Antibody incubation with Desmin Monoclonal Antibody, Unconjugated(bsm-33229M) at 1:200 overnight at 4°C, followed by conjugation to the IHC007 and DAB (C-0010) staining.
外观及包装
外观及包装
外观及包装
版权所有 2004-2026 www.bioss.com.cn 北京博奥森生物技术有限公司
通过国际质量管理体系ISO 9001:2015 GB/T 19001-2016    证书编号: 00124Q34771R2M/1100
通过国际医疗器械-质量管理体系ISO 13485:2016 GB/T 42061-2022     证书编号: CQC24QY20047R0M/1100
京ICP备05066980号-1         京公网安备110107000727号