扫码关注公众号           扫码咨询技术支持           扫码咨询技术服务
  
客服热线:400-901-9800  客服QQ:4009019800  技术答疑  技术支持  质量反馈  人才招聘  关于我们  联系我们
产品中心-北京博奥森生物技术有限公司
首页 > 产品中心 > 试剂盒 > 产品信息
Rat CD163 Ready-To-Use IHC Kit (IHC0303R)  
订购热线:400-901-9800
订购邮箱:sales@bioss.com.cn
订购QQ:  400-901-9800
技术支持:techsupport@bioss.com.cn
50T/3200.00元
大包装/询价

产品编号 IHC0303R
英文名称 Rat CD163 Ready-To-Use IHC Kit
中文名称 大鼠CD163即用型免疫组化试剂盒
别    名 CD163; SCARI1; Scavenger receptor cysteine-rich type 1 protein M130; CD 163; CD163 antigen; CD163 molecule; Hemoglobin Scavenger Receptor; M130; M130 antigen precursor; Macrophage associated antigen; MM130  
克 隆 号
适用样品基质 FFPE tissue
保存条件 Please store components at the temperatures indicated on the individual tube labels. The kit is stable for 6 months from the date of receipt.
产品介绍 CD163 (M130 antigen, Ber-Mac3, Ki-M8, SM4) is a 130 kDa membrane glycoprotein, a member of the scavenger receptor cysteine-rich superfamily, and a receptor for the hemoglobin-haptoglobin complex. CD163 protects tissues from free hemoglobin-mediated oxidative damage, and may play a role in the uptake and recycling of iron, via endocytosis of hemoglobin/haptoglobin and subsequent breakdown of heme. CD163 is expressed exclusively on the cell surface of human monocytes and macrophages that evolve predominantly in the late phase of inflammation. Specifically, CD163 is present on all circulating monocytes and most tissue macrophages except those found in the mantle zone and germinal centers of lymphoid follicles, interdigitating reticulum cells and Langerhan's cells. CD163 is present on all CD14 positive monocytes, most CD64 positive monocytes, and shows higher expression on CD16 positive monocytes. CD163 is upregulated on mononuclear phagocytes by IL-10, IL-6 and dexamethasone. Lipopolysaccharide (LPS) and phorbol myristate acetate (PMA) both induce shedding of CD163 from the cell surface into plasma or cell supernatant. CD163 binds hemoglobin/haptoglobin complexes in a calcium-dependent and pH-dependent manner, and exhibits a higher affinity for complexes of hemoglobin and multimeric haptoglobin of HP1F phenotype than for complexes of hemoglobin and dimeric haptoglobin of HP1S phenotype. Further, CD163 also induces a cascade of intracellular signals that involves tyrosine kinase-dependent calcium mobilization, inositol triphosphate production and secretion of IL6 and CSF1.

SWISS:
Q86VB7

Gene ID:
9332

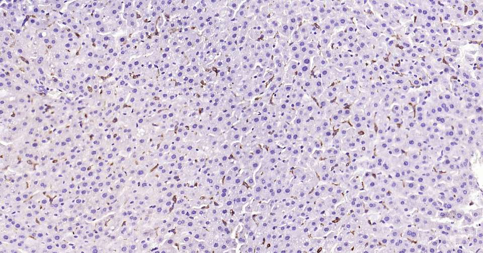
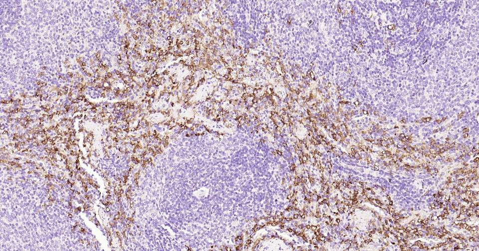
产品图片
Immunohistochemical analysis of paraffin embedded rat spleen tissue slide using IHC0303R (Rat CD163 Kit).
Immunohistochemical analysis of paraffin embedded rat liver tissue slide using IHC0303R (Rat CD163 Kit).
版权所有 2004-2026 www.bioss.com.cn 北京博奥森生物技术有限公司
通过国际质量管理体系ISO 9001:2015 GB/T 19001-2016    证书编号: 00124Q34771R2M/1100
通过国际医疗器械-质量管理体系ISO 13485:2016 GB/T 42061-2022     证书编号: CQC24QY20047R0M/1100
京ICP备05066980号-1         京公网安备110107000727号