扫码关注公众号           扫码咨询技术支持           扫码咨询技术服务
  
客服热线:400-901-9800  客服QQ:4009019800  技术答疑  技术支持  质量反馈  人才招聘  关于我们  联系我们
产品中心-北京博奥森生物技术有限公司
首页 > 产品中心 > 试剂盒 > 产品信息
Human CD74 Ready-To-Use IHC Kit (IHC0306H)  
订购热线:400-901-9800
订购邮箱:sales@bioss.com.cn
订购QQ:  400-901-9800
技术支持:techsupport@bioss.com.cn
50T/3200.00元
大包装/询价

产品编号 IHC0306H
英文名称 Human CD74 Ready-To-Use IHC Kit
中文名称 人CD74即用型免疫组化试剂盒
别    名 CD74; HLADG; Ia-GAMMA; II; CD 74; CD74 antigen; CD74 molecule; CLIP; DHLAG; Gamma chain of class II antigens; HG2A_HUMAN; HLA class II histocompatibility antigen gamma chain; HLA DR antigens associated invariant chain; HLA DR gamma; HLA-DR antigens-associated invariant chain; HLA-DR-gamma; HLADG; HLADR antigens associated invariant chain; Ia antigen associated invariant chain; Ia antigen-associated invariant chain; Ia associated invariant chain; Ia gamma; Ii; Invariant polypeptide of major histocompatibility complex class II antigen associated; la-gamma; Major histocompatibility complex class II invariant chain; MHC HLA DR gamma chain; MHC HLA-DR gamma chain; p33; p35; Protein 41.  
克 隆 号
适用样品基质 FFPE tissue
保存条件 Please store components at the temperatures indicated on the individual tube labels. The kit is stable for 6 months from the date of receipt.
产品介绍 HLA-DR, like other MHC class II molecules, is a transmembrane glycoprotein composed of a 36 kDa alpha chain (DRA) and 27 kDa beta chain (DRB). The alpha chain gene contains 5 exons. Exon 1 encodes the leader peptide, exons 2 and 3 encode the two extracellular domains, and exon 4 encodes the transmembrane domain and the cytoplasmic tail. DRA does not have polymorphisms in the peptide binding part and acts as the sole alpha chain for DRB1, DRB3, DRB4 and DRB5. Within the DR molecule the beta chain contains all the polymorphisms specifying the peptide binding specificities. Hundreds of DRB1 alleles have been described and typing for these polymorphisms is routinely done for bone marrow and kidney transplantation. HLA-DR is expressed primarily on antigen presenting cells such as B lymphocytes, monocytes, macrophages, thymic epithelial cells and activated T lymphocytes. Three loci, DR, DQ and DP, encode the major expressed products of the human class II region. The human MHC class II molecules bind intracellularly processed peptides, present them to T-helper cells, and have a critical role in the initiation of the immune response.

SWISS:
P04233

Gene ID:
972

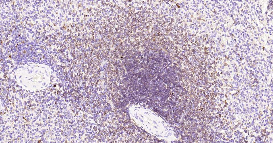
产品图片
Immunohistochemical analysis of paraffin embedded human spleen tissue slide using IHC0306H (Human CD74 Kit).
Immunohistochemical analysis of paraffin embedded human tonsil tissue slide using IHC0306H (Human CD74 Kit).
版权所有 2004-2026 www.bioss.com.cn 北京博奥森生物技术有限公司
通过国际质量管理体系ISO 9001:2015 GB/T 19001-2016    证书编号: 00124Q34771R2M/1100
通过国际医疗器械-质量管理体系ISO 13485:2016 GB/T 42061-2022     证书编号: CQC24QY20047R0M/1100
京ICP备05066980号-1         京公网安备110107000727号