扫码关注公众号           扫码咨询技术支持           扫码咨询技术服务
  
客服热线:400-901-9800  客服QQ:4009019800  技术答疑  技术支持  质量反馈  人才招聘  关于我们  联系我们
产品中心-北京博奥森生物技术有限公司
首页 > 产品中心 > 一抗 > 产品信息
MMP1 Recombinant Rabbit mAb (bsm-63120R)  
订购热线:400-901-9800
订购邮箱:sales@bioss.com.cn
订购QQ:  400-901-9800
技术支持:techsupport@bioss.com.cn
25ul/800.00元
50ul/1400.00元
100ul/2500.00元
大包装/询价

产品编号 bsm-63120R
英文名称 MMP1 Recombinant Rabbit mAb
中文名称 基质金属蛋白酶-1重组兔单抗
别    名 CLG; CLGN; MMP-13; Mmp1; Mmp1a; MMP-1; MMP1_BOVIN; Fibroblast collagenase; Matrix metalloproteinase-1 (MMP-1); 3.4.24.7; MMP1_HUMAN; MMP13_MOUSE; Mmp13; Matrix metalloproteinase-13 (MMP-13); 3.4.24.-; MMP1_PIG; MMP1_RABIT;   
抗体来源 Rabbit
克隆类型 Recombinant
克 隆 号 9F8
交叉反应 Human,Mouse
产品应用 IHC-P=1:50-200,IHC-F=1:50-200,IF=1:50-200,Flow-Cyt=1:50-100,ICC/IF=1:50-200
not yet tested in other applications.
optimal dilutions/concentrations should be determined by the end user.
理论分子量 54 kDa
检测分子量 54
性    状 Liquid
免 疫 原 A synthesized peptide derived from human MMP1: 110-145 
亚    型 IgG
纯化方法 affinity purified by Protein A
缓 冲 液 10mM phosphate buffered saline(pH 7.4) with 150mM sodium chloride, 0.05% BSA, 0.02% Proclin300 and 50% glycerol.
保存条件 Store at 4℃ for short term. Store at -20℃ for long term. Avoid repeated freeze/thaw cycles.
注意事项 This product as supplied is intended for research use only, not for use in human, therapeutic or diagnostic applications.
PubMed PubMed
产品介绍 Cleaves collagens of types I, II, and III at one site in the helical domain. Also cleaves collagens of types VII and X. In case of HIV infection, interacts and cleaves the secreted viral Tat protein, leading to a decrease in neuronal Tat's mediated neurotoxicity.

SWISS:
P03956

Gene ID:
4312

基质金属蛋白酶(matrix metalloproteinases, MMPs)是一族依赖锌离子而降解各种细胞外基质的蛋白酶,亦称IV型胶原酶或称明胶酶A,其主要功能为降解IV型胶原,因而它在肿瘤细胞突破基底膜屏障和浸润转移中起重要作用。 目前主要用于各种恶性肿瘤(如乳腺癌、胃肠道癌、卵巢癌、膀胱癌等)中的基底膜检测与肿瘤转移浸润的研究。
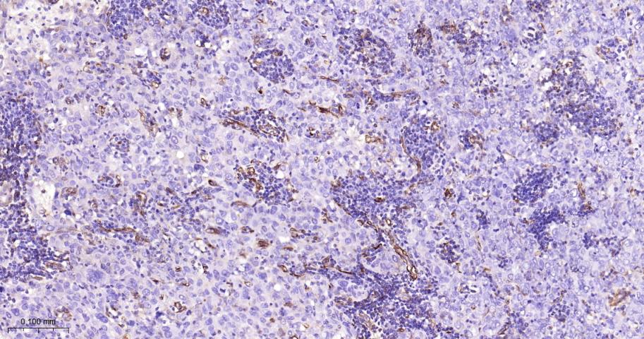
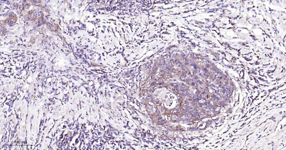
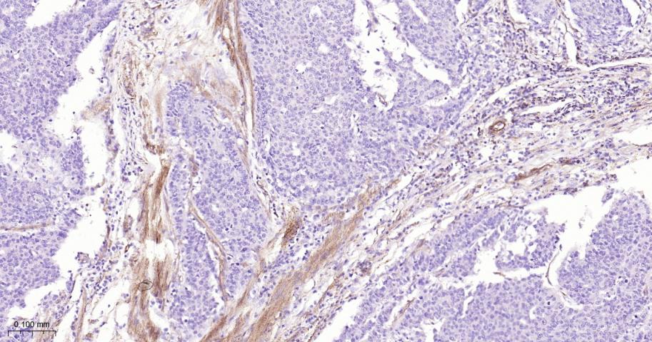
产品图片
Paraformaldehyde-fixed, paraffin embedded Human Esophagus Cancer; Antigen retrieval by boiling in sodium citrate buffer (pH6.0) for 15 min; The section was incubated with MMP1 Monoclonal Antibody, Unconjugated (bsm-63120R) at 1:200 overnight at 4°C, followed by conjugation to the bs-0295G-HRP and DAB (C-0010) staining.
Paraformaldehyde-fixed, paraffin embedded Human Breast Cancer; Antigen retrieval by boiling in sodium citrate buffer (pH6.0) for 15 min; The section was incubated with MMP1 Monoclonal Antibody, Unconjugated (bsm-63120R) at 1:200 overnight at 4°C, followed by conjugation to the bs-0295G-HRP and DAB (C-0010) staining.
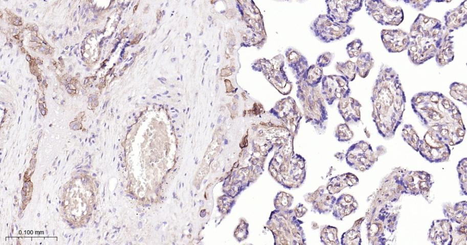
Paraformaldehyde-fixed, paraffin embedded Human Placenta; Antigen retrieval by boiling in sodium citrate buffer (pH6.0) for 15 min; The section was incubated with MMP1 Monoclonal Antibody, Unconjugated (bsm-63120R) at 1:200 overnight at 4°C, followed by conjugation to the bs-0295G-HRP and DAB (C-0010) staining.
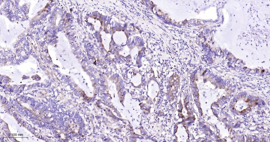
Paraformaldehyde-fixed, paraffin embedded Human Cervical Cancer; Antigen retrieval by boiling in sodium citrate buffer (pH6.0) for 15 min; The section was incubated with MMP1 Monoclonal Antibody, Unconjugated (bsm-63120R) at 1:200 overnight at 4°C, followed by conjugation to the bs-0295G-HRP and DAB (C-0010) staining.
Paraformaldehyde-fixed, paraffin embedded Human Lung Cancer; Antigen retrieval by boiling in sodium citrate buffer (pH6.0) for 15 min; The section was incubated with MMP1 Monoclonal Antibody, Unconjugated (bsm-63120R) at 1:200 overnight at 4°C, followed by conjugation to the bs-0295G-HRP and DAB (C-0010) staining.
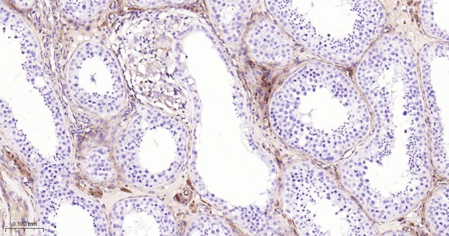
Paraformaldehyde-fixed, paraffin embedded Human Testicles; Antigen retrieval by boiling in sodium citrate buffer (pH6.0) for 15 min; The section was incubated with MMP1 Monoclonal Antibody, Unconjugated (bsm-63120R) at 1:200 overnight at 4°C, followed by conjugation to the bs-0295G-HRP and DAB (C-0010) staining.
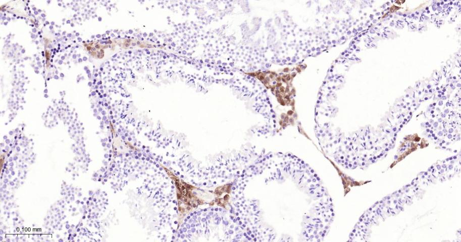
Paraformaldehyde-fixed, paraffin embedded Mouse Testicles; Antigen retrieval by boiling in sodium citrate buffer (pH6.0) for 15 min; The section was incubated with MMP1 Monoclonal Antibody, Unconjugated (bsm-63120R) at 1:200 overnight at 4°C, followed by conjugation to the bs-0295G-HRP and DAB (C-0010) staining.
版权所有 2004-2026 www.bioss.com.cn 北京博奥森生物技术有限公司
通过国际质量管理体系ISO 9001:2015 GB/T 19001-2016    证书编号: 00124Q34771R2M/1100
通过国际医疗器械-质量管理体系ISO 13485:2016 GB/T 42061-2022     证书编号: CQC24QY20047R0M/1100
京ICP备05066980号-1         京公网安备110107000727号