扫码关注公众号           扫码咨询技术支持           扫码咨询技术服务
  
客服热线:400-901-9800  客服QQ:4009019800  技术答疑  技术支持  质量反馈  人才招聘  关于我们  联系我们
产品中心-北京博奥森生物技术有限公司
首页 > 产品中心 > 一抗 > 产品信息
FAK Recombinant Rabbit mAb (bsm-63128R)  
订购热线:400-901-9800
订购邮箱:sales@bioss.com.cn
订购QQ:  400-901-9800
技术支持:techsupport@bioss.com.cn
25ul/800.00元
50ul/1400.00元
100ul/2500.00元
大包装/询价

产品编号 bsm-63128R
英文名称 FAK Recombinant Rabbit mAb
中文名称 粘着斑激酶重组兔单抗
别    名 FADK; FADK 1; FAK; FAK1; FRNK; PPP1R71; p125FAK; pp125FAK; FAK1_HUMAN; PTK2; Focal adhesion kinase-related nonkinase (FRNK); Protein phosphatase 1 regulatory subunit 71 (PPP1R71); Protein-tyrosine kinase 2; 2.7.10.2; FAK1_MOUSE; Kiaa4203; FAK1_RAT;   
抗体来源 Rabbit
克隆类型 Recombinant
克 隆 号 6F1
交叉反应 Human,Mouse,Rat
产品应用 WB=1:500-2000,IHC-P=1:50-200,IHC-F=1:50-200,IF=1:50-200,Flow-Cyt=1:50-100,ICC/IF=1:50-200,IP=1:20-50
not yet tested in other applications.
optimal dilutions/concentrations should be determined by the end user.
理论分子量 119 kDa
检测分子量 125
性    状 Liquid
免 疫 原 A synthesized peptide derived from human Focal adhesion kinase 1: 700-780 
亚    型 IgG
纯化方法 affinity purified by Protein A
缓 冲 液 10mM phosphate buffered saline(pH 7.4) with 150mM sodium chloride, 0.05% BSA, 0.02% Proclin300 and 50% glycerol.
保存条件 Store at 4℃ for short term. Store at -20℃ for long term. Avoid repeated freeze/thaw cycles.
注意事项 This product as supplied is intended for research use only, not for use in human, therapeutic or diagnostic applications.
PubMed PubMed
产品介绍 Non-receptor protein-tyrosine kinase that plays an essential role in regulating cell migration, adhesion, spreading, reorganization of the actin cytoskeleton, formation and disassembly of focal adhesions and cell protrusions, cell cycle progression, cell proliferation and apoptosis. Required for early embryonic development and placenta development. Required for embryonic angiogenesis, normal cardiomyocyte migration and proliferation, and normal heart development.

SWISS:
Q05397

Gene ID:
5747

    FAK是整合蛋白介导的信号转导中的重要成员,有酪氨酸蛋白激酶活性,并可自身磷酸化,FAK本身是胱冬肽酶(caspase)的底物。作为信号分子的FAK参与抑制细胞凋亡并直接参与细胞多种功能的调节。 1.FAK 局部粘着斑激酶,是一种酪氨酸激酶;肿瘤细胞的侵袭性生长是一个多步骤的复杂过程,有多种生物化学因子参与其中,局部粘着斑激酶(focal adhesion kinase, FAK)介导的信号转导系统就是其中最为重要的细胞信号转导途径之一。肿瘤细胞必须黏附于细
产品图片
25 ug total protein per lane of various lysates (see on figure) probed with PTK2 monoclonal antibody, unconjugated (bsm-63128R) at 1:1000 dilution and 4°C overnight incubation. Followed by conjugated secondary antibody incubation at r.t. for 60 min.
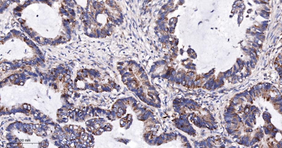
Paraformaldehyde-fixed, paraffin embedded Human Ovarian Cancer; Antigen retrieval by boiling in sodium citrate buffer (pH6.0) for 15 min; The section was incubated with FAK Monoclonal Antibody, Unconjugated (bsm-63128R) at 1:200 overnight at 4°C, followed by conjugation to the bs-0295G-HRP and DAB (C-0010) staining.
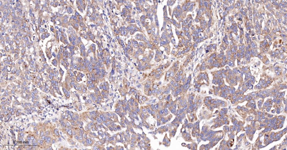
Paraformaldehyde-fixed, paraffin embedded Human Colon Cancer; Antigen retrieval by boiling in sodium citrate buffer (pH6.0) for 15 min; The section was incubated with FAK Monoclonal Antibody, Unconjugated (bsm-63128R) at 1:200 overnight at 4°C, followed by conjugation to the bs-0295G-HRP and DAB (C-0010) staining.
Paraformaldehyde-fixed, paraffin embedded Human Lung Cancer; Antigen retrieval by boiling in sodium citrate buffer (pH6.0) for 15 min; The section was incubated with FAK Monoclonal Antibody, Unconjugated (bsm-63128R) at 1:200 overnight at 4°C, followed by conjugation to the bs-0295G-HRP and DAB (C-0010) staining.
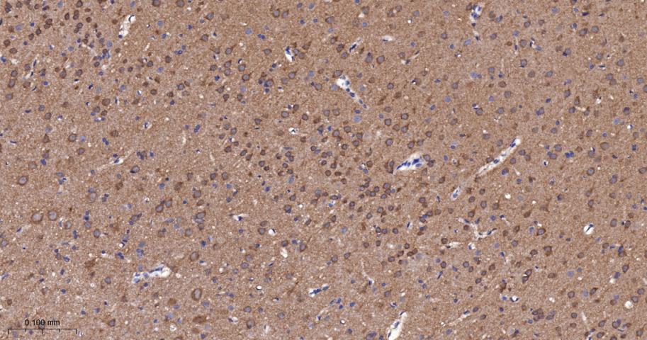
Paraformaldehyde-fixed, paraffin embedded Human Cerebrum; Antigen retrieval by boiling in sodium citrate buffer (pH6.0) for 15 min; The section was incubated with FAK Monoclonal Antibody, Unconjugated (bsm-63128R) at 1:200 overnight at 4°C, followed by conjugation to the bs-0295G-HRP and DAB (C-0010) staining.
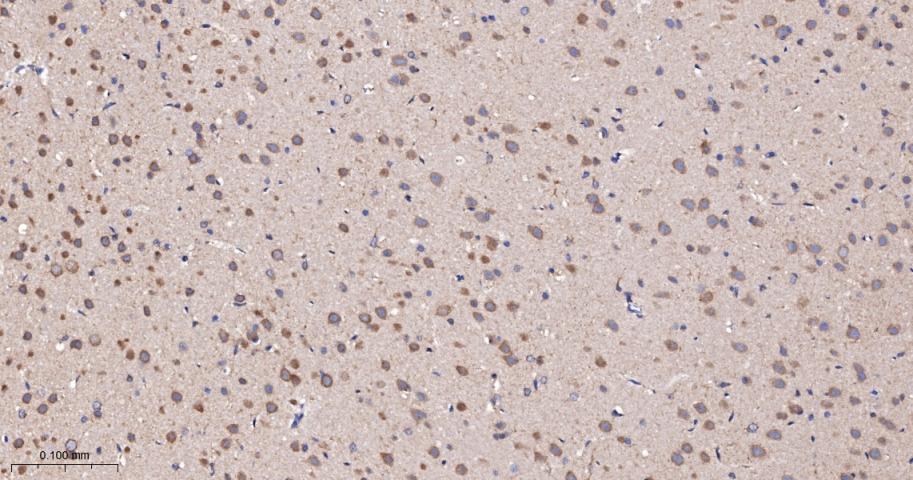
Paraformaldehyde-fixed, paraffin embedded Rat Cerebrum; Antigen retrieval by boiling in sodium citrate buffer (pH6.0) for 15 min; The section was incubated with FAK Monoclonal Antibody, Unconjugated (bsm-63128R) at 1:200 overnight at 4°C, followed by conjugation to the bs-0295G-HRP and DAB (C-0010) staining.
Paraformaldehyde-fixed, paraffin embedded Mouse Cerebrum; Antigen retrieval by boiling in sodium citrate buffer (pH6.0) for 15 min; The section was incubated with FAK Monoclonal Antibody, Unconjugated (bsm-63128R) at 1:200 overnight at 4°C, followed by conjugation to the bs-0295G-HRP and DAB (C-0010) staining.
版权所有 2004-2026 www.bioss.com.cn 北京博奥森生物技术有限公司
通过国际质量管理体系ISO 9001:2015 GB/T 19001-2016    证书编号: 00124Q34771R2M/1100
通过国际医疗器械-质量管理体系ISO 13485:2016 GB/T 42061-2022     证书编号: CQC24QY20047R0M/1100
京ICP备05066980号-1         京公网安备110107000727号